Cingulin Antibody - Azide and BSA Free
Novus Biologicals, part of Bio-Techne | Catalog # NBP2-92240
Key Product Details
Species Reactivity
Human
Applications
Immunohistochemistry, Immunohistochemistry-Paraffin, Western Blot
Label
Unconjugated
Antibody Source
Polyclonal Rabbit IgG
Format
Azide and BSA Free
Concentration
Please see the vial label for concentration. If unlisted please contact technical services.
Product Specifications
Immunogen
Recombinant fusion protein containing a sequence corresponding to amino acids 904-1203 of human CGN (NP_065821.1). TSGGLSRLQDEIQRLRQALQASQAERDTARLDKELLAQRLQGLEQEAENKKRSQDDRARQLKGLEEKVSRLETELDEEKNTVELLTDRVNRGRDQVDQLRTELMQERSARQDLECDKISLERQNKDLKTRLASSEGFQKPSASLSQLESQNQLLQERLQAEEREKTVLQSTNRKLERKVKELSIQIEDERQHVNDQKDQLSLRVKALKRQVDEAEEEIERLDGLRKKAQREVEEQHEVNEQLQARIKSLEKDSWRKASRSAAESALKNEGLSSDEEFDSVYDPSSIASLLTESNLQTSSC
Clonality
Polyclonal
Host
Rabbit
Isotype
IgG
Description
Novus Biologicals Rabbit Cingulin Antibody - Azide and BSA Free (NBP2-92240) is a polyclonal antibody validated for use in IHC and WB. All Novus Biologicals antibodies are covered by our 100% guarantee.
Scientific Data Images for Cingulin Antibody - Azide and BSA Free
Western Blot: Cingulin AntibodyAzide and BSA Free [NBP2-92240]
Western Blot: Cingulin Antibody [NBP2-92240] - Analysis of extracts of various cell lines, using Cingulin at 1:1000 dilution.Secondary antibody: HRP Goat Anti-Rabbit IgG (H+L) at 1:10000 dilution.Lysates/proteins: 25ug per lane.Blocking buffer: 3% nonfat dry milk in TBST.Detection: ECL Basic Kit .Exposure time: 90s.Immunohistochemistry-Paraffin: Cingulin Antibody - Azide and BSA Free [NBP2-92240]
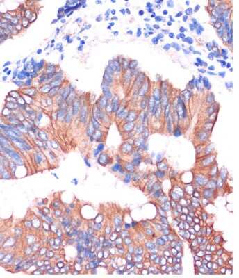
Immunohistochemistry-Paraffin: Cingulin Antibody [NBP2-92240] - Immunohistochemistry of paraffin-embedded Human colon carcinoma using Cingulin Rabbit pAb (NBP2-92240) at dilution of 1:100 (40x lens). Perform microwave antigen retrieval with 10 mM PBS buffer pH 7.2 before commencing with IHC staining protocol.Applications for Cingulin Antibody - Azide and BSA Free
Application
Recommended Usage
Immunohistochemistry
1:50-1:200
Western Blot
1:200-1:2000
Formulation, Preparation, and Storage
Purification
Affinity purified
Formulation
PBS (pH 7.3), 50% glycerol
Format
Azide and BSA Free
Preservative
0.01% Thimerosal
Concentration
Please see the vial label for concentration. If unlisted please contact technical services.
Shipping
The product is shipped with polar packs. Upon receipt, store it immediately at the temperature recommended below.
Stability & Storage
Store at -20C. Avoid freeze-thaw cycles.
Background: Cingulin
Alternate Names
cingulin, DKFZp779N1112, KIAA1319
Gene Symbol
CGN
Additional Cingulin Products
Product Documents for Cingulin Antibody - Azide and BSA Free
Product Specific Notices for Cingulin Antibody - Azide and BSA Free
This product is for research use only and is not approved for use in humans or in clinical diagnosis. Primary Antibodies are guaranteed for 1 year from date of receipt.
Loading...
Loading...
Loading...
Loading...
⚠ WARNING: This product can expose you to chemicals including Methotrexate, which is known to the State of California to cause reproductive toxicity with developmental effects. For more information, go to www.P65Warnings.ca.gov