Skip to main content

CCDC47 Antibody - BSA Free

Novus Biologicals, part of Bio-Techne | Catalog # NBP2-82078

Novus Biologicals, part of Bio-Techne

Key Product Details

Species Reactivity

Validated:

Human, Mouse

Predicted:

Bovine (100%), Rat (100%). Backed by our 100% Guarantee.

Applications

Immunohistochemistry, Immunohistochemistry-Paraffin, Western Blot, ELISA, Immunocytochemistry/ Immunofluorescence

Label

Unconjugated

Antibody Source

Polyclonal Rabbit IgG

Format

BSA Free

Concentration

1 mg/ml

Product Specifications

Immunogen

CCDC47 antibody was raised against a 16 amino acid synthetic peptide from near the carboxy terminus of human CCDC47. The immunogen is located within amino acids 350 - 400 of CCDC47. Amino Acid Squence: NVPGSGNTYPKDMEAL

Clonality

Polyclonal

Host

Rabbit

Isotype

IgG

Description

Novus Biologicals Rabbit CCDC47 Antibody - BSA Free (NBP2-82078) is a polyclonal antibody validated for use in IHC, WB, ELISA and ICC/IF. All Novus Biologicals antibodies are covered by our 100% guarantee.

Scientific Data Images for CCDC47 Antibody - BSA Free

Western Blot: CCDC47 AntibodyBSA Free [NBP2-82078]

Western Blot: CCDC47 AntibodyBSA Free [NBP2-82078]

Western Blot: CCDC47 Antibody [NBP2-82078] - Analysis of CCDC47 in mouse heart tissue lysate with CCDC47 antibody at (A) 1 and (B) 2 ug/ml.
CCDC47 Antibody - BSA Free

Immunocytochemistry/ Immunofluorescence: CCDC47 Antibody - BSA Free [NBP2-82078] -

Immunocytochemistry/ Immunofluorescence: CCDC47 Antibody - BSA Free [NBP2-82078] - Immunofluorescence of CDCC47 in mouse heart tissue with CDCC47 antibody at 20 ug/mL.
CCDC47 Antibody - BSA Free

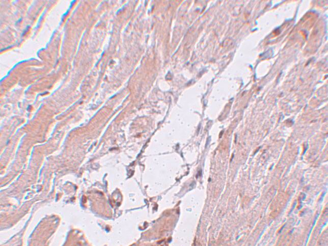
Immunohistochemistry: CCDC47 Antibody - BSA Free [NBP2-82078] -

Immunohistochemistry: CCDC47 Antibody - BSA Free [NBP2-82078] - Immunohistochemistry of CCDC47 in mouse heart tissue with CCDC47 antibody at 5 ug/mL.

Applications for CCDC47 Antibody - BSA Free

Application
Recommended Usage

Immunocytochemistry/ Immunofluorescence

20 ug/ml

Immunohistochemistry

5 ug/ml

Western Blot

1-2 ug/ml

Formulation, Preparation, and Storage

Purification

Peptide affinity purified

Formulation

PBS

Format

BSA Free

Preservative

0.02% Sodium Azide

Concentration

1 mg/ml

Shipping

The product is shipped with polar packs. Upon receipt, store it immediately at the temperature recommended below.

Stability & Storage

Store at 4C short term. Aliquot and store at -20C long term. Avoid freeze-thaw cycles.

Background: CCDC47

Alternate Names

coiled-coil domain containing 47, coiled-coil domain-containing protein 47, GK001, MSTP041, PSEC0077

Gene Symbol

CCDC47

Additional CCDC47 Products

Product Documents for CCDC47 Antibody - BSA Free

Certificate of Analysis

To download a Certificate of Analysis, please enter a lot number in the search box below.

Product Specific Notices for CCDC47 Antibody - BSA Free

This product is for research use only and is not approved for use in humans or in clinical diagnosis. Primary Antibodies are guaranteed for 1 year from date of receipt.

Loading...
Loading...
Loading...
Loading...