Skip to main content

CCDC140 Antibody - BSA Free

Novus Biologicals, part of Bio-Techne | Catalog # NBP2-14447

Novus Biologicals, part of Bio-Techne
Catalog #
Availability
Size / Price
Qty
Loading...
NBP2-14447
NBP2-14447-25ul

Key Product Details

Species Reactivity

Human

Applications

Immunohistochemistry, Immunohistochemistry-Paraffin, Western Blot

Label

Unconjugated

Antibody Source

Polyclonal Rabbit IgG

Format

BSA Free

Concentration

Concentrations vary lot to lot. See vial label for concentration. If unlisted please contact technical services.

Product Specifications

Immunogen

This antibody was developed against a recombinant protein corresponding to the amino acids: MGDECSNPDLLAEPGSSPPWDHGNQRQEAANESNTRVPRVLKAHLGPETAQPTKRSKRNRWRRQSCQGPSPARSGQFL

Clonality

Polyclonal

Host

Rabbit

Isotype

IgG

Description

Novus Biologicals Rabbit CCDC140 Antibody - BSA Free (NBP2-14447) is a polyclonal antibody validated for use in IHC and WB. All Novus Biologicals antibodies are covered by our 100% guarantee.

Scientific Data Images for CCDC140 Antibody - BSA Free

Western Blot: CCDC140 Antibody [NBP2-14447]

Western Blot: CCDC140 Antibody [NBP2-14447]

Western Blot: CCDC140 Antibody [NBP2-14447] - Analysis in control (vector only transfected HEK293T lysate) and CCDC140 over-expression lysate (Co-expressed with a C-terminal myc-DDK tag (3.1 kDa) in mammalian HEK293T cells).
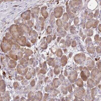
Immunohistochemistry-Paraffin: CCDC140 Antibody [NBP2-14447]

Immunohistochemistry-Paraffin: CCDC140 Antibody [NBP2-14447]

Immunohistochemistry-Paraffin: CCDC140 Antibody [NBP2-14447] - Staining of human pancreas shows moderate cytoplasmic and nucleolar positivity in exocrine glandular cells.

Applications for CCDC140 Antibody - BSA Free

Application
Recommended Usage

Immunohistochemistry

1:50 - 1:200

Immunohistochemistry-Paraffin

1:50 - 1:200

Western Blot

0.04-0.4 ug/ml
Application Notes
For IHC-Paraffin, HIER pH 6 retrieval is recommended.

Formulation, Preparation, and Storage

Purification

Immunogen affinity purified

Formulation

PBS (pH 7.2) and 40% Glycerol

Format

BSA Free

Preservative

0.02% Sodium Azide

Concentration

Concentrations vary lot to lot. See vial label for concentration. If unlisted please contact technical services.

Shipping

The product is shipped with polar packs. Upon receipt, store it immediately at the temperature recommended below.

Stability & Storage

Store at 4C short term. Aliquot and store at -20C long term. Avoid freeze-thaw cycles.

Background: CCDC140

Alternate Names

CCDC140 coiled-coil domain containing 140

Gene Symbol

CCDC140

Additional CCDC140 Products

Product Documents for CCDC140 Antibody - BSA Free

Certificate of Analysis

To download a Certificate of Analysis, please enter a lot number in the search box below.

Product Specific Notices for CCDC140 Antibody - BSA Free

This product is for research use only and is not approved for use in humans or in clinical diagnosis. Primary Antibodies are guaranteed for 1 year from date of receipt.

Loading...
Loading...
Loading...
Loading...