Skip to main content

CEMP1 Antibody - BSA Free

Novus Biologicals, part of Bio-Techne | Catalog # NBP2-31682

Novus Biologicals, part of Bio-Techne
Catalog #
Availability
Size / Price
Qty
Loading...
NBP2-31682-25ul
NBP2-31682

Key Product Details

Species Reactivity

Validated:

Human

Cited:

Rat

Applications

Validated:

Immunohistochemistry, Immunohistochemistry-Paraffin

Cited:

Immunocytochemistry/ Immunofluorescence

Label

Unconjugated

Antibody Source

Polyclonal Rabbit IgG

Format

BSA Free

Concentration

Concentrations vary lot to lot. See vial label for concentration. If unlisted please contact technical services.

Product Specifications

Immunogen

This antibody was developed against a recombinant protein corresponding to amino acids: NSNGEKVKTITPDVGLHQSLTSDPTVAVLRAKRAPEAHPPRSCSGSLTARVCHMGVCQGQGDTEDGRM

Clonality

Polyclonal

Host

Rabbit

Isotype

IgG

Scientific Data Images for CEMP1 Antibody - BSA Free

Immunohistochemistry-Paraffin: CEMP1 Antibody [NBP2-31682]

Immunohistochemistry-Paraffin: CEMP1 Antibody [NBP2-31682]

Immunohistochemistry-Paraffin: CEMP1 Antibody [NBP2-31682] - Staining of human pancreas shows strong cytoplasmic positivity in exocrine glandular cells.
CEMP1 Antibody

Immunohistochemistry-Paraffin: CEMP1 Antibody [NBP2-31682] -

Immunohistochemistry-Paraffin: CEMP1 Antibody [NBP2-31682] - Staining of human kidney shows moderate cytoplasmic positivity in cells in tubules.
CEMP1 Antibody

Immunohistochemistry-Paraffin: CEMP1 Antibody [NBP2-31682] -

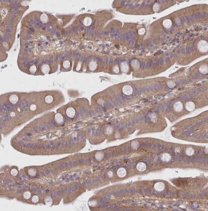
Immunohistochemistry-Paraffin: CEMP1 Antibody [NBP2-31682] - Staining of human small intestine shows moderate cytoplasmic positivity in glandular cells.

Applications for CEMP1 Antibody - BSA Free

Application
Recommended Usage

Immunohistochemistry

1:50 - 1:200

Immunohistochemistry-Paraffin

1:50 - 1:200
Application Notes
For IHC-Paraffin, HIER pH 6 retrieval is recommended.

Formulation, Preparation, and Storage

Purification

Affinity purified

Formulation

PBS (pH 7.2) and 40% Glycerol

Format

BSA Free

Preservative

0.02% Sodium Azide

Concentration

Concentrations vary lot to lot. See vial label for concentration. If unlisted please contact technical services.

Shipping

The product is shipped with polar packs. Upon receipt, store it immediately at the temperature recommended below.

Stability & Storage

Store at 4C short term. Aliquot and store at -20C long term. Avoid freeze-thaw cycles.

Background: CEMP1

Alternate Names

Cementoblastoma-Derived Protein 1, cementum protein 1, Cementum Protein 23, cementum protein1, Cementum Protein-23, CP23, CP-23

Gene Symbol

CEMP1

UniProt

Additional CEMP1 Products

Product Documents for CEMP1 Antibody - BSA Free

Certificate of Analysis

To download a Certificate of Analysis, please enter a lot number in the search box below.

Product Specific Notices for CEMP1 Antibody - BSA Free

This product is for research use only and is not approved for use in humans or in clinical diagnosis. Primary Antibodies are guaranteed for 1 year from date of receipt.

Loading...
Loading...
Loading...
Loading...