Skip to main content

CD6 Antibody (rC6/372)

Novus Biologicals, part of Bio-Techne | Catalog # NBP3-20439

Recombinant Monoclonal Antibody
Novus Biologicals, part of Bio-Techne
Catalog #
Availability
Size / Price
Qty
Loading...
NBP3-20439-100ug
NBP3-20439-20ug

Key Product Details

Species Reactivity

Human

Applications

Immunohistochemistry-Paraffin

Label

Unconjugated

Antibody Source

Recombinant Monoclonal Mouse IgG1 kappa Clone # rC6/372

Concentration

0.2 mg/ml

Product Specifications

Immunogen

Recombinant full-length human CD6 protein

Localization

Cell surface. Cytoplasm.

Clonality

Monoclonal

Host

Mouse

Isotype

IgG1 kappa

Description

Positive Controls: MOLT-4, CCRF-CEM or Jurkat cells. Human tonsil or lymph node.

Antibody with azide - store at 2 to 8C. Antibody without azide - store at -20 to -80C. Non-hazardous. No MSDS required.

Scientific Data Images for CD6 Antibody (rC6/372)

CD6 Antibody (rC6/372)

CD6 Antibody (rC6/372)

Formalin-fixed, paraffin-embedded human tonsil stained with CD6 antibody (rC6/372). HIER: Tris/EDTA, pH9.0, 45min. Secondary: HRP-polymer, 30min. DAB, 5min.
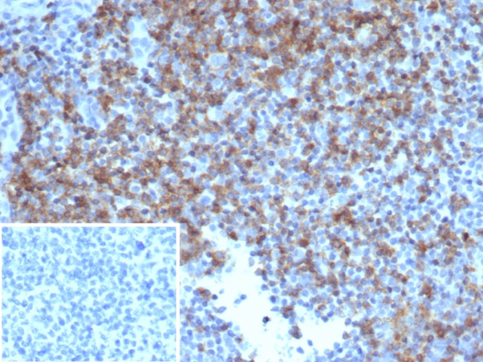
CD6 Antibody (rC6/372)

CD6 Antibody (rC6/372)

Formalin-fixed, paraffin-embedded human tonsil stained with CD6 antibody (rC6/372). Inset: PBS instead of primary antibody; secondary only negative control.

Applications for CD6 Antibody (rC6/372)

Application
Recommended Usage

Immunohistochemistry-Paraffin

1-2 ug/ml
Application Notes
Immunohistochemistry (Formalin-fixed): 1-2ug/ml for 30 minutes. at RT. Staining of formalin-fixed tissues requires heating tissue sections in 10mM Tris with 1mM EDTA, pH 9.0, for 45 min at 95C followed by cooling at RT for 20 minutes.

Optimal dilution for a specific application should be determined.

Formulation, Preparation, and Storage

Purification

Protein A or G purified

Formulation

10mM PBS with 0.05% BSA

Preservative

0.05% Sodium Azide

Concentration

0.2 mg/ml

Shipping

The product is shipped with polar packs. Upon receipt, store it immediately at the temperature recommended below.

Stability & Storage

Store at 4C. Do not freeze.

Background: CD6

CD6 is a 100-130 kD single chain transmembrane glycoprotein also known as T12. It is a member of the scavenger receptor superfamily found on T and B cell subsets, thymocytes, and acute lymphocytic leukemia cells (ALL). CD6, interacting with its ligand CD166 (also known as ALCAM), is involved in T cell development and activation, as well as thymocyte adhesion.

Alternate Names

CD6

Gene Symbol

CD6

Additional CD6 Products

Product Documents for CD6 Antibody (rC6/372)

Certificate of Analysis

To download a Certificate of Analysis, please enter a lot number in the search box below.

Product Specific Notices for CD6 Antibody (rC6/372)

This product is for research use only and is not approved for use in humans or in clinical diagnosis. Primary Antibodies are guaranteed for 1 year from date of receipt.

Loading...
Loading...
Loading...
Loading...