CD79B Antibody - BSA Free
Novus Biologicals, part of Bio-Techne | Catalog # NBP3-21270
Key Product Details
Validated by
Orthogonal Validation
Species Reactivity
Human
Applications
Immunohistochemistry, Immunohistochemistry-Paraffin
Label
Unconjugated
Antibody Source
Polyclonal Rabbit IgG
Format
BSA Free
Concentration
Concentrations vary lot to lot. See vial label for concentration. If unlisted please contact technical services.
Product Specifications
Immunogen
This antibody was developed against Recombinant Protein corresponding to amino acids: RNPKGSACSRIWQSPRFIARKRGFTVKMHCYMNSASGNVSWLWKQEMDENPQQLKLEKGRMEESQNESLATLTIQGIRFEDNGIYFCQQKCNNTSEVYQGCGTELRVMGFSTLAQLKQRNTLKDG
Clonality
Polyclonal
Host
Rabbit
Isotype
IgG
Description
Novus Biologicals Rabbit CD79B Antibody - BSA Free (NBP3-21270) is a polyclonal antibody validated for use in IHC. All Novus Biologicals antibodies are covered by our 100% guarantee.
Scientific Data Images for CD79B Antibody - BSA Free
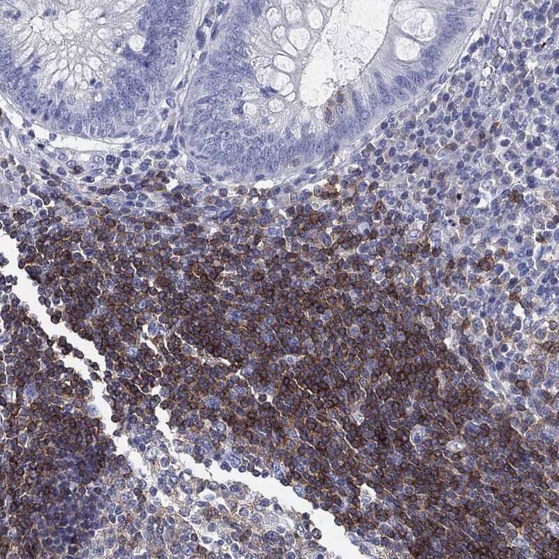
Immunohistochemistry-Paraffin: CD79B Antibody [NBP3-21270] -
Staining of human cerebral cortex shows low expression as expected.Immunohistochemistry-Paraffin: CD79B Antibody [NBP3-21270] -
Staining of human appendix shows high expression.Applications for CD79B Antibody - BSA Free
Application
Recommended Usage
Immunohistochemistry
1:50 - 1:200
Immunohistochemistry-Paraffin
1:50 - 1:200
Application Notes
For IHC-Paraffin, HIER pH 6 retrieval is recommended.
Formulation, Preparation, and Storage
Purification
Affinity purified
Formulation
PBS (pH 7.2) and 40% Glycerol
Format
BSA Free
Preservative
0.02% Sodium Azide
Concentration
Concentrations vary lot to lot. See vial label for concentration. If unlisted please contact technical services.
Shipping
The product is shipped with polar packs. Upon receipt, store it immediately at the temperature recommended below.
Stability & Storage
Store at 4C short term. Aliquot and store at -20C long term. Avoid freeze-thaw cycles.
Background: CD79B
Alternate Names
B29, CD79B, IGB
Gene Symbol
CD79B
Additional CD79B Products
Product Documents for CD79B Antibody - BSA Free
Product Specific Notices for CD79B Antibody - BSA Free
This product is for research use only and is not approved for use in humans or in clinical diagnosis. Primary Antibodies are guaranteed for 1 year from date of receipt.
Loading...
Loading...
Loading...
Loading...