Skip to main content

CD99 Antibody (rMIC2/6939)

Novus Biologicals, part of Bio-Techne | Catalog # NBP3-20478

Recombinant Monoclonal Antibody
Novus Biologicals, part of Bio-Techne
Catalog #
Availability
Size / Price
Qty
Loading...
NBP3-20478-100ug
NBP3-20478-20ug

Key Product Details

Species Reactivity

Human

Applications

Immunohistochemistry-Paraffin

Label

Unconjugated

Antibody Source

Recombinant Monoclonal Mouse IgG1 kappa Clone # rMIC2/6939

Concentration

0.2 mg/ml

Product Specifications

Immunogen

Recombinant fragment (around aa1-185) of human CD99 protein (exact sequence is proprietary)

Localization

Cell surface.

Clonality

Monoclonal

Host

Mouse

Isotype

IgG1 kappa

Description

Positive Controls: MOLT-4 cells. Human pancreas or Ewing s Sarcoma.

Antibody with azide - store at 2 to 8C. Antibody without azide - store at -20 to -80C. Non-hazardous. No MSDS required.

Scientific Data Images for CD99 Antibody (rMIC2/6939)

CD99 Antibody (rMIC2/6939)

CD99 Antibody (rMIC2/6939)

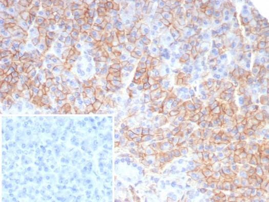
Formalin-fixed, paraffin-embedded human pancreas stained with CD99 antibody (rMIC2/6939). Inset: PBS instead of primary antibody; secondary only negative control.
CD99 Antibody (rMIC2/6939)

Immunohistochemistry-Paraffin: CD99 Antibody (rMIC2/6939) [NBP3-20478] -

Immunohistochemistry-Paraffin: CD99 Antibody (rMIC2/6939) [NBP3-20478] - Formalin-fixed, paraffin-embedded human pancreas stained with CD99 antibody (rMIC2/6939). HIER: Tris/EDTA, pH9.0, 45min. Secondary: HRP-polymer, 30min. DAB, 5min.

Applications for CD99 Antibody (rMIC2/6939)

Application
Recommended Usage

Immunohistochemistry-Paraffin

1-2 ug/ml
Application Notes
Immunohistochemistry (Formalin-fixed): 1-2ug/ml for 30 minutes. at RT. Staining of formalin-fixed tissues requires heating tissue sections in 10mM Tris with 1mM EDTA, pH 9.0, for 45 min at 95C followed by cooling at RT for 20 minutes.

Optimal dilution for a specific application should be determined.

Formulation, Preparation, and Storage

Purification

Protein A purified

Formulation

10mM PBS with 0.05% BSA

Preservative

0.05% Sodium Azide

Concentration

0.2 mg/ml

Shipping

The product is shipped with polar packs. Upon receipt, store it immediately at the temperature recommended below.

Stability & Storage

Store at 4C. Do not freeze.

Background: CD99

CD99 is encoded by this gene is a cell surface glycoprotein involved in leukocyte migration, T-cell adhesion, ganglioside GM1 and transmembrane protein transport, and T-cell death by a caspase-independent pathway. In addition, the encoded protein may have the ability to rearrange the actin cytoskeleton and may also act as an oncosuppressor in osteosarcoma. Cyclophilin A binds to CD99 and may act as a signaling regulator of CD99. This gene is found in the pseudoautosomal region of chromosomes X and Y and escapes X-chromosome inactivation. Two transcript variants encoding different isoforms have been found for this gene. [provided by RefSeq]

Alternate Names

CD99, MIC2, pilr-1, PILR-L

Gene Symbol

CD99

Additional CD99 Products

Product Documents for CD99 Antibody (rMIC2/6939)

Certificate of Analysis

To download a Certificate of Analysis, please enter a lot number in the search box below.

Product Specific Notices for CD99 Antibody (rMIC2/6939)

This product is for research use only and is not approved for use in humans or in clinical diagnosis. Primary Antibodies are guaranteed for 1 year from date of receipt.

Loading...
Loading...
Loading...
Loading...