Skip to main content

CLIC4 Antibody

Novus Biologicals, part of Bio-Techne | Catalog # NBP1-00172

Novus Biologicals, part of Bio-Techne
Catalog #
Availability
Size / Price
Qty
Loading...
NBP1-00172

Key Product Details

Species Reactivity

Validated:

Human, Mouse

Cited:

Rat

Predicted:

Canine (100%), Rat (100%). Backed by our 100% Guarantee.

Applications

Validated:

Immunohistochemistry, Immunohistochemistry-Paraffin, Western Blot, Peptide ELISA, Immunocytochemistry/ Immunofluorescence

Cited:

Immunohistochemistry-Paraffin, Flow Cytometry

Label

Unconjugated

Antibody Source

Polyclonal Goat IgG

Concentration

0.5 mg/ml

Product Specifications

Immunogen

Peptide with sequence NGLKEEDKEPLIE-C corresponding to N-Terminus according to NP_039234.1.

Clonality

Polyclonal

Host

Goat

Isotype

IgG

Description

Novus Biologicals Goat CLIC4 Antibody (NBP1-00172) is a polyclonal antibody validated for use in IHC, WB, ELISA, Flow and ICC/IF. Anti-CLIC4 Antibody: Cited in 2 publications. All Novus Biologicals antibodies are covered by our 100% guarantee.

Scientific Data Images for CLIC4 Antibody

Western Blot: CLIC4 Antibody [NBP1-00172]

Western Blot: CLIC4 Antibody [NBP1-00172]

Western Blot: CLIC4 Antibody [NBP1-00172] - (0.1ug/ml) staining of Human Kidney lysate (35ug protein in RIPA buffer). Primary incubation was 1 hour. Detected by chemiluminescence.
Immunocytochemistry/ Immunofluorescence: CLIC4 Antibody [NBP1-00172]

Immunocytochemistry/ Immunofluorescence: CLIC4 Antibody [NBP1-00172]

Immunocytochemistry/Immunofluorescence: CLIC4 Antibody [NBP1-00172] - (5ug/ml) staining of min6 cells transiently expressing mouse Clic4. Nuclear counter staining by Hoechst. Data kindly provided by Dr. Virginie Nepote, Lausanne University, Switzerland.
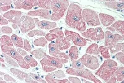
Immunohistochemistry-Paraffin: CLIC4 Antibody [NBP1-00172]

Immunohistochemistry-Paraffin: CLIC4 Antibody [NBP1-00172]

Immunohistochemistry-Paraffin: CLIC4 Antibody [NBP1-00172] - (5ug/ml) staining of paraffin embedded Human Heart. Steamed antigen retrieval with citrate buffer pH 6, AP-staining.

Applications for CLIC4 Antibody

Application
Recommended Usage

Immunocytochemistry/ Immunofluorescence

5 ug/ml

Peptide ELISA

detection limit 1:64000

Western Blot

0.1-0.3 ug/ml
Application Notes
IF: Min6 cells transiently expressing mouse Clic4 shows cytoplasmic staining of two cells. WB: Approx. 30 kDa band observed in human kidney and human placenta lysates is reported in scientific literature (PMID: 10070163).

Formulation, Preparation, and Storage

Purification

Immunogen affinity purified

Formulation

Tris saline (20 mM Tris pH 7.3, 150 mM NaCl), 0.5% BSA

Preservative

0.02% Sodium Azide

Concentration

0.5 mg/ml

Shipping

The product is shipped with polar packs. Upon receipt, store it immediately at the temperature recommended below.

Stability & Storage

Store at -20C. Avoid freeze-thaw cycles.

Background: CLIC4

Chloride channels are a diverse group of proteins that regulate fundamental cellular processes including stabilization of cell membrane potential, transepithelial transport, maintenance of intracellular pH, and regulation of cell volume. Chloride intracellular channel 4 (CLIC4) protein, encoded by the CLIC4 gene, is a member of the p64 family; the gene is expressed in many tissues and exhibits a intracellular vesicular pattern in Panc-1 cells (pancreatic cancer cells). [provided by RefSeq]

Alternate Names

chloride intracellular channel 4, chloride intracellular channel 4 like, chloride intracellular channel protein 4, CLIC4L, DKFZp566G223, FLJ38640, H1, huH1, Intracellular chloride ion channel protein p64H1, MTCLIC, P64H1

Entrez Gene IDs

25932 (Human); 29876 (Mouse); 83718 (Rat)

Gene Symbol

CLIC4

Additional CLIC4 Products

Product Documents for CLIC4 Antibody

Certificate of Analysis

To download a Certificate of Analysis, please enter a lot number in the search box below.

Product Specific Notices for CLIC4 Antibody

This product is for research use only and is not approved for use in humans or in clinical diagnosis. Primary Antibodies are guaranteed for 1 year from date of receipt.

Loading...
Loading...
Loading...
Loading...