Skip to main content

CDC2L6 Antibody (CL14116) - BSA Free

Novus Biologicals, part of Bio-Techne | Catalog # NBP3-26850

Novus Biologicals, part of Bio-Techne
Catalog #
Availability
Size / Price
Qty
Loading...
NBP3-26850-25ul
NBP3-26850-100ul

Key Product Details

Validated by

Orthogonal Validation

Species Reactivity

Validated:

Human

Predicted:

Mouse (100%), Rat (100%). Backed by our 100% Guarantee.

Applications

Immunohistochemistry, Immunohistochemistry-Paraffin, Western Blot, Immunocytochemistry/ Immunofluorescence

Label

Unconjugated

Antibody Source

Monoclonal Mouse IgG2B Clone # CL14116

Format

BSA Free

Concentration

1 mg/ml

Product Specifications

Immunogen

This antibody was developed using a synthetic peptide derived from Q9BWU1, with the exact immunogen sequence remaining proprietary.

Clonality

Monoclonal

Host

Mouse

Isotype

IgG2B

Description

Novus Biologicals Mouse CDC2L6 Antibody (CL14116) - BSA Free (NBP3-26850) is a monoclonal antibody validated for use in IHC, WB and ICC/IF. All Novus Biologicals antibodies are covered by our 100% guarantee.

Scientific Data Images for CDC2L6 Antibody (CL14116) - BSA Free

CDC2L6 Antibody (CL14116)

Immunohistochemistry-Paraffin: CDC2L6 Antibody (CL14116) [NBP3-26850]

Staining of human skeletal muscle shows no positivity in myocytes as expected.
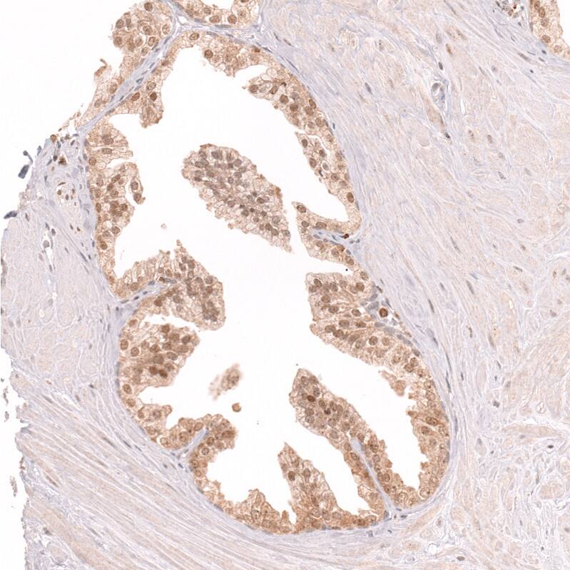
CDC2L6 Antibody (CL14116)

Immunohistochemistry-Paraffin: CDC2L6 Antibody (CL14116) [NBP3-26850]

Staining of human prostate shows moderate nuclear positivity in glandular cells.
CDC2L6 Antibody (CL14116)

Western Blot: CDC2L6 Antibody (CL14116) [NBP3-26850]

Western blot analysis in human cell line U-2197.

Applications for CDC2L6 Antibody (CL14116) - BSA Free

Application
Recommended Usage

Immunocytochemistry/ Immunofluorescence

2-10 ug/ml

Immunohistochemistry

1:200 - 1:500

Immunohistochemistry-Paraffin

1:200 - 1:500

Western Blot

1 ug/ml
Application Notes
ICC/IF Fixation Permeabilization: Use PFA/Triton X-100. For IHC-Paraffin, HIER pH 6 retrieval is recommended.

Formulation, Preparation, and Storage

Purification

Protein A purified

Formulation

PBS (pH 7.2) and 40% Glycerol

Format

BSA Free

Preservative

0.02% Sodium Azide

Concentration

1 mg/ml

Shipping

The product is shipped with polar packs. Upon receipt, store it immediately at the temperature recommended below.

Stability & Storage

Store at 4C short term. Aliquot and store at -20C long term. Avoid freeze-thaw cycles.

Background: CDC2L6

CDC2L6 encodes a protein that is one of the components of the Mediator coactivator complex. The Mediator complex is a multiprotein complex required for transcriptional activation by DNA binding transcription factors of genes transcribed by RNA polymerase II. The protein encoded by this gene is similar to cyclin-dependent kinase 8 which can also be a component of the Mediator complex. [provided by RefSeq]

Long Name

Cyclin-dependent kinase 19

Alternate Names

CDK19, KIAA1028

Gene Symbol

CDK19

Additional CDC2L6 Products

Product Documents for CDC2L6 Antibody (CL14116) - BSA Free

Certificate of Analysis

To download a Certificate of Analysis, please enter a lot number in the search box below.

Product Specific Notices for CDC2L6 Antibody (CL14116) - BSA Free

This product is for research use only and is not approved for use in humans or in clinical diagnosis. Primary Antibodies are guaranteed for 1 year from date of receipt.

Loading...
Loading...
Loading...
Loading...