Skip to main content

CKAP1 Antibody - BSA Free

Novus Biologicals, part of Bio-Techne | Catalog # NBP1-33462

Novus Biologicals, part of Bio-Techne
Catalog #
Availability
Size / Price
Qty
Loading...
NBP1-33462

Key Product Details

Species Reactivity

Human, Mouse

Applications

Immunohistochemistry, Immunohistochemistry-Paraffin, Western Blot, Immunocytochemistry/ Immunofluorescence

Label

Unconjugated

Antibody Source

Polyclonal Rabbit IgG

Format

BSA Free

Concentration

Concentrations vary lot to lot. See vial label for concentration. If unlisted please contact technical services.

Product Specifications

Immunogen

Recombinant protein encompassing a sequence within the center region of human CKAP1. The exact sequence is proprietary.

Localization

Cytoplasm, cytoskeleton

Clonality

Polyclonal

Host

Rabbit

Isotype

IgG

Description

Novus Biologicals Rabbit CKAP1 Antibody - BSA Free (NBP1-33462) is a polyclonal antibody validated for use in IHC, WB and ICC/IF. All Novus Biologicals antibodies are covered by our 100% guarantee.

Scientific Data Images for CKAP1 Antibody - BSA Free

Western Blot: CKAP1 Antibody [NBP1-33462]

Western Blot: CKAP1 Antibody [NBP1-33462]

Western Blot: CKAP1 Antibody [NBP1-33462] - Sample (30 ug of whole cell lysate) A: A431 B: H1299 C: Hela 12% SDS PAGE; antibody diluted at 1:1000.
Immunocytochemistry/ Immunofluorescence: CKAP1 Antibody [NBP1-33462]

Immunocytochemistry/ Immunofluorescence: CKAP1 Antibody [NBP1-33462]

Immunocytochemistry/Immunofluorescence: CKAP1 Antibody [NBP1-33462] - Analysis of methanol-fixed A549, using antibody at 1:500 dilution.
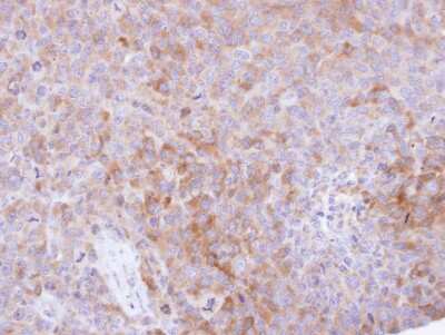
Immunohistochemistry-Paraffin: CKAP1 Antibody [NBP1-33462]

Immunohistochemistry-Paraffin: CKAP1 Antibody [NBP1-33462]

Immunohistochemistry-Paraffin: CKAP1 Antibody [NBP1-33462] - Paraffin-embedded H1299 xenograft, using antibody at 1:500 dilution.

Applications for CKAP1 Antibody - BSA Free

Application
Recommended Usage

Immunocytochemistry/ Immunofluorescence

1:100-1:1000

Immunohistochemistry

10 - 1:500

Immunohistochemistry-Paraffin

1:100-1:1000

Western Blot

1:500-1:3000

Formulation, Preparation, and Storage

Purification

Antigen Affinity-purified

Formulation

0.1M Tris, 0.1M Glycine, 10% Glycerol

Format

BSA Free

Preservative

0.01% Thimerosal

Concentration

Concentrations vary lot to lot. See vial label for concentration. If unlisted please contact technical services.

Shipping

The product is shipped with polar packs. Upon receipt, store it immediately at the temperature recommended below.

Stability & Storage

Aliquot and store at -20C or -80C. Avoid freeze-thaw cycles.

Background: CKAP1

CKAP1 binds to alpha-tubulin folding intermediates after their interaction with cytosolic chaperonin in the pathwayleading from newly synthesized tubulin to properly folded heterodimer. Involved in regulation of tubulin heterodimerdissociation. May function as

Alternate Names

CG22Tubulin-specific chaperone B, CKAP1MGC14625, CKAPI, cytoskeleton associated protein 1, Cytoskeleton-associated protein 1Cytoskeleton-associated protein CKAPI, tubulin folding cofactor B, tubulin-folding cofactor B

Gene Symbol

TBCB

Additional CKAP1 Products

Product Documents for CKAP1 Antibody - BSA Free

Certificate of Analysis

To download a Certificate of Analysis, please enter a lot number in the search box below.

Product Specific Notices for CKAP1 Antibody - BSA Free

This product is for research use only and is not approved for use in humans or in clinical diagnosis. Primary Antibodies are guaranteed for 1 year from date of receipt.

Loading...
Loading...
Loading...
Loading...

⚠ WARNING: This product can expose you to chemicals including mercury, which is known to the State of California to cause reproductive toxicity with developmental effects.  For more information go to www.P65Warnings.ca.gov.