Skip to main content

CCR4 Antibody (HL2481) - Azide and BSA Free

Novus Biologicals, part of Bio-Techne | Catalog # NBP3-25402

Recombinant Monoclonal Antibody
Novus Biologicals, part of Bio-Techne
Catalog #
Availability
Size / Price
Qty
Loading...
NBP3-25402

Key Product Details

Validated by

Knockout/Knockdown

Species Reactivity

Human, Mouse, Rat

Applications

Immunohistochemistry, Immunohistochemistry-Paraffin, Western Blot, Immunocytochemistry/ Immunofluorescence

Label

Unconjugated

Antibody Source

Recombinant Monoclonal Rabbit IgG Clone # HL2481 expressed in HEK293

Format

Azide and BSA Free

Concentration

Concentrations vary lot to lot. See vial label for concentration. If unlisted please contact technical services.

Product Specifications

Immunogen

Synthetic peptide of human CCR4.

Clonality

Monoclonal

Host

Rabbit

Isotype

IgG

Theoretical MW

70 kDa.
Disclaimer note: The observed molecular weight of the protein may vary from the listed predicted molecular weight due to post translational modifications, post translation cleavages, relative charges, and other experimental factors.

Description

Novus Biologicals Rabbit CCR4 Antibody (HL2481) - Azide and BSA Free (NBP3-25402) is a recombinant monoclonal antibody validated for use in IHC, WB and ICC/IF. All Novus Biologicals antibodies are covered by our 100% guarantee.

Scientific Data Images for CCR4 Antibody (HL2481) - Azide and BSA Free

CCR4 Antibody (HL2481) - Azide and BSA Free

Western Blot: CCR4 Antibody (HL2481) - Azide and BSA Free [NBP3-25402] -

Western Blot: CCR4 Antibody (HL2481) - Azide and BSA Free [NBP3-25402] - Non-transfected (-) and transfected (+) bolied and unboiled 293T whole cell extracts (30 ug) were separated by 10% SDS-PAGE, and the membrane was blotted with CCR4 antibody [HL2481] (NBP3-25402) diluted at 1:1000. The HRP-conjugated anti-rabbit IgG antibody was used to detect the primary antibody.
CCR4 Antibody (HL2481) - Azide and BSA Free

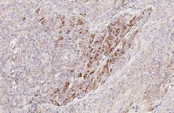
Immunohistochemistry-Paraffin: CCR4 Antibody (HL2481) - Azide and BSA Free [NBP3-25402] -

Immunohistochemistry-Paraffin: CCR4 Antibody (HL2481) - Azide and BSA Free [NBP3-25402] - CCR4 antibody [HL2481] detects CCR4 protein at cell membrane by immunohistochemical analysis. Sample: Paraffin-embedded rat thymus gland. CCR4 stained by CCR4 antibody [HL2481] (NBP3-25402) diluted at 1:100. Antigen Retrieval: Citrate buffer, pH 6.0, 15 min
CCR4 Antibody (HL2481) - Azide and BSA Free

Western Blot: CCR4 Antibody (HL2481) - Azide and BSA Free [NBP3-25402] -

Western Blot: CCR4 Antibody (HL2481) - Azide and BSA Free [NBP3-25402] - Mouse tissue extract (50 ug) was separated by 7.5% SDS-PAGE, and the membrane was blotted with CCR4 antibody [HL2481] (NBP3-25402) diluted at 1:1000. The HRP-conjugated anti-rabbit IgG antibody was used to detect the primary antibody.

Applications for CCR4 Antibody (HL2481) - Azide and BSA Free

Application
Recommended Usage

Immunocytochemistry/ Immunofluorescence

Assay dependent

Immunohistochemistry

Assay dependent

Immunohistochemistry-Paraffin

Assay dependent

Western Blot

1:500-1:3000

Formulation, Preparation, and Storage

Purification

Protein A purified

Formulation

PBS

Format

Azide and BSA Free

Preservative

No Preservative

Concentration

Concentrations vary lot to lot. See vial label for concentration. If unlisted please contact technical services.

Shipping

The product is shipped with polar packs. Upon receipt, store it immediately at the temperature recommended below.

Stability & Storage

Store at 4C short term. Aliquot and store at -20C long term. Avoid freeze-thaw cycles.

Background: CCR4

Chemokine receptors are G protein-coupled receptors (GPCRs) that play a key role in inflammation and are characterized by similar sequences with a 4 cysteine motif. The C-C receptors are important in the function of T cell chemotaxis and migration of phagocytic cells to sites of inflammation. Receptors for the C-C chemokine family include CCR-1, CCR-2A, CCR-3, CCR-4, CCR-5 and the Duffy blood group antigen.

Alternate Names

CD194

Gene Symbol

CCR4

Additional CCR4 Products

Product Documents for CCR4 Antibody (HL2481) - Azide and BSA Free

Certificate of Analysis

To download a Certificate of Analysis, please enter a lot number in the search box below.

Product Specific Notices for CCR4 Antibody (HL2481) - Azide and BSA Free

This product is for research use only and is not approved for use in humans or in clinical diagnosis. Primary Antibodies are guaranteed for 1 year from date of receipt.

Loading...
Loading...
Loading...
Loading...