Skip to main content

CCDC4 Antibody - BSA Free

Novus Biologicals, part of Bio-Techne | Catalog # NBP3-47864

Novus Biologicals, part of Bio-Techne
Catalog #
Availability
Size / Price
Qty
Loading...
NBP3-47864

Key Product Details

Species Reactivity

Human, Mouse

Applications

Immunohistochemistry, Western Blot, ELISA

Label

Unconjugated

Antibody Source

Polyclonal Rabbit IgG

Format

BSA Free

Concentration

Please see the vial label for concentration. If unlisted please contact technical services.

Product Specifications

Immunogen

BEN domain containing 4. (Uniprot# Q6ZU67)

Clonality

Polyclonal

Host

Rabbit

Isotype

IgG

Description

Novus Biologicals Rabbit CCDC4 Antibody - BSA Free (NBP3-47864) is a polyclonal antibody validated for use in IHC, WB and ELISA. All Novus Biologicals antibodies are covered by our 100% guarantee.

Scientific Data Images for CCDC4 Antibody - BSA Free

CCDC4 Antibody - BSA Free

Western Blot: CCDC4 Antibody - BSA Free [NBP3-47864] -

Western Blot: CCDC4 Antibody - BSA Free [NBP3-47864] - Mouse testis tissue were subjected to SDS PAGE followed by western blot with (CCDC4 Antibody) at dilution of 1:1000
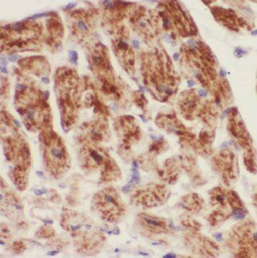
CCDC4 Antibody - BSA Free

Immunohistochemistry: CCDC4 Antibody - BSA Free [NBP3-47864] -

Immunohistochemistry: CCDC4 Antibody - BSA Free [NBP3-47864] - Immunohistochemistry of paraffin-embedded human heart tissue slide using (CCDC4 Antibody) at dilution of 1:50

Applications for CCDC4 Antibody - BSA Free

Application
Recommended Usage

Immunohistochemistry

1:20-1:200

Western Blot

1:500-1:2000
Application Notes
Theoretical Molecular Weight is 55-58 kDa;33-36 kDa

Formulation, Preparation, and Storage

Purification

Immunogen affinity purified

Formulation

PBS, 50% Glycerol, pH (7.3)

Format

BSA Free

Preservative

0.02% Sodium Azide

Concentration

Please see the vial label for concentration. If unlisted please contact technical services.

Shipping

The product is shipped with polar packs. Upon receipt, store it immediately at the temperature recommended below.

Stability & Storage

Store at -20C. Avoid freeze-thaw cycles.

Background: CCDC4

Alternate Names

BEN domain containing 4, BEN domain-containing protein 4, CCDC4, coiled-coil domain containing 4, coiled-coil domain-containing protein 4, FLJ35632, FLJ43965

Gene Symbol

BEND4

Additional CCDC4 Products

Product Documents for CCDC4 Antibody - BSA Free

Certificate of Analysis

To download a Certificate of Analysis, please enter a lot number in the search box below.

Product Specific Notices for CCDC4 Antibody - BSA Free

This product is for research use only and is not approved for use in humans or in clinical diagnosis. Primary Antibodies are guaranteed for 1 year from date of receipt.

Loading...
Loading...
Loading...
Loading...