Skip to main content

CCP110 Antibody (HL2312) - Azide and BSA Free

Novus Biologicals, part of Bio-Techne | Catalog # NBP3-25381

Recombinant Monoclonal Antibody
Novus Biologicals, part of Bio-Techne
Catalog #
Availability
Size / Price
Qty
Loading...
NBP3-25381

Key Product Details

Species Reactivity

Human, Mouse, Rat

Applications

Immunohistochemistry, Immunohistochemistry-Paraffin, Western Blot

Label

Unconjugated

Antibody Source

Recombinant Monoclonal Rabbit IgG Clone # HL2312 expressed in HEK293

Format

Azide and BSA Free

Concentration

Concentrations vary lot to lot. See vial label for concentration. If unlisted please contact technical services.

Product Specifications

Immunogen

Recombinant fragmemt of human CCP110.

Clonality

Monoclonal

Host

Rabbit

Isotype

IgG

Description

Novus Biologicals Rabbit CCP110 Antibody (HL2312) - Azide and BSA Free (NBP3-25381) is a recombinant monoclonal antibody validated for use in IHC and WB. All Novus Biologicals antibodies are covered by our 100% guarantee.

Scientific Data Images for CCP110 Antibody (HL2312) - Azide and BSA Free

CCP110 Antibody (HL2312) - Azide and BSA Free

Western Blot: CCP110 Antibody (HL2312) - Azide and BSA Free [NBP3-25381] -

Western Blot: CCP110 Antibody (HL2312) - Azide and BSA Free [NBP3-25381] - Rat tissue extract (50 ug) was separated by 7.5% SDS-PAGE, and the membrane was blotted with CP110 antibody [HL2312] (NBP3-25381) diluted at 1:1000. The HRP-conjugated anti-rabbit IgG antibody was used to detect the primary antibody.
CCP110 Antibody (HL2312) - Azide and BSA Free

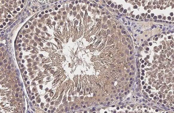
Immunohistochemistry-Paraffin: CCP110 Antibody (HL2312) - Azide and BSA Free [NBP3-25381] -

Immunohistochemistry-Paraffin: CCP110 Antibody (HL2312) - Azide and BSA Free [NBP3-25381] - CP110 antibody [HL2312] detects CP110 protein at cytoplasm by immunohistochemical analysis. Sample: Paraffin-embedded rat testis. CP110 stained by CP110 antibody [HL2312] (NBP3-25381) diluted at 1:1000. Antigen Retrieval: Citrate buffer, pH 6.0, 15 min
CCP110 Antibody (HL2312) - Azide and BSA Free

Western Blot: CCP110 Antibody (HL2312) - Azide and BSA Free [NBP3-25381] -

Western Blot: CCP110 Antibody (HL2312) - Azide and BSA Free [NBP3-25381] - Mouse tissue extract (50 ug) was separated by 7.5% SDS-PAGE, and the membrane was blotted with CP110 antibody [HL2312] (NBP3-25381) diluted at 1:1000. The HRP-conjugated anti-rabbit IgG antibody was used to detect the primary antibody.

Applications for CCP110 Antibody (HL2312) - Azide and BSA Free

Application
Recommended Usage

Western Blot

1:500-1:3000

Formulation, Preparation, and Storage

Purification

Protein A purified

Formulation

PBS

Format

Azide and BSA Free

Preservative

No Preservative

Concentration

Concentrations vary lot to lot. See vial label for concentration. If unlisted please contact technical services.

Shipping

The product is shipped with polar packs. Upon receipt, store it immediately at the temperature recommended below.

Stability & Storage

Store at 4C short term. Aliquot and store at -20C long term. Avoid freeze-thaw cycles.

Background: CCP110

Alternate Names

centriolar coiled coil protein 110kDa, Cep110, CP110

Gene Symbol

CCP110

Additional CCP110 Products

Product Documents for CCP110 Antibody (HL2312) - Azide and BSA Free

Certificate of Analysis

To download a Certificate of Analysis, please enter a lot number in the search box below.

Product Specific Notices for CCP110 Antibody (HL2312) - Azide and BSA Free

This product is for research use only and is not approved for use in humans or in clinical diagnosis. Primary Antibodies are guaranteed for 1 year from date of receipt.

Loading...
Loading...
Loading...
Loading...