Skip to main content

CDC16 Antibody - BSA Free

Novus Biologicals, part of Bio-Techne | Catalog # NBP3-38396

Novus Biologicals, part of Bio-Techne
Catalog #
Availability
Size / Price
Qty
Loading...
NBP3-38396-20ul
NBP3-38396-100ul

Key Product Details

Species Reactivity

Human, Mouse, Rat

Applications

ELISA, Immunohistochemistry, Immunohistochemistry-Paraffin, Western Blot

Label

Unconjugated

Antibody Source

Polyclonal Rabbit IgG

Format

BSA Free

Concentration

Please see the vial label for concentration. If unlisted please contact technical services.

Product Specifications

Immunogen

Recombinant fusion protein containing a sequence corresponding to amino acids 371-620 of human CDC16 (NP_003894.3).

Sequence:
MLYIGLEYGLTNNSKLAERFFSQALSIAPEDPFVMHEVGVVAFQNGEWKTAEKWFLDALEKIKAIGNEVTVDKWEPLLNNLGHVCRKLKKYAEALDYHRQALVLIPQNASTYSAIGYIHSLMGNFENAVDYFHTALGLRRDDTFSVTMLGHCIEMYIGDSEAYIGADIKDKLKCYDFDVHTMKTLKNIISPPWDFREFEVEKQTAEETGLTPLETSRKTPDSRPSLEETFEIEMNESDMMLETSMSDHST

Clonality

Polyclonal

Host

Rabbit

Isotype

IgG

Theoretical MW

72 kDa.
Disclaimer note: The observed molecular weight of the protein may vary from the listed predicted molecular weight due to post translational modifications, post translation cleavages, relative charges, and other experimental factors.

Description

Novus Biologicals Rabbit CDC16 Antibody - BSA Free (NBP3-38396) is a polyclonal antibody validated for use in IHC, WB and ELISA. All Novus Biologicals antibodies are covered by our 100% guarantee.

Scientific Data Images for CDC16 Antibody - BSA Free

CDC16 Antibody

Western Blot: CDC16 Antibody [NBP3-38396] -

Western Blot: CDC16 Antibody [NBP3-38396] - Western blot analysis of various lysates using CDC16 Rabbit pAb at 1:1000 dilution.
Secondary antibody: HRP-conjugated Goat anti-Rabbit IgG (H+L) at 1:10000 dilution.
Lysates/proteins: 25ug per lane.
Blocking buffer: 3% nonfat dry milk in TBST.
Detection: ECL Basic Kit.
Exposure time: 10s.
CDC16 Antibody

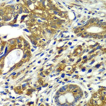
Immunohistochemistry: CDC16 Antibody [NBP3-38396] -

Immunohistochemistry: CDC16 Antibody [NBP3-38396] - Immunohistochemistry analysis of paraffin-embedded Human liver cancer using CDC16 Rabbit pAb at dilution of 1:100 (40x lens). Microwave antigen retrieval performed with 0.01M PBS Buffer (pH 7.2) prior to IHC staining.
CDC16 Antibody

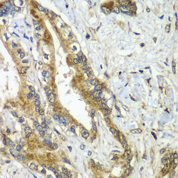
Immunohistochemistry: CDC16 Antibody [NBP3-38396] -

Immunohistochemistry: CDC16 Antibody [NBP3-38396] - Immunohistochemistry analysis of paraffin-embedded Human gastric cancer using CDC16 Rabbit pAb at dilution of 1:100 (40x lens). Microwave antigen retrieval performed with 0.01M PBS Buffer (pH 7.2) prior to IHC staining.

Applications for CDC16 Antibody - BSA Free

Application
Recommended Usage

Immunohistochemistry-Paraffin

1:50 - 1:200

Western Blot

1:500 - 1:2000

Formulation, Preparation, and Storage

Purification

Affinity purified

Formulation

PBS (pH 7.3), 50% glycerol

Format

BSA Free

Preservative

0.02% Sodium Azide

Concentration

Please see the vial label for concentration. If unlisted please contact technical services.

Shipping

The product is shipped with polar packs. Upon receipt, store it immediately at the temperature recommended below.

Stability & Storage

Store at -20C. Avoid freeze-thaw cycles.

Background: CDC16

CDC15/APC6 is a component of the anaphase-promoting complex (APC). The APC complex functions as an ubiquitin ligase that controls cell cycle progression and promotes the transition from metaphase to anaphase. The APC complex is composed of at least 11 APC components. CDC15/APC6 amplification is associated with hepatocellular carcinoma.

Alternate Names

ANAPC6subunit 6, CDC16 (cell division cycle 16, S. cerevisiae, homolog), CDC16 cell division cycle 16 homolog (S. cerevisiae), CDC16 homolog, CDC16Hs, cell division cycle 16 homolog (S. cerevisiae), cell division cycle protein 16 homolog, Cyclosome subunit 6

Gene Symbol

CDC16

Additional CDC16 Products

Product Documents for CDC16 Antibody - BSA Free

Certificate of Analysis

To download a Certificate of Analysis, please enter a lot number in the search box below.

Product Specific Notices for CDC16 Antibody - BSA Free

This product is for research use only and is not approved for use in humans or in clinical diagnosis. Primary Antibodies are guaranteed for 1 year from date of receipt.

Loading...
Loading...
Loading...
Loading...