Skip to main content

CCT3 Antibody

Novus Biologicals, part of Bio-Techne | Catalog # NBP1-79041

Novus Biologicals, part of Bio-Techne
Catalog #
Availability
Size / Price
Qty
Loading...
NBP1-79041

Key Product Details

Validated by

Independent Antibodies, Biological Validation

Species Reactivity

Validated:

Human, Mouse

Predicted:

Bovine (100%), Orangutan (100%). Backed by our 100% Guarantee.

Applications

Immunohistochemistry, Immunohistochemistry-Paraffin, Western Blot, Immunoprecipitation

Label

Unconjugated

Antibody Source

Polyclonal Rabbit IgG

Concentration

0.2 mg/ml

Product Specifications

Immunogen

The immunogen recognized by this antibody maps to a region between residue 495 and 545 of human Chaperonin containing TCP1, Subunit 3 using the numbering given in entry NP_005989.3 (GeneID 7203).

Clonality

Polyclonal

Host

Rabbit

Isotype

IgG

Scientific Data Images for CCT3 Antibody

Western Blot: CCT3 Antibody [NBP1-79041]

Western Blot: CCT3 Antibody [NBP1-79041]

Western Blot: CCT3 Antibody [NBP1-79041] - Whole cell lysate from HeLa (15 and 50 mcg for WB; 1 mg for IP, 20% of IP loaded), 293T (T; 50 mcg), Jurkat (J; 50 mcg) and mouse NIH3T3 (M; 50 mcg) cells. Antibodies: Affinity purified rabbit anti-CCT3 antibody used for WB at 0.04 mcg/ml (A) and 0.4 mcg/ml (B) and used for IP at 6 mcg/mg lysate. CCT3 was also immunoprecipitated by rabbit anti-CCT3 antibody NBP1-79040 which recognizes an upstream epitope.
Immunohistochemistry-Paraffin: CCT3 Antibody [NBP1-79041]

Immunohistochemistry-Paraffin: CCT3 Antibody [NBP1-79041]

Immunohistochemistry-Paraffin: CCT3 Antibody [NBP1-79041] - Sample: FFPE section of mouse teratoma. Antibody: Affinity purified rabbit anti- CCT3 used at a dilution of 1:200 (1ug/ml). Detection: DAB. Counterstain: hematoxylin (blue).
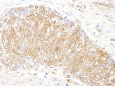
Immunohistochemistry-Paraffin: CCT3 Antibody [NBP1-79041]

Immunohistochemistry-Paraffin: CCT3 Antibody [NBP1-79041]

Immunohistochemistry-Paraffin: CCT3 Antibody [NBP1-79041] - Sample: FFPE section of human lung carcinoma. Antibody: Affinity purified rabbit anti- CCT3 used at a dilution of 1:200 (1ug/ml). Detection: DAB. Counterstain: hematoxylin (blue).

Applications for CCT3 Antibody

Application
Recommended Usage

Immunohistochemistry

1:100 - 1:500

Immunohistochemistry-Paraffin

1:100- 1:500

Immunoprecipitation

2-10ug/mg

Western Blot

1:2000-1:10000
Application Notes
Epitope retrieval with citrate buffer pH6.0 is recommended for FFPE tissue sections.

Formulation, Preparation, and Storage

Purification

Immunogen affinity purified

Formulation

TBS and 0.1% BSA

Preservative

0.09% Sodium Azide

Concentration

0.2 mg/ml

Shipping

The product is shipped with polar packs. Upon receipt, store it immediately at the temperature recommended below.

Stability & Storage

Store at 4C. Do not freeze.

Background: CCT3

CCT3 encodes a molecular chaperone that is member of the chaperonin containing TCP1 complex (CCT), also known as the TCP1 ring complex (TRiC). This complex consists of two identical stacked rings, each containing eight different proteins. Unfolded polypeptides enter the central cavity of the complex and are folded in an ATP-dependent manner. The complex folds various proteins, including actin and tubulin. Alternate transcriptional splice variants, encoding different isoforms, have been characterized. [provided by RefSeq]

Alternate Names

Cctg, chaperonin containing TCP1, subunit 3 (gamma), hTRiC5, TCP1 (t-complex-1) ring complex, polypeptide 5, TRIC5gamma subunit

Gene Symbol

CCT3

Additional CCT3 Products

Product Documents for CCT3 Antibody

Certificate of Analysis

To download a Certificate of Analysis, please enter a lot number in the search box below.

Product Specific Notices for CCT3 Antibody

This product is for research use only and is not approved for use in humans or in clinical diagnosis. Primary Antibodies are guaranteed for 1 year from date of receipt.

Loading...
Loading...
Loading...
Loading...