Skip to main content

CHRND Antibody (88B)

Novus Biologicals, part of Bio-Techne | Catalog # NB120-2804

Novus Biologicals, part of Bio-Techne
Catalog #
Availability
Size / Price
Qty
Loading...
NB120-2804
NB120-2804-0.025ml

Key Product Details

Species Reactivity

Validated:

Human, Mouse, Rat, Amphibian, Chicken, Fish

Cited:

Rat

Applications

Validated:

Immunohistochemistry, Immunohistochemistry-Paraffin, Immunohistochemistry-Frozen, Western Blot, Immunocytochemistry/ Immunofluorescence, Immunoprecipitation

Cited:

Western Blot

Label

Unconjugated

Antibody Source

Monoclonal Mouse IgG1 Clone # 88B

Concentration

This product is unpurified. The exact concentration of antibody is not quantifiable.

Product Specifications

Immunogen

Purified Torpedo californica acetylcholine receptor.

Reactivity Notes

Please note that this antibody is reactive to Mouse and derived from the same host, Mouse. Additional Mouse on Mouse blocking steps may be required for IHC and ICC experiments. Please contact Technical Support for more information.

Specificity

Detects nicotinic acetylcholine receptor (nAChR) gamma and delta subunits in torpedo and the delta subunit in mouse, rat, frog and chicken. Does not detect the alpha 1 and beta 1 subunits.

Clonality

Monoclonal

Host

Mouse

Isotype

IgG1

Description

Novus Biologicals Mouse CHRND Antibody (88B) (NB120-2804) is a monoclonal antibody validated for use in IHC, WB, ICC/IF and IP. Anti-CHRND Antibody: Cited in 4 publications. All Novus Biologicals antibodies are covered by our 100% guarantee.

Scientific Data Images for CHRND Antibody (88B)

Immunocytochemistry/ Immunofluorescence: CHRND Antibody (88B) [NB120-2804]

Immunocytochemistry/ Immunofluorescence: CHRND Antibody (88B) [NB120-2804]

Immunocytochemistry/Immunofluorescence: CHRND Antibody (88B) [NB120-2804] - Analysis of Nicotinic Acetylcholine Receptor using Anti-Nicotinic Acetylcholine Receptor Monoclonal Antibody (88B) shows staining in U251 Cells. Nicotinic Acetylcholine Receptor staining (green), F-Actin staining with Phalloidin (red) and nuclei with DAPI (blue) is shown. Cells were grown on chamber slides and fixed with formaldehyde prior to staining. Cells were probed without (control) or with or an antibody recognizing Nicotinic Acetylcholine Receptor at a dilution of 1:20 over night at 4C, washed with PBS and incubated with a DyLight-488 conjugated.
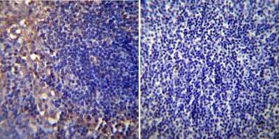
Immunohistochemistry-Paraffin: CHRND Antibody (88B) [NB120-2804]

Immunohistochemistry-Paraffin: CHRND Antibody (88B) [NB120-2804]

Immunohistochemistry-Paraffin: CHRND Antibody (88B) [NB120-2804] - Normal biopsies of deparaffinized Mouse lymph node tissue.
Immunocytochemistry/ Immunofluorescence: CHRND Antibody (88B) [NB120-2804]

Immunocytochemistry/ Immunofluorescence: CHRND Antibody (88B) [NB120-2804]

Immunocytochemistry/Immunofluorescence: CHRND Antibody (88B) [NB120-2804] - Analysis of Nicotinic Acetylcholine Receptor using Anti-Nicotinic Acetylcholine Receptor Monoclonal Antibody (88B) shows staining in Hela Cells. Nicotinic Acetylcholine Receptor staining (green), F-Actin staining with Phalloidin (red) and nuclei with DAPI (blue) is shown. Cells were grown on chamber slides and fixed with formaldehyde prior to staining. Cells were probed without (control) or with or an antibody recognizing Nicotinic Acetylcholine Receptor at a dilution of 1:100 over night at 4C, washed with PBS and incubated with a DyLight-488 conjugated.

Applications for CHRND Antibody (88B)

Application
Recommended Usage

Immunocytochemistry/ Immunofluorescence

1:20 - 100

Immunohistochemistry

1:1000

Immunohistochemistry-Frozen

1:1000

Immunohistochemistry-Paraffin

1:1000

Immunoprecipitation

1:10 - 1:500

Western Blot

1:5000
Application Notes
WB: Detects an approx. 60 kDa protein representing the gamma subunit and a 65 kDa protein representing the delta subunit from torpedo skeletal muscle homogenates. Under non-reducing conditions the delta subunit migrates mostly as a dimer of ~130 kDa. IHC: Staining of nAChR in rat skeletal muscle results in strong staining of the motor endplate. Cryostat or permeabilization of the sections is recommended due to the reactivity of this antibody with the cytoplasmic side of the receptor.

Formulation, Preparation, and Storage

Purification

Unpurified

Formulation

Ascites

Preservative

0.05% Sodium Azide

Concentration

This product is unpurified. The exact concentration of antibody is not quantifiable.

Shipping

The product is shipped with polar packs. Upon receipt, store it immediately at the temperature recommended below.

Stability & Storage

Store at -20C. Avoid freeze-thaw cycles.

Background: Nicotinic Acetylcholine R delta/CHRND

Acetylcholine receptors (AChRs) mediate synaptic transmission at the neuromuscular junction. The channel-linked AChR that mediates rapid, excitatory actions of acetylcholine is called nicotinic AChR (nAChR) because it can be activated by nicotine. The non-channel linked AChR that medicates the slow actions of acetylcholine, which can be either inhibitory or excitatory, is called muscarinic AChR (mAChR) because it can be activated by muscarine. The nAChRs fall into two subclasses, the muscle-type and the neuronal-type. The muscle-type receptor is a pentameric glycoprotein of five membrane spanning subunits, (2 alpha 1's, beta 1, gamma or epsilon and delta) which form a ligand gated ion channel. The neuronal nAChR is also a pentamer, but unlike the muscle-type, is made up of only two general types of subunits, alpha and beta of which multiple subtypes have been described (alpha 2 to alpha 8 and beta 2 to beta 4).

Long Name

Nicotinic Acetylcholine Receptor delta

Alternate Names

ACHRD, CHRND, nAChR delta

Entrez Gene IDs

11435 (Mouse); 79557 (Rat); 424940 (Chicken)

Gene Symbol

CHRNA1

Additional Nicotinic Acetylcholine R delta/CHRND Products

Product Documents for CHRND Antibody (88B)

Certificate of Analysis

To download a Certificate of Analysis, please enter a lot number in the search box below.

Product Specific Notices for CHRND Antibody (88B)

This product is for research use only and is not approved for use in humans or in clinical diagnosis. Primary Antibodies are guaranteed for 1 year from date of receipt.

Loading...
Loading...
Loading...
Loading...