Skip to main content

CD229/SLAMF3/Lymphocyte Antigen 9 Antibody - BSA Free

Novus Biologicals, part of Bio-Techne | Catalog # NBP2-30776

Novus Biologicals, part of Bio-Techne
Catalog #
Availability
Size / Price
Qty
Loading...
NBP2-30776
NBP2-30776-25ul

Key Product Details

Species Reactivity

Human

Applications

Immunohistochemistry, Immunohistochemistry-Paraffin, Western Blot

Label

Unconjugated

Antibody Source

Polyclonal Rabbit IgG

Format

BSA Free

Concentration

Concentrations vary lot to lot. See vial label for concentration. If unlisted please contact technical services.

Product Specifications

Immunogen

This antibody was developed against a recombinant protein corresponding to amino acids: KRKGRCSVPAFCSSQAEAPADTPEPTAGHTLYSVLSQGYEKLDTPLRPARQQPTPTSDSSSDSNLTTEEDEDRPEVHKPISGRYE

Clonality

Polyclonal

Host

Rabbit

Isotype

IgG

Description

Novus Biologicals Rabbit CD229/SLAMF3/Lymphocyte Antigen 9 Antibody - BSA Free (NBP2-30776) is a polyclonal antibody validated for use in IHC and WB. All Novus Biologicals antibodies are covered by our 100% guarantee.

Scientific Data Images for CD229/SLAMF3/Lymphocyte Antigen 9 Antibody - BSA Free

Western Blot: CD229/SLAMF3/Lymphocyte Antigen 9 Antibody [NBP2-30776]

Western Blot: CD229/SLAMF3/Lymphocyte Antigen 9 Antibody [NBP2-30776]

Western Blot: CD229/SLAMF3/Lymphocyte Antigen 9 Antibody [NBP2-30776] - Lane 1: Marker [kDa] 250, 130, 95, 72, 55, 36, 28, 17, 10. Lane 2: Human cell line RT-4. Lane 3: Human cell line U-251MG sp
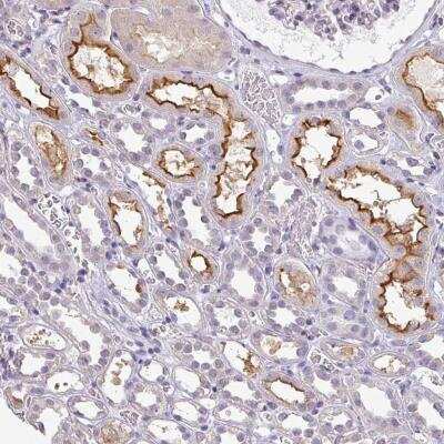
Immunohistochemistry-Paraffin: CD229/SLAMF3/Lymphocyte Antigen 9 Antibody [NBP2-30776]

Immunohistochemistry-Paraffin: CD229/SLAMF3/Lymphocyte Antigen 9 Antibody [NBP2-30776]

Immunohistochemistry-Paraffin: CD229/SLAMF3/Lymphocyte Antigen 9 Antibody [NBP2-30776] - Staining of human kidney showing strong membranous positivity in cells of various tubules.

Applications for CD229/SLAMF3/Lymphocyte Antigen 9 Antibody - BSA Free

Application
Recommended Usage

Immunohistochemistry

1:1000 - 1:2500

Immunohistochemistry-Paraffin

1:1000 - 1:2500

Western Blot

0.04-0.4 ug/ml
Application Notes
For IHC-Paraffin, HIER pH 6 retrieval is recommended.

Formulation, Preparation, and Storage

Purification

Affinity purified

Formulation

PBS (pH 7.2) and 40% Glycerol

Format

BSA Free

Preservative

0.02% Sodium Azide

Concentration

Concentrations vary lot to lot. See vial label for concentration. If unlisted please contact technical services.

Shipping

The product is shipped with polar packs. Upon receipt, store it immediately at the temperature recommended below.

Stability & Storage

Store at 4C short term. Aliquot and store at -20C long term. Avoid freeze-thaw cycles.

Background: CD229/SLAMF3

LY9, also known as T-lymphocyte surface Antigen Ly-9, consists of four isoforms of sizes 72.1 kDa, 70.7 kDa, 57.3 kDa, and 72 kDa and interacts with adaptor molecules as an immunomodulatory receptor and member of the SLAM family. Current research is being conducted to identify the effect of the protein on diseases and disorders such as myeloma, hepatitis, lymphoproliferative syndrome, and dysgammaglobulinemia. The protein is involved in cell adhesion pathways with SH2D1A, AP2M1, PTPN11, GRB2, and SH2D1B proteins.

Long Name

SLAM Family Member 3

Alternate Names

CD229, Ly9, SLAMF3

Gene Symbol

LY9

UniProt

Additional CD229/SLAMF3 Products

Product Documents for CD229/SLAMF3/Lymphocyte Antigen 9 Antibody - BSA Free

Certificate of Analysis

To download a Certificate of Analysis, please enter a lot number in the search box below.

Product Specific Notices for CD229/SLAMF3/Lymphocyte Antigen 9 Antibody - BSA Free

This product is for research use only and is not approved for use in humans or in clinical diagnosis. Primary Antibodies are guaranteed for 1 year from date of receipt.

Loading...
Loading...
Loading...
Loading...