CHMP1a Antibody - BSA Free
Novus Biologicals, part of Bio-Techne | Catalog # NBP3-47624
Key Product Details
Species Reactivity
Human, Mouse
Applications
Immunohistochemistry, Western Blot, ELISA, Immunoprecipitation
Label
Unconjugated
Antibody Source
Polyclonal Rabbit IgG
Format
BSA Free
Concentration
Please see the vial label for concentration. If unlisted please contact technical services.
Product Specifications
Immunogen
chromatin modifying protein 1A. (Uniprot# Q9HD42)
Clonality
Polyclonal
Host
Rabbit
Isotype
IgG
Description
Novus Biologicals Rabbit CHMP1a Antibody - BSA Free (NBP3-47624) is a polyclonal antibody validated for use in IHC, WB, ELISA and IP. All Novus Biologicals antibodies are covered by our 100% guarantee.
Scientific Data Images for CHMP1a Antibody - BSA Free
Immunoprecipitation: CHMP1a Antibody - BSA Free [NBP3-47624] -
Immunoprecipitation: CHMP1a Antibody - BSA Free [NBP3-47624] - IP Result of anti-CHMP1a (IP:, 3ug; Detection: 1:500) with HEK-293 cells lysate 880ug.Immunohistochemistry: CHMP1a Antibody - BSA Free [NBP3-47624] -
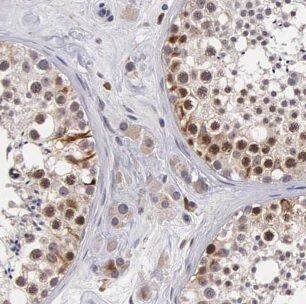
Immunohistochemistry: CHMP1a Antibody - BSA Free [NBP3-47624] - Immunohistochemistry of paraffin-embedded human testis tissue slide using (CHMP1a Antibody) at dilution of 1:50Western Blot: CHMP1a Antibody - BSA Free [NBP3-47624] -
Western Blot: CHMP1a Antibody - BSA Free [NBP3-47624] - HEK-293 cells were subjected to SDS PAGE followed by western blot with (CHMP1a antibody) at dilution of 1:500Applications for CHMP1a Antibody - BSA Free
Application
Recommended Usage
Immunohistochemistry
1:20-1:200
Immunoprecipitation
1:500-1:1000
Western Blot
1:500-1:1000
Application Notes
Theoretical Molecular Weight is 33 kDa, 25 kDa
Formulation, Preparation, and Storage
Purification
Immunogen affinity purified
Formulation
PBS, 50% Glycerol, pH (7.3)
Format
BSA Free
Preservative
0.02% Sodium Azide
Concentration
Please see the vial label for concentration. If unlisted please contact technical services.
Shipping
The product is shipped with polar packs. Upon receipt, store it immediately at the temperature recommended below.
Stability & Storage
Store at -20C. Avoid freeze-thaw cycles.
Background: CHMP1a
Alternate Names
CHMP1, CHMP1charged multivesicular body protein 1/chromatin modifying protein 1, chromatin modifying protein 1A, Chromatin-modifying protein 1a, hVps46-1, KIAA0047charged multivesicular body protein 1a, PCOLN3protease, metallo, 1, 33kD, procollagen (type III) N-endopeptidase, PRSM1CHMP1a, Vacuolar protein sorting-associated protein 46-1, Vps46-1, VPS46A
Gene Symbol
CHMP1A
Additional CHMP1a Products
Product Documents for CHMP1a Antibody - BSA Free
Product Specific Notices for CHMP1a Antibody - BSA Free
This product is for research use only and is not approved for use in humans or in clinical diagnosis. Primary Antibodies are guaranteed for 1 year from date of receipt.
Loading...
Loading...
Loading...
Loading...