CDS1 Antibody - BSA Free
Novus Biologicals, part of Bio-Techne | Catalog # NBP1-85894
Key Product Details
Species Reactivity
Validated:
Human
Predicted:
Mouse (91%), Rat (91%). Backed by our 100% Guarantee.
Applications
Immunohistochemistry, Immunohistochemistry-Paraffin, Immunocytochemistry/ Immunofluorescence
Label
Unconjugated
Antibody Source
Polyclonal Rabbit IgG
Format
BSA Free
Concentration
Concentrations vary lot to lot. See vial label for concentration. If unlisted please contact technical services.
Product Specifications
Immunogen
This antibody was developed against Recombinant Protein corresponding to amino acids: YQYFVCPVEYRSDVNSFVTECEPSELFQLQTYSLPPFLKAVLRQ
Clonality
Polyclonal
Host
Rabbit
Isotype
IgG
Scientific Data Images for CDS1 Antibody - BSA Free
Immunocytochemistry/ Immunofluorescence: CDS1 Antibody [NBP1-85894]
Immunocytochemistry/Immunofluorescence: CDS1 Antibody [NBP1-85894] - Staining of human cell line A-431 shows localization to nucleus & nuclear membrane. Antibody staining is shown in green.Immunohistochemistry-Paraffin: CDS1 Antibody [NBP1-85894]
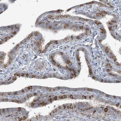
Immunohistochemistry-Paraffin: CDS1 Antibody [NBP1-85894] - Staining of human fallopian tube shows moderate membranous positivity in glandular cells.Immunohistochemistry-Paraffin: CDS1 Antibody [NBP1-85894]
Immunohistochemistry-Paraffin: CDS1 Antibody [NBP1-85894] - Staining of human cerebellum shows moderate cytoplasmic positivity in purkinje cells.Applications for CDS1 Antibody - BSA Free
Application
Recommended Usage
Immunocytochemistry/ Immunofluorescence
0.25-2 ug/ml
Immunohistochemistry
1:20 - 1:50
Immunohistochemistry-Paraffin
1:20 - 1:50
Application Notes
For IHC-Paraffin, HIER pH 6 retrieval is recommended. ICC/IF, Fixation Permeabilization: Use PFA/Triton X-100.
Formulation, Preparation, and Storage
Purification
Affinity purified
Formulation
PBS (pH 7.2) and 40% Glycerol
Format
BSA Free
Preservative
0.02% Sodium Azide
Concentration
Concentrations vary lot to lot. See vial label for concentration. If unlisted please contact technical services.
Shipping
The product is shipped with polar packs. Upon receipt, store it immediately at the temperature recommended below.
Stability & Storage
Store at 4C short term. Aliquot and store at -20C long term. Avoid freeze-thaw cycles.
Background: CDS1
Alternate Names
CDP-DAG synthase 1, CDP-DG synthase 1, CDP-DG synthetase 1, CDP-diacylglycerol synthase (phosphatidate cytidylyltransferase) 1, CDP-diacylglycerol synthase 1, CDP-diglyceride pyrophosphorylase 1, CDP-diglyceride synthase 1, CDP-diglyceride synthetase 1, CDS, CDS 1, CTP:phosphatidate cytidylyltransferase 1, EC 2.7.7.41, phosphatidate cytidylyltransferase 1
Gene Symbol
CDS1
Additional CDS1 Products
Product Documents for CDS1 Antibody - BSA Free
Product Specific Notices for CDS1 Antibody - BSA Free
This product is for research use only and is not approved for use in humans or in clinical diagnosis. Primary Antibodies are guaranteed for 1 year from date of receipt.
Loading...
Loading...
Loading...
Loading...