Skip to main content

CD21 Antibody (CR2/8880R) - Azide and BSA Free

Novus Biologicals, part of Bio-Techne | Catalog # NBP3-24015

Recombinant Monoclonal Antibody
Novus Biologicals, part of Bio-Techne

Key Product Details

Species Reactivity

Human

Applications

Immunohistochemistry-Paraffin

Label

Unconjugated

Antibody Source

Monoclonal Rabbit IgG Kappa Clone # CR2/8880R

Format

Azide and BSA Free

Concentration

1 mg/ml

Product Specifications

Immunogen

Recombinant fragment (around aa1-200) of human CD21 (exact sequence is proprietary)

Localization

Cell Surface

Marker

Mature B-Cell & Follicular Dendritic Cell Marker

Clonality

Monoclonal

Host

Rabbit

Isotype

IgG Kappa

Description

Antibody without azide - store at -20 to -80C.

Scientific Data Images for CD21 Antibody (CR2/8880R) - Azide and BSA Free

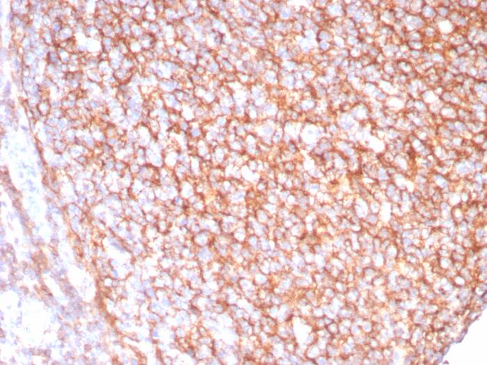
Immunohistochemistry-Paraffin: CD21 Antibody (CR2/8880R) - Azide and BSA Free [NBP3-24015] -

Formalin-fixed, paraffin-embedded human tonsil stained with CD21 antibody (CR2/8880R) - Azide and BSA Free. Inset: PBS instead of primary antibody; secondary only negative control.

Immunohistochemistry-Paraffin: CD21 Antibody (CR2/8880R) - Azide and BSA Free [NBP3-24015] -

Formalin-fixed, paraffin-embedded human tonsil stained with CD21 antibody (CR2/8880R) - Azide and BSA Free. HIER: Tris/EDTA, pH9.0, 45min. Secondary: HRP-polymer, 30min. DAB, 5min.

Applications for CD21 Antibody (CR2/8880R) - Azide and BSA Free

Application
Recommended Usage

Immunohistochemistry-Paraffin

1-2ug/ml
Application Notes
Immunohistochemistry-Paraffin: 1-2ug/ml for 30 minutes at RT. Staining of formalin-fixed tissues requires heating tissue sections in 10mM Tris with 1mM EDTA, pH 9.0, for 45 min at 95C followed by cooling at RT for 20 minutes. Optimal dilution for a specific application should be determined.

Formulation, Preparation, and Storage

Purification

Protein A or G purified

Formulation

10mM PBS

Format

Azide and BSA Free

Preservative

No Preservative

Concentration

1 mg/ml

Shipping

The product is shipped with polar packs. Upon receipt, store it immediately at the temperature recommended below.

Stability & Storage

Store at -20 to -80C. Avoid freeze-thaw cycles.

Background: CD21

CD21 (complement receptor 2, CR2) binds C3 complement fragments, especially its breakdown fragments, which remain covalently attached to complement activating surfaces or antigen. CD21 has important roles in uptake and retention of immunocomplexes, survival of memory B cells and in development and maintenance of the humoral response to T-dependent antigens. CD21 also serves as a key receptor for Epstein-Barr virus binding and is involved in targeting prions to folicular dendritic cells and expediting neuroinvasion following peripheral exposure to prions. A soluble form of the CD21 (sCD21) is shed from the lymphocyte surface and retains its ability to bind respective ligands.

Alternate Names

C3DR, CD21, CR2

Gene Symbol

CR2

Additional CD21 Products

Product Documents for CD21 Antibody (CR2/8880R) - Azide and BSA Free

Certificate of Analysis

To download a Certificate of Analysis, please enter a lot number in the search box below.

Product Specific Notices for CD21 Antibody (CR2/8880R) - Azide and BSA Free

This product is for research use only and is not approved for use in humans or in clinical diagnosis. Primary Antibodies are guaranteed for 1 year from date of receipt.

Loading...
Loading...
Loading...
Loading...