Skip to main content

CD74 Antibody (PDM0-22)

Novus Biologicals, part of Bio-Techne | Catalog # NBP3-32167

Recombinant Monoclonal Antibody
Novus Biologicals, part of Bio-Techne
Catalog #
Availability
Size / Price
Qty
Loading...
NBP3-32167

Key Product Details

Species Reactivity

Human

Applications

Immunocytochemistry/ Immunofluorescence, Immunohistochemistry, Immunohistochemistry-Paraffin, Western Blot

Label

Unconjugated

Antibody Source

Recombinant Monoclonal Mouse IgG1 Clone # PDM0-22 expressed in HEK293

Concentration

Please see the vial label for concentration. If unlisted please contact technical services.

Product Specifications

Immunogen

Synthetic peptide. (Uniprot: P04233)

Localization

Endoplasmic reticulum membrane, trans-Golgi network, cell membrane, lysosome, endosome.

Clonality

Monoclonal

Host

Mouse

Isotype

IgG1

Theoretical MW

33 kDa.
Disclaimer note: The observed molecular weight of the protein may vary from the listed predicted molecular weight due to post translational modifications, post translation cleavages, relative charges, and other experimental factors.

Description

Novus Biologicals Mouse CD74 Antibody (PDM0-22) (NBP3-32167) is a recombinant monoclonal antibody validated for use in IHC, WB and ICC/IF. All Novus Biologicals antibodies are covered by our 100% guarantee.

Scientific Data Images for CD74 Antibody (PDM0-22)

CD74 Antibody (PDM0-22)

Western Blot: CD74 Antibody (PDM0-22) [NBP3-32167]

Western Blot: CD74 Antibody (PDM0-22) [NBP3-32167] - Western blot analysis of CD74 on different lysates with Mouse anti-CD74 antibody (NBP3-32167) at 1/1,000 dilution.

Lane 1: Daudi cell lysate
Lane 2: Raji cell lysate

Lysates/proteins at 10 ug/Lane.

Predicted band size: 33 kDa
Observed band size: 35 kDa

Exposure time: 2 minutes;

12% SDS-PAGE gel.

Proteins were transferred to a PVDF membrane and blocked with 5% NFDM/TBST for 1 hour at room temperature. The primary antibody (NBP3-32167) at 1/1,000 dilution was used in 5% NFDM/TBST at room temperature for 2 hours. Goat Anti-Mouse IgG - HRP Secondary Antibody at 1:150,000 dilution was used for 1 hour at room temperature.
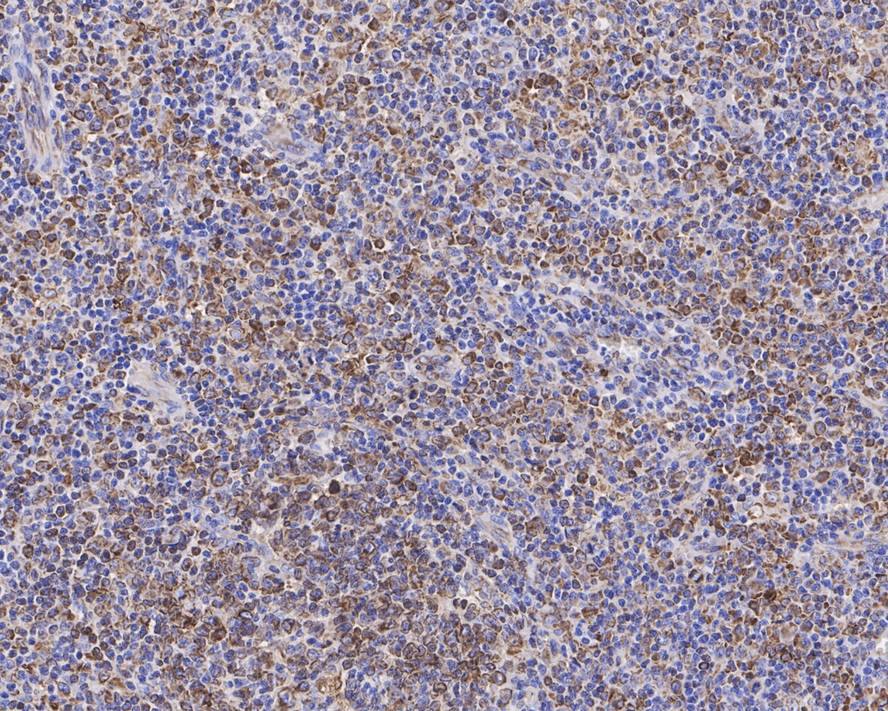
CD74 Antibody (PDM0-22)

Immunohistochemistry: CD74 Antibody (PDM0-22) [NBP3-32167]

Immunohistochemistry: CD74 Antibody (PDM0-22) [NBP3-32167] - Immunohistochemical analysis of paraffin-embedded human B-cell lymphoma tissue with Mouse anti-CD74 antibody (NBP3-32167) at 1/5,000 dilution.

The section was pre-treated using heat mediated antigen retrieval with Tris-EDTA buffer (pH 9.0) for 20 minutes. The tissues were blocked in 1% BSA for 20 minutes at room temperature, washed with ddH2O and PBS, and then probed with the primary antibody (NBP3-32167) at 1/5,000 dilution for 1 hour at room temperature. The detection was performed using an HRP conjugated compact polymer system. DAB was used as the chromogen. Tissues were counterstained with hematoxylin and mounted with DPX.
CD74 Antibody (PDM0-22)

Immunocytochemistry/ Immunofluorescence: CD74 Antibody (PDM0-22) [NBP3-32167]

Immunocytochemistry/ Immunofluorescence: CD74 Antibody (PDM0-22) [NBP3-32167] - Immunocytochemistry analysis of LOVO cells labeling CD74 with Mouse anti-CD74 antibody (NBP3-32167) at 1/50 dilution.

Cells were fixed in 4% paraformaldehyde for 30 minutes, permeabilized with 0.1% Triton X-100 in PBS for 15 minutes, and then blocked with 2% BSA for 30 minutes at room temperature. Cells were then incubated with Mouse anti-CD74 antibody (NBP3-32167) at 1/50 dilution in 2% BSA overnight at 4 ℃. Goat Anti-Mouse IgG H&L (iFluor™ 488) was used as the secondary antibody at 1/1,000 dilution. PBS instead of the primary antibody was used as the secondary antibody only control. Nuclear DNA was labelled in blue with DAPI.

Applications for CD74 Antibody (PDM0-22)

Application
Recommended Usage

Immunocytochemistry/ Immunofluorescence

1:50

Immunohistochemistry-Paraffin

1:1000

Western Blot

1:1000

Formulation, Preparation, and Storage

Purification

Protein A purified

Formulation

PBS (pH7.4), 0.1% BSA and 40% Glycerol

Preservative

0.05% Sodium Azide

Concentration

Please see the vial label for concentration. If unlisted please contact technical services.

Shipping

The product is shipped with polar packs. Upon receipt, store it immediately at the temperature recommended below.

Stability & Storage

Store at 4C short term. Aliquot and store at -20C long term. Avoid freeze-thaw cycles.

Background: CD74

CD74, also known as the MHC class II associated invariant chain (Ii), is a type II transmembrane protein which binds to the peptide binding groove of newly synthesized MHC class II alpha/beta heterodimers and prevents their premature association with endogenous polypeptides. CD74 is produced in molar excess over MHC class II and some of this is expressed by an unknown pathway on the cell surface independent of, or in association with, MHC class II molecules. The half life of CD74 on the cell surface is only 3 to 4 min after which it is internalized. It has been proposed that cell surface CD74 binds MHC class II molecules which have lost their antigenic peptide leading to internalization and reloading with antigenic peptide. The transport route of class II alpha/beta/Ii complexes is regulated selectively by two forms of CD74 (p33 and p35) which are generated by the use of alternative translation initiation sites. CD74 is expressed primarily by antigen presenting cells such as B lymphocytes (from before the pre-B cell stage to before the plasma cell stage), macrophages and monocytes together, with many epithelial cells. CD74 may exist in different isoforms ranging in size from 33 to 41 kDa, depending on genetic splicing.

Alternate Names

CD74, CLIP, DHLAG, HLADG, Ia-gamma, INVG34

Gene Symbol

CD74

Additional CD74 Products

Product Documents for CD74 Antibody (PDM0-22)

Certificate of Analysis

To download a Certificate of Analysis, please enter a lot number in the search box below.

Product Specific Notices for CD74 Antibody (PDM0-22)

This product is for research use only and is not approved for use in humans or in clinical diagnosis. Primary Antibodies are guaranteed for 1 year from date of receipt.

Loading...
Loading...
Loading...
Loading...