CCDC49 Antibody - BSA Free
Novus Biologicals, part of Bio-Techne | Catalog # NBP2-49381
Key Product Details
Validated by
Orthogonal Validation
Species Reactivity
Validated:
Human
Predicted:
Mouse (90%), Rat (90%). Backed by our 100% Guarantee.
Applications
Immunohistochemistry, Immunohistochemistry-Paraffin, Immunocytochemistry/ Immunofluorescence
Label
Unconjugated
Antibody Source
Polyclonal Rabbit IgG
Format
BSA Free
Concentration
Concentrations vary lot to lot. See vial label for concentration. If unlisted please contact technical services.
Product Specifications
Immunogen
This antibody was developed against a recombinant protein corresponding to amino acids: RHAPGYTRKLSAEELERKRQEMMENAKWREEERLNILKRHAKDEEREQRLEKLDSRDGKFIHRMKLESASTSSLEDRVKRNIYSLQRTSVALEKNF
Clonality
Polyclonal
Host
Rabbit
Isotype
IgG
Description
Novus Biologicals Rabbit CCDC49 Antibody - BSA Free (NBP2-49381) is a polyclonal antibody validated for use in IHC and ICC/IF. All Novus Biologicals antibodies are covered by our 100% guarantee.
Scientific Data Images for CCDC49 Antibody - BSA Free
Immunocytochemistry/ Immunofluorescence: CCDC49 Antibody [NBP2-49381]
Immunocytochemistry/Immunofluorescence: CCDC49 Antibody [NBP2-49381] - Immunofluorescent staining of human cell line HEK 293 shows localization to nuclear speckles.Immunohistochemistry-Paraffin: CCDC49 Antibody [NBP2-49381]
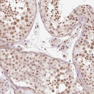
Immunohistochemistry-Paraffin: CCDC49 Antibody [NBP2-49381] - Staining of human testis shows moderate nuclear positivity in cells in seminiferus ducts.Applications for CCDC49 Antibody - BSA Free
Application
Recommended Usage
Immunocytochemistry/ Immunofluorescence
0.25-2 ug/ml
Immunohistochemistry
1:1000 - 1:2500
Immunohistochemistry-Paraffin
1:1000 - 1:2500
Application Notes
For IHC-Paraffin, HIER pH 6 retrieval is recommended. Immunocytochemistry/Immunofluorescence Fixation Permeabilization: Use PFA/Triton X-100.
Formulation, Preparation, and Storage
Purification
Affinity purified
Formulation
PBS (pH 7.2) and 40% Glycerol
Format
BSA Free
Preservative
0.02% Sodium Azide
Concentration
Concentrations vary lot to lot. See vial label for concentration. If unlisted please contact technical services.
Shipping
The product is shipped with polar packs. Upon receipt, store it immediately at the temperature recommended below.
Stability & Storage
Store at 4C short term. Aliquot and store at -20C long term. Avoid freeze-thaw cycles.
Background: CCDC49
Alternate Names
CCDC49, coiled-coil domain containing 49, Coiled-coil domain-containing protein 49, CWC25 spliceosome-associated protein homolog (S. cerevisiae), DKFZp779M0968, FLJ20291, pre-mRNA-splicing factor CWC25 homolog, Spliceosome-associated protein homolog CWC25
Gene Symbol
CWC25
Additional CCDC49 Products
Product Documents for CCDC49 Antibody - BSA Free
Product Specific Notices for CCDC49 Antibody - BSA Free
This product is for research use only and is not approved for use in humans or in clinical diagnosis. Primary Antibodies are guaranteed for 1 year from date of receipt.
Loading...
Loading...
Loading...
Loading...