Skip to main content

CCDC155 Antibody - BSA Free

Novus Biologicals, part of Bio-Techne | Catalog # NBP1-81992

Novus Biologicals, part of Bio-Techne
Catalog #
Availability
Size / Price
Qty
Loading...
NBP1-81992
NBP1-81992-25ul

Key Product Details

Validated by

Independent Antibodies

Species Reactivity

Human

Applications

Immunohistochemistry, Immunohistochemistry-Paraffin

Label

Unconjugated

Antibody Source

Polyclonal Rabbit IgG

Format

BSA Free

Concentration

Concentrations vary lot to lot. See vial label for concentration. If unlisted please contact technical services.

Product Specifications

Immunogen

This antibody was developed against Recombinant Protein corresponding to amino acids: EENGKLLAERDGVKKRSQELAMEKDTLKRQLFECEHLICQRDTILSERTRDVESLAQTLEEYRVTTQELRLEISRLEEQLSQTYEGPDELPEGA

Reactivity Notes

Immunogen displays the following percentage of sequence identity for non-tested species: Rat (81%)

Clonality

Polyclonal

Host

Rabbit

Isotype

IgG

Scientific Data Images for CCDC155 Antibody - BSA Free

Immunohistochemistry-Paraffin: CCDC155 Antibody [NBP1-81992]

Immunohistochemistry-Paraffin: CCDC155 Antibody [NBP1-81992]

Immunohistochemistry-Paraffin: CCDC155 Antibody [NBP1-81992] - Staining of human lymph node.
Immunohistochemistry-Paraffin: CCDC155 Antibody [NBP1-81992]

Immunohistochemistry-Paraffin: CCDC155 Antibody [NBP1-81992]

Immunohistochemistry-Paraffin: CCDC155 Antibody [NBP1-81992] - Staining of human cerebral cortex shows distinct cytoplasmic positivity in neurons.
Immunohistochemistry-Paraffin: CCDC155 Antibody [NBP1-81992]

Immunohistochemistry-Paraffin: CCDC155 Antibody [NBP1-81992]

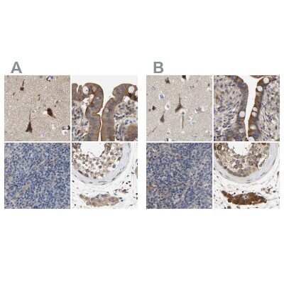
Immunohistochemistry-Paraffin: CCDC155 Antibody [NBP1-81992] - Staining of human cerebral cortex, colon, lymph node and testis using Anti-CCDC155 antibody NBP1-81992 (A) shows similar protein distribution across tissues to independent antibody NBP1-81993 (B).

Applications for CCDC155 Antibody - BSA Free

Application
Recommended Usage

Immunohistochemistry

1:50 - 1:200

Immunohistochemistry-Paraffin

1:50 - 1:200
Application Notes
For IHC-Paraffin, HIER pH 6 retrieval is recommended.

Formulation, Preparation, and Storage

Purification

Affinity purified

Formulation

PBS (pH 7.2) and 40% Glycerol

Format

BSA Free

Preservative

0.02% Sodium Azide

Concentration

Concentrations vary lot to lot. See vial label for concentration. If unlisted please contact technical services.

Shipping

The product is shipped with polar packs. Upon receipt, store it immediately at the temperature recommended below.

Stability & Storage

Store at 4C short term. Aliquot and store at -20C long term. Avoid freeze-thaw cycles.

Background: CCDC155

Alternate Names

coiled-coil domain containing 155, coiled-coil domain-containing protein 155, DKFZp434A2223, FLJ32658

Gene Symbol

CCDC155

Additional CCDC155 Products

Product Documents for CCDC155 Antibody - BSA Free

Certificate of Analysis

To download a Certificate of Analysis, please enter a lot number in the search box below.

Product Specific Notices for CCDC155 Antibody - BSA Free

This product is for research use only and is not approved for use in humans or in clinical diagnosis. Primary Antibodies are guaranteed for 1 year from date of receipt.

Loading...
Loading...
Loading...
Loading...