Skip to main content

CCT8 Antibody - BSA Free

Novus Biologicals, part of Bio-Techne | Catalog # NBP1-88287

Novus Biologicals, part of Bio-Techne
Catalog #
Availability
Size / Price
Qty
Loading...
NBP1-88287
NBP1-88287-25ul

Key Product Details

Validated by

Independent Antibodies

Species Reactivity

Human, Mouse, Rat

Applications

Immunohistochemistry, Immunohistochemistry-Paraffin, Western Blot

Label

Unconjugated

Antibody Source

Polyclonal Rabbit IgG

Format

BSA Free

Concentration

Concentrations vary lot to lot. See vial label for concentration. If unlisted please contact technical services.

Product Specifications

Immunogen

This antibody was developed against Recombinant Protein corresponding to amino acids: LPNLVCCSAKNLRDIDEVSSLLRTSIMSKQYGNEVFLAKLIAQACVSIFPDSGHFNVDNIRVCKILGSGISSSSVLHGMVFKKETEGDVT

Clonality

Polyclonal

Host

Rabbit

Isotype

IgG

Scientific Data Images for CCT8 Antibody - BSA Free

CCT8 Antibody - BSA Free Immunohistochemistry-Paraffin: CCT8 Antibody - BSA Free [NBP1-88287]

Immunohistochemistry-Paraffin: CCT8 Antibody - BSA Free [NBP1-88287]

Staining of human cerebral cortex, lymph node, testis and urinary bladder using Anti-CCT8 antibody NBP1-88287 (A) shows similar protein distribution across tissues to independent antibody NBP1-88285 (B).
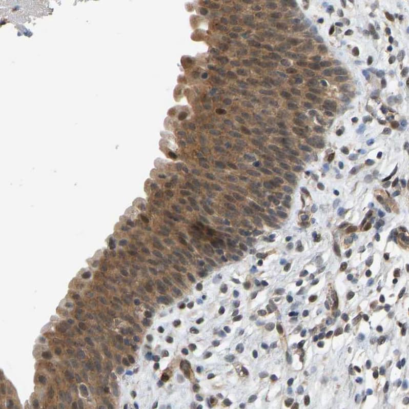
Immunohistochemistry-Paraffin: CCT8 Antibody [NBP1-88287]

Immunohistochemistry-Paraffin: CCT8 Antibody [NBP1-88287]

Immunohistochemistry-Paraffin: CCT8 Antibody [NBP1-88287] - Staining of human testis shows strong cytoplasmic positivity in cells in seminiferus ducts.
CCT8 Antibody - BSA Free Immunohistochemistry-Paraffin: CCT8 Antibody - BSA Free [NBP1-88287]

Immunohistochemistry-Paraffin: CCT8 Antibody - BSA Free [NBP1-88287]

Staining of human lymph node shows moderate cytoplasmic positivity in germinal center cells.

Applications for CCT8 Antibody - BSA Free

Application
Recommended Usage

Immunohistochemistry

1:200 - 1:500

Immunohistochemistry-Paraffin

1:200 - 1:500

Western Blot

0.04-0.4 ug/ml
Application Notes
For IHC-Paraffin, HIER pH 6 retrieval is recommended.

Formulation, Preparation, and Storage

Purification

Affinity purified

Formulation

PBS (pH 7.2) and 40% Glycerol

Format

BSA Free

Preservative

0.02% Sodium Azide

Concentration

Concentrations vary lot to lot. See vial label for concentration. If unlisted please contact technical services.

Shipping

The product is shipped with polar packs. Upon receipt, store it immediately at the temperature recommended below.

Stability & Storage

Store at 4C short term. Aliquot and store at -20C long term. Avoid freeze-thaw cycles.

Background: CCT8

Molecular chaperone; assist the folding of proteins upon ATP hydrolysis. Known to play a role, in vitro, in the folding of actin and tubulin

Alternate Names

C21orf112, Cctq, CCT-theta, chaperonin containing TCP1, subunit 8 (theta), chromosome 21 open reading frame 112, D21S246, KIAA0002, PRED71, T-complex protein 1 subunit theta, T-complex protein 1, theta subunit, 10Renal carcinoma antigen NY-REN-15, TCP-1-theta

Gene Symbol

CCT8

Additional CCT8 Products

Product Documents for CCT8 Antibody - BSA Free

Certificate of Analysis

To download a Certificate of Analysis, please enter a lot number in the search box below.

Product Specific Notices for CCT8 Antibody - BSA Free

This product is for research use only and is not approved for use in humans or in clinical diagnosis. Primary Antibodies are guaranteed for 1 year from date of receipt.

Loading...
Loading...
Loading...
Loading...