Skip to main content

Chordin-like 1/CHRDL1 Antibody - BSA Free

Novus Biologicals, part of Bio-Techne | Catalog # NBP1-84485

Novus Biologicals, part of Bio-Techne
Catalog #
Availability
Size / Price
Qty
Loading...
NBP1-84485
NBP1-84485-25ul

Key Product Details

Species Reactivity

Validated:

Human

Predicted:

Mouse (96%), Rat (94%). Backed by our 100% Guarantee.

Applications

Immunohistochemistry, Immunohistochemistry-Paraffin

Label

Unconjugated

Antibody Source

Polyclonal Rabbit IgG

Format

BSA Free

Concentration

Concentrations vary lot to lot. See vial label for concentration. If unlisted please contact technical services.

Product Specifications

Immunogen

This antibody was developed against Recombinant Protein corresponding to amino acids: DKKYRVGERWHPYLEPYGLVYCVNCICSENGNVLCSRVRCPNVHCLSPVHIPHLCCPRCPEDSLPPVNNKVTSKSCEYNGTTYQHGELFVAEGLFQNRQPNQCTQCSCSEGNVYC

Clonality

Polyclonal

Host

Rabbit

Isotype

IgG

Scientific Data Images for Chordin-like 1/CHRDL1 Antibody - BSA Free

Chordin-like 1/CHRDL1 Antibody - BSA Free Immunohistochemistry-Paraffin: Chordin-like 1/CHRDL1 Antibody - BSA Free [NBP1-84485]

Immunohistochemistry-Paraffin: Chordin-like 1/CHRDL1 Antibody - BSA Free [NBP1-84485]

Staining of human liver shows negative cytoplasmic positivity in hepatocytes as expected.
Chordin-like 1/CHRDL1 Antibody - BSA Free Immunohistochemistry-Paraffin: Chordin-like 1/CHRDL1 Antibody - BSA Free [NBP1-84485]

Immunohistochemistry-Paraffin: Chordin-like 1/CHRDL1 Antibody - BSA Free [NBP1-84485]

Staining of human prostate shows moderate cytoplasmic positivity in smooth muscle cells.
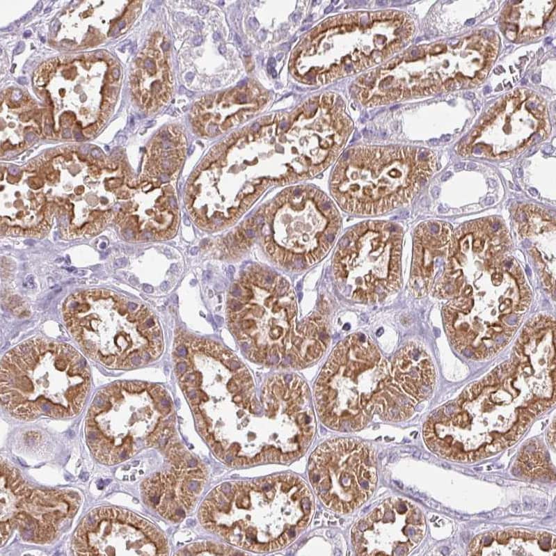
Chordin-like 1/CHRDL1 Antibody - BSA Free Immunohistochemistry-Paraffin: Chordin-like 1/CHRDL1 Antibody - BSA Free [NBP1-84485]

Immunohistochemistry-Paraffin: Chordin-like 1/CHRDL1 Antibody - BSA Free [NBP1-84485]

Staining of human kidney shows strong cytoplasmic-membranous positivity in cells in tubules.

Applications for Chordin-like 1/CHRDL1 Antibody - BSA Free

Application
Recommended Usage

Immunohistochemistry

1:500 - 1:1000

Immunohistochemistry-Paraffin

1:500 - 1:1000
Application Notes
For IHC-Paraffin, HIER pH 6 retrieval is recommended.

Formulation, Preparation, and Storage

Purification

Affinity purified

Formulation

PBS (pH 7.2) and 40% Glycerol

Format

BSA Free

Preservative

0.02% Sodium Azide

Concentration

Concentrations vary lot to lot. See vial label for concentration. If unlisted please contact technical services.

Shipping

The product is shipped with polar packs. Upon receipt, store it immediately at the temperature recommended below.

Stability & Storage

Store at 4C short term. Aliquot and store at -20C long term. Avoid freeze-thaw cycles.

Background: Chordin-like 1/CHRDL1

CHRDL1 encodes an antagonist of bone morphogenetic protein 4. The encoded protein may play a role in topographic retinotectal projection and in the regulation of retinal angiogenesis in response to hypoxia. Alternatively spliced transcript variants encoding different isoforms have been described. [provided by RefSeq]

Alternate Names

CHRDL1, CRDL1, Neuralin 1, NRLN1, Ventroptin alpha, VOPT

Gene Symbol

CHRDL1

Additional Chordin-like 1/CHRDL1 Products

Product Documents for Chordin-like 1/CHRDL1 Antibody - BSA Free

Certificate of Analysis

To download a Certificate of Analysis, please enter a lot number in the search box below.

Product Specific Notices for Chordin-like 1/CHRDL1 Antibody - BSA Free

This product is for research use only and is not approved for use in humans or in clinical diagnosis. Primary Antibodies are guaranteed for 1 year from date of receipt.

Loading...
Loading...
Loading...
Loading...
Loading...