Skip to main content

CD4 Antibody (CL0395) - Azide and BSA Free

Novus Biologicals, part of Bio-Techne | Catalog # NBP3-44029

Novus Biologicals, part of Bio-Techne

Key Product Details

Validated by

Orthogonal Validation

Species Reactivity

Human

Applications

Immunohistochemistry-Paraffin, Western Blot

Label

Unconjugated

Antibody Source

Monoclonal Mouse IgG1 Clone # CL0395

Format

Azide and BSA Free

Concentration

LYOPH mg/ml

Product Specifications

Immunogen

This antibody was generated using a recombinant protein sequence of P01730, with the exact immunogen sequence remaining proprietary.

Clonality

Monoclonal

Host

Mouse

Isotype

IgG1

Description

Novus Biologicals Mouse CD4 Antibody (CL0395) - Azide and BSA Free (NBP2-52928) is a monoclonal antibody validated for use in IHC and WB. All Novus Biologicals antibodies are covered by our 100% guarantee.

Scientific Data Images for CD4 Antibody (CL0395) - Azide and BSA Free

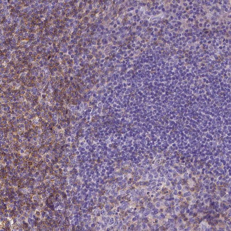
CD4 Antibody (CL0395) - Azide and BSA Free Immunohistochemistry-Paraffin: CD4 Antibody [NBP3-44029]

Immunohistochemistry-Paraffin: CD4 Antibody [NBP3-44029]

Analysis in human tonsil and pancreas tissues using NBP3-44029 antibody. Corresponding CD4 RNA-seq data are presented for the same tissues.
CD4 Antibody (CL0395) - Azide and BSA Free Western Blot: CD4 Antibody [NBP3-44029]

Western Blot: CD4 Antibody [NBP3-44029]

Lane 1: Marker [kDa]
Lane 2: Negative control (vector only transfected HEK293T
Lane 3: CD4 Over-expression Lysate (Co-expressed with a C-terminal myc-DDK tag (~3.1 kDa) in mammalian HEK293T cells)
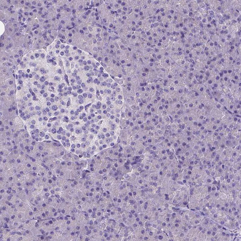
CD4 Antibody (CL0395) - Azide and BSA Free Immunohistochemistry-Paraffin: CD4 Antibody [NBP3-44029]

Immunohistochemistry-Paraffin: CD4 Antibody [NBP3-44029]

Staining of human pancreas shows no positivity in either islets of Langerhans or exocrine glandular cells as expected.

Applications for CD4 Antibody (CL0395) - Azide and BSA Free

Application
Recommended Usage

Immunohistochemistry-Paraffin

1:50 - 1:200

Western Blot

1 ug/ml
Application Notes
For IHC-Paraffin, HIER pH 6 retrieval is recommended.

Formulation, Preparation, and Storage

Purification

Protein A purified

Reconstitution

Centrifuge the vial of lyophilized antibody at 12,000 x g for 20 seconds. Reconstitute by adding sterile, distilled water to achieve a final antibody concentration of 1mg/ml.

Formulation

Lyophilized from a 0.2 um filtered solution in PBS with Trehalose

Format

Azide and BSA Free

Preservative

No Preservative

Concentration

LYOPH mg/ml

Shipping

The product is shipped at ambient temperature. Upon receipt, store it immediately at the temperature recommended below.

Stability & Storage

Store at 4C short term. Aliquot and store at -20C long term. Avoid freeze-thaw cycles.

Background: CD4

CD4 (cluster of differentiation 4), also known as L3T4 or T4, is a 55 kDa single chain type I transmembrane glycoprotein belonging to the immunoglobin (Ig) superfamily. CD4 is predominantly expressed on most thymocytes, a subset of mature T lymphocytes, and weakly on monocytes, tissue macrophages, dendritic cells, and granulocytes. It is also expressed on neurons and glial cells in the brain (1). CD4 is expressed along with CD8 on double positive T cells during their development in the thymus. Either CD4 or CD8 expression is then lost giving rise to single positive (SP) CD4+ or CD8+ mature T cells. CD4+ SP cells (T helper cells) further differentiate into multiple subsets of CD4+ cells including Th1, Th2, Th17, Tfh, and Treg cells which regulate humoral and cellular immunity (2). The extracellular region of CD4 consists of 372 amino acids (aa) with four immunoglobin-like domains (D1-D4). The structures of D1 and D3 resemble variable (IgV) domains while D2 and D4 resemble constant (IgC) domains (3).

Given its critical role in T cell development, CD4 also has diverse immunology-related functions. CD4 acts as a coreceptor with the T-cell receptor (TCR) during T cell activation and thymic differentiation by binding directly to major histocompatibility complex (MHC) class II antigens and associating with the protein tyrosine kinase, Lck (4). This interaction contributes to the formation of the immunological synapse (5). Defects in antigen presentation cause dysfunction of CD4+ T cells and the almost complete loss of MHC II expression on B cells in peripheral blood, as observed in severe combined immunodeficiency (SCID) (6). CD4 also functions as a receptor for the human immunodeficiency virus (HIV) by binding to gp120, the envelope glycoprotein of HIV-1. It has been shown that the V-like domains are critical for binding to gp120 (7). In immune mediated and infectious diseases of the central nervous system, CD4 functions as an indirect mediator of neuronal damage (8).

References

1. Omri, B., Crisanti, P., Alliot, F., Marty, M., Rutin, J., Levallois, C., . . . Pessac, B. (1994). CD4 expression in neurons of the central nervous system. International Immunology, 6(3), 377-385. doi:10.1093/intimm/6.3.377

2. Wan, Y. Y., & Flavell, R. A. (2009). How diverse-CD4 effector T cells and their functions. Journal of Molecular Cell Biology, 1(1), 20-36. doi:10.1093/jmcb/mjp001

3. Wu, H., Myszka, D. G., Tendian, S. W., Brouillette, C. G., Sweet, R. W., Chaiken, I. M., & Hendrickson, W. A. (1996). Kinetic and structural analysis of mutant CD4 receptors that are defective in HIV gp120 binding. Proceedings of the National Academy of Sciences, 93(26), 15030-15035. doi:10.1073/pnas.93.26.15030

4. Doyle, C., & Strominger, J. L. (1987). Interaction between CD4 and class II MHC molecules mediates cell adhesion. Nature, 330, 256-259. doi:10.1038/330256a0

5. Vignali, D. A. (2010). CD4 on the road to coreceptor status. The Journal of Immunology, 184(11), 5933-5934. doi:10.4049/jimmunol.1090037

6. Tasher, D., & Dalal, I. (2012). The genetic basis of severe combined immunodeficiency and its variants. The Application of Clinical Genetics, 5, 67-80. doi:10.2147/tacg.s18693

7. Arthos, J., Deen, K. C., Chaikin, M. A., Fornwald, J. A., Sathe, G., Sattentau, Q. J., . . . Sweet, R. W. (1989). Identification of the residues in human CD4 critical for the binding of HIV. Cell, 57(3), 469-481. doi:10.1016/0092-8674(89)90922-7

8. Buttini, M., Westland, C. E., Masliah, E., Yafeh, A. M., Wyss-Coray, T., Mucke, L. (1998). Novel role of human cd4 molecule identified in neurodegeneration. Nature Medicine, 4(4), 441-446. doi:10.1038/nm0498-441

Alternate Names

CD4

Gene Symbol

CD4

Additional CD4 Products

Product Documents for CD4 Antibody (CL0395) - Azide and BSA Free

Certificate of Analysis

To download a Certificate of Analysis, please enter a lot number in the search box below.

Product Specific Notices for CD4 Antibody (CL0395) - Azide and BSA Free

This product is for research use only and is not approved for use in humans or in clinical diagnosis. Primary Antibodies are guaranteed for 1 year from date of receipt.

Loading...
Loading...
Loading...
Loading...
Loading...
Loading...