CD99 Antibody (rMIC2/8497)
Novus Biologicals, part of Bio-Techne | Catalog # NBP3-20463
Recombinant Monoclonal Antibody
Conjugate
Catalog #
Forumulation
Catalog #
Key Product Details
Species Reactivity
Human
Applications
Immunohistochemistry-Paraffin
Label
Unconjugated
Antibody Source
Recombinant Monoclonal Mouse IgM Clone # rMIC2/8497
Concentration
0.2 mg/ml
Product Specifications
Immunogen
Recombinant fragment (around aa1-185) of human CD99 protein (exact sequence is proprietary)
Localization
Cell surface.
Clonality
Monoclonal
Host
Mouse
Isotype
IgM
Description
Positive Controls: Human pancreas or Ewing s Sarcoma.
Antibody with azide - store at 2 to 8C. Antibody without azide - store at -20 to -80C. Non-hazardous. No MSDS required.
Antibody with azide - store at 2 to 8C. Antibody without azide - store at -20 to -80C. Non-hazardous. No MSDS required.
Scientific Data Images for CD99 Antibody (rMIC2/8497)
CD99 Antibody (rMIC2/8497)
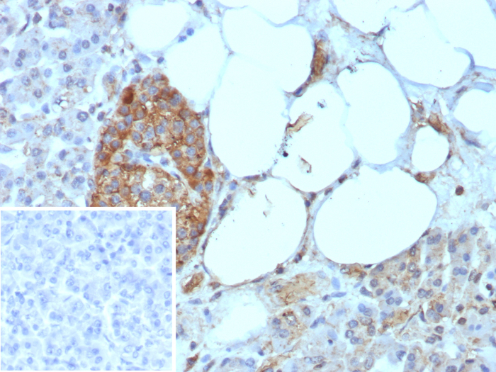
Formalin-fixed, paraffin-embedded human pancreas stained with CD99 antibody (rMIC2/8497). Inset: PBS instead of primary antibody; secondary only negative control.CD99 Antibody (rMIC2/8497)
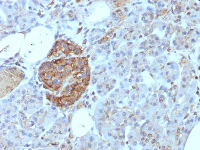
Formalin-fixed, paraffin-embedded human pancreas stained with CD99 antibody (rMIC2/8497). HIER: Tris/EDTA, pH9.0, 45min. Secondary: HRP-polymer, 30min. DAB, 5min.Applications for CD99 Antibody (rMIC2/8497)
Application
Recommended Usage
Immunohistochemistry-Paraffin
1-2 ug/ml
Application Notes
Immunohistochemistry (Formalin-fixed): 1-2ug/ml for 30 minutes. at RT. Staining of formalin-fixed tissues requires heating tissue sections in 10mM Tris with 1mM EDTA, pH 9.0, for 45 min at 95C followed by cooling at RT for 20 minutes.
Optimal dilution for a specific application should be determined.
Optimal dilution for a specific application should be determined.
Formulation, Preparation, and Storage
Purification
Protein A purified
Formulation
10mM PBS with 0.05% BSA
Preservative
0.05% Sodium Azide
Concentration
0.2 mg/ml
Shipping
The product is shipped with polar packs. Upon receipt, store it immediately at the temperature recommended below.
Stability & Storage
Store at 4C. Do not freeze.
Background: CD99
Alternate Names
CD99, MIC2, pilr-1, PILR-L
Gene Symbol
CD99
Additional CD99 Products
Product Documents for CD99 Antibody (rMIC2/8497)
Product Specific Notices for CD99 Antibody (rMIC2/8497)
This product is for research use only and is not approved for use in humans or in clinical diagnosis. Primary Antibodies are guaranteed for 1 year from date of receipt.
Loading...
Loading...
Loading...
Loading...