CATSPERB Antibody - BSA Free
Novus Biologicals, part of Bio-Techne | Catalog # NBP2-15728
Key Product Details
Species Reactivity
Human
Applications
Immunohistochemistry, Immunohistochemistry-Paraffin, Western Blot, Immunocytochemistry/ Immunofluorescence
Label
Unconjugated
Antibody Source
Polyclonal Rabbit IgG
Format
BSA Free
Concentration
Concentrations vary lot to lot. See vial label for concentration. If unlisted please contact technical services.
Product Specifications
Immunogen
Recombinant protein encompassing a sequence within the N-terminus region of human CATSPERB. The exact sequence is proprietary.
Localization
Membrane
Clonality
Polyclonal
Host
Rabbit
Isotype
IgG
Theoretical MW
127 kDa.
Disclaimer note: The observed molecular weight of the protein may vary from the listed predicted molecular weight due to post translational modifications, post translation cleavages, relative charges, and other experimental factors.
Disclaimer note: The observed molecular weight of the protein may vary from the listed predicted molecular weight due to post translational modifications, post translation cleavages, relative charges, and other experimental factors.
Description
Novus Biologicals Rabbit CATSPERB Antibody - BSA Free (NBP2-15728) is a polyclonal antibody validated for use in IHC, WB and ICC/IF. All Novus Biologicals antibodies are covered by our 100% guarantee.
Scientific Data Images for CATSPERB Antibody - BSA Free
Western Blot: CATSPERB Antibody [NBP2-15728]
Western Blot: CATSPERB Antibody [NBP2-15728] - Sample (30 ug of whole cell lysate) A: Jurkat 5% SDS PAGE gel, diluted at 1:1000.Immunocytochemistry/ Immunofluorescence: CATSPERB Antibody [NBP2-15728]
Immunocytochemistry/Immunofluorescence: CATSPERB Antibody [NBP2-15728] - Immunofluorescence analysis of methanol-fixed A431, using antibody at 1:500 dilution.Immunohistochemistry-Paraffin: CATSPERB Antibody [NBP2-15728]
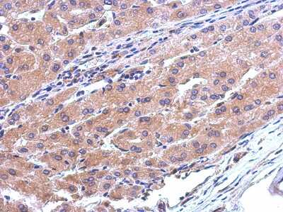
Immunohistochemistry-Paraffin: CATSPERB Antibody [NBP2-15728] - Immunohistochemical analysis of paraffin-embedded HEPATOMA, using antibody at 1:500 dilution.Applications for CATSPERB Antibody - BSA Free
Application
Recommended Usage
Immunocytochemistry/ Immunofluorescence
1:100-1:1000
Immunohistochemistry
10 - 1:500
Immunohistochemistry-Paraffin
1:100-1:1000
Western Blot
1:500-1:3000
Formulation, Preparation, and Storage
Purification
Antigen Affinity-purified
Formulation
0.1M Tris, 0.1M Glycine, 20% Glycerol
Format
BSA Free
Preservative
0.01% Thimerosal
Concentration
Concentrations vary lot to lot. See vial label for concentration. If unlisted please contact technical services.
Shipping
The product is shipped with polar packs. Upon receipt, store it immediately at the temperature recommended below.
Stability & Storage
Aliquot and store at -20C or -80C. Avoid freeze-thaw cycles.
Background: CATSPERB
Alternate Names
cation channel, sperm associated beta, cation channel, sperm-associated, beta, CatSper(beta), catSper-beta
Gene Symbol
CATSPERB
UniProt
Additional CATSPERB Products
Product Documents for CATSPERB Antibody - BSA Free
Product Specific Notices for CATSPERB Antibody - BSA Free
This product is for research use only and is not approved for use in humans or in clinical diagnosis. Primary Antibodies are guaranteed for 1 year from date of receipt.
Loading...
Loading...
Loading...
Loading...
⚠ WARNING: This product can expose you to chemicals including mercury, which is known to the State of California to cause reproductive toxicity with developmental effects. For more information go to www.P65Warnings.ca.gov.