Skip to main content

CD45RA Antibody (PTPRC/4367R)

Novus Biologicals, part of Bio-Techne | Catalog # NBP3-20377

Recombinant Monoclonal Antibody
Novus Biologicals, part of Bio-Techne
Catalog #
Availability
Size / Price
Qty
Loading...
NBP3-20377-100ug
NBP3-20377-20ug

Key Product Details

Species Reactivity

Human

Applications

Immunohistochemistry-Paraffin

Label

Unconjugated

Antibody Source

Recombinant Monoclonal Rabbit IgG Kappa Clone # PTPRC/4367R

Concentration

0.2 mg/ml

Product Specifications

Immunogen

Recombinant fragment (around aa1-600) of human CD45RA protein (extracellular domain)

Localization

Cell surface.

Clonality

Monoclonal

Host

Rabbit

Isotype

IgG Kappa

Description

Positive Controls: Human tonsil or lymph node.

Antibody with azide - store at 2 to 8C. Antibody without azide - store at -20 to -80C. Non-hazardous. No MSDS required.

Scientific Data Images for CD45RA Antibody (PTPRC/4367R)

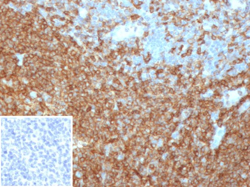
CD45RA Antibody (PTPRC/4367R)

CD45RA Antibody (PTPRC/4367R)

Formalin-fixed, paraffin-embedded human tonsil stained with CD45RA antibody (PTPRC/4367R). HIER: Tris/EDTA, pH9.0, 45min. Secondary: HRP-polymer, 30min. DAB, 5min.
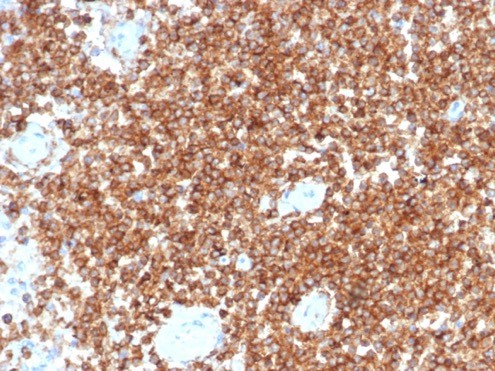
CD45RA Antibody (PTPRC/4367R)

CD45RA Antibody (PTPRC/4367R)

Formalin-fixed, paraffin-embedded human tonsil stained with CD45RA antibody (PTPRC/4367R). Inset: PBS instead of primary antibody; secondary only negative control.

Applications for CD45RA Antibody (PTPRC/4367R)

Application
Recommended Usage

Immunohistochemistry-Paraffin

1-2 ug/ml
Application Notes
Immunohistochemistry (Formalin-fixed): 1-2ug/ml for 30 minutes. at RT. Staining of formalin-fixed tissues requires heating tissue sections in 10mM Tris with 1mM EDTA, pH 9.0, for 45 min at 95C followed by cooling at RT for 20 minutes.

Optimal dilution for a specific application should be determined.

Formulation, Preparation, and Storage

Purification

Protein A or G purified

Formulation

10mM PBS with 0.05% BSA

Preservative

0.05% Sodium Azide

Concentration

0.2 mg/ml

Shipping

The product is shipped with polar packs. Upon receipt, store it immediately at the temperature recommended below.

Stability & Storage

Store at 4C. Do not freeze.

Background: CD45RA

The CD45 molecule is comprised of different glycoproteins ranging from 180-240 kD. Expression of CD45 is found on all hemopoietic cells. Detection of the different isoforms can distinguish between different cell forms i.e. naive T cells and memory T cells. CD45RA is an isoform of the CD45 complex and has restricted expression between different subtypes of lymphoid cells. The functional activity of each CD45 isotype also varies.

Long Name

CD45R, A isoform

Alternate Names

B220, CD45 antigen, CD45R, EC 3.1.3.48, L-CA, LY5, protein tyrosine phosphatase, receptor type, C, receptor-type tyrosine-protein phosphatase C, T200 glycoprotein, T200 leukocyte common antigen, T200receptor type, c polypeptide

Gene Symbol

PTPRC

Additional CD45RA Products

Product Documents for CD45RA Antibody (PTPRC/4367R)

Certificate of Analysis

To download a Certificate of Analysis, please enter a lot number in the search box below.

Product Specific Notices for CD45RA Antibody (PTPRC/4367R)

This product is for research use only and is not approved for use in humans or in clinical diagnosis. Primary Antibodies are guaranteed for 1 year from date of receipt.

Loading...
Loading...
Loading...
Loading...