Skip to main content

CCDC4 Antibody - BSA Free

Novus Biologicals, part of Bio-Techne | Catalog # NBP1-88163

Novus Biologicals, part of Bio-Techne
Catalog #
Availability
Size / Price
Qty
Loading...
NBP1-88163
NBP1-88163-25ul

Key Product Details

Species Reactivity

Validated:

Human

Predicted:

Mouse (97%), Rat (95%). Backed by our 100% Guarantee.

Applications

Immunohistochemistry, Immunohistochemistry-Paraffin, Immunocytochemistry/ Immunofluorescence

Label

Unconjugated

Antibody Source

Polyclonal Rabbit IgG

Format

BSA Free

Concentration

Concentrations vary lot to lot. See vial label for concentration. If unlisted please contact technical services.

Product Specifications

Immunogen

This antibody was developed against Recombinant Protein corresponding to amino acids: QYMQRKQQTSAFLRVFTDSLQNYLLSGSFPTPNPSSASEYGHLADVDPLSTSPVHTLGGWTSPATSESHGHPSSSTL

Clonality

Polyclonal

Host

Rabbit

Isotype

IgG

Scientific Data Images for CCDC4 Antibody - BSA Free

Immunocytochemistry/ Immunofluorescence: CCDC4 Antibody [NBP1-88163]

Immunocytochemistry/ Immunofluorescence: CCDC4 Antibody [NBP1-88163]

Immunocytochemistry/Immunofluorescence: CCDC4 Antibody [NBP1-88163] - Immunofluorescent staining of human cell line HEK 293 shows localization to nucleoli fibrillar center.
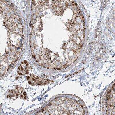
Immunohistochemistry-Paraffin: CCDC4 Antibody [NBP1-88163]

Immunohistochemistry-Paraffin: CCDC4 Antibody [NBP1-88163]

Immunohistochemistry-Paraffin: CCDC4 Antibody [NBP1-88163] - Staining of human testis shows strong cytoplasmic positivity in Leydig cells and subset of cells in seminiferous ducts.

Applications for CCDC4 Antibody - BSA Free

Application
Recommended Usage

Immunocytochemistry/ Immunofluorescence

0.25-2 ug/ml

Immunohistochemistry

1:50 - 1:200

Immunohistochemistry-Paraffin

1:50 - 1:200
Application Notes
For IHC-Paraffin, HIER pH 6 retrieval is recommended. ICC/IF, Fixation Permeabilization: Use PFA/Triton X-100.

Formulation, Preparation, and Storage

Purification

Affinity purified

Formulation

PBS (pH 7.2) and 40% Glycerol

Format

BSA Free

Preservative

0.02% Sodium Azide

Concentration

Concentrations vary lot to lot. See vial label for concentration. If unlisted please contact technical services.

Shipping

The product is shipped with polar packs. Upon receipt, store it immediately at the temperature recommended below.

Stability & Storage

Store at 4C short term. Aliquot and store at -20C long term. Avoid freeze-thaw cycles.

Background: CCDC4

Alternate Names

BEN domain containing 4, BEN domain-containing protein 4, CCDC4, coiled-coil domain containing 4, coiled-coil domain-containing protein 4, FLJ35632, FLJ43965

Gene Symbol

BEND4

Additional CCDC4 Products

Product Documents for CCDC4 Antibody - BSA Free

Certificate of Analysis

To download a Certificate of Analysis, please enter a lot number in the search box below.

Product Specific Notices for CCDC4 Antibody - BSA Free

This product is for research use only and is not approved for use in humans or in clinical diagnosis. Primary Antibodies are guaranteed for 1 year from date of receipt.

Loading...
Loading...
Loading...
Loading...