Skip to main content

CD1a Antibody (rC1A/8110)

Novus Biologicals, part of Bio-Techne | Catalog # NBP3-20387

Recombinant Monoclonal Antibody
Novus Biologicals, part of Bio-Techne
Catalog #
Availability
Size / Price
Qty
Loading...
NBP3-20387-100ug
NBP3-20387-20ug

Key Product Details

Species Reactivity

Human

Applications

Immunohistochemistry-Paraffin

Label

Unconjugated

Antibody Source

Recombinant Monoclonal Mouse IgG1 kappa Clone # rC1A/8110

Concentration

0.2 mg/ml

Product Specifications

Immunogen

Recombinant full-length human CD1a protein

Localization

Cell surface

Specificity

Anti-CD1a labels Langerhans cell histiocytosis (Histiocytosis X), extranodal histiocytic sarcoma, a subset of T-lymphoblastic lymphoma/leukemia, and interdigitating dendritic cell sarcoma of the lymph node When combined with antibodies against TTF-1 and CD5, anti-CD1a is useful in distinguishing between pulmonary and thymic neoplasms since CD1a is consistently expressed in thymic lymphocytes in both typical and atypical thymomas, but only focally in 1/6 of thymic carcinomas and not in lymphocytes in pulmonary neoplasms Anti-CD1a is reported to be a new marker for perivascular epithelial cell tumor (PEComa)

Clonality

Monoclonal

Host

Mouse

Isotype

IgG1 kappa

Description

Positive Controls: Paracortex in a tonsil or a reactive lymph node.

Antibody with azide - store at 2 to 8C. Antibody without azide - store at -20 to -80C. Non-hazardous. No MSDS required.

Scientific Data Images for CD1a Antibody (rC1A/8110)

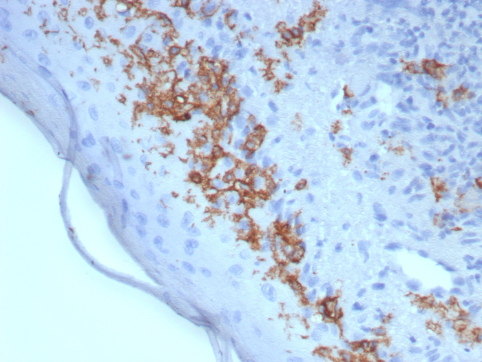
CD1a Antibody (rC1A/8110)

CD1a Antibody (rC1A/8110)

Formalin-fixed, paraffin-embedded human skin stained with CD1a antibody (rC1A/8110). HIER: Tris/EDTA, pH9.0, 45min. Secondary: HRP-polymer, 30min. DAB, 5min.

Applications for CD1a Antibody (rC1A/8110)

Application
Recommended Usage

Immunohistochemistry-Paraffin

1-2 ug/ml
Application Notes
Immunohistochemistry (Formalin-fixed): 1-2ug/ml for 30 minutes. at RT. Staining of formalin-fixed tissues requires heating tissue sections in 10mM Tris with 1mM EDTA, pH 9.0, for 45 min at 95C followed by cooling at RT for 20 minutes.

Optimal dilution for a specific application should be determined.

Formulation, Preparation, and Storage

Purification

Protein A or G purified

Formulation

10mM PBS with 0.05% BSA

Preservative

0.05% Sodium Azide

Concentration

0.2 mg/ml

Shipping

The product is shipped with polar packs. Upon receipt, store it immediately at the temperature recommended below.

Stability & Storage

Store at 4C. Do not freeze.

Background: CD1a

All CD1 molecules, except CD1e, are cell surface glycoproteins that are structurally related to the MHC molecules, however, in distinction, CD1 proteins are essentially non polymorphic. CD1 has considerable structural homology with both MHC class I and class II molecules, and CD1 molecules are involved in T cell activation. In contrast to MHC, however, CD1 molecules appear to present predominantly non peptide molecules originating from lipids and glycolipids.

Long Name

T Cell Surface Glycoprotein CD1a

Alternate Names

CD1a, FCB6, HTA1, R4, T6

Gene Symbol

CD1A

Additional CD1a Products

Product Documents for CD1a Antibody (rC1A/8110)

Certificate of Analysis

To download a Certificate of Analysis, please enter a lot number in the search box below.

Product Specific Notices for CD1a Antibody (rC1A/8110)

This product is for research use only and is not approved for use in humans or in clinical diagnosis. Primary Antibodies are guaranteed for 1 year from date of receipt.

Loading...
Loading...
Loading...
Loading...