Skip to main content

CATIP Antibody - BSA Free

Novus Biologicals, part of Bio-Techne | Catalog # NBP1-91729

Novus Biologicals, part of Bio-Techne
Catalog #
Availability
Size / Price
Qty
Loading...
NBP1-91729
NBP1-91729-25ul

Key Product Details

Species Reactivity

Human

Applications

Immunohistochemistry, Immunohistochemistry-Paraffin

Label

Unconjugated

Antibody Source

Polyclonal Rabbit IgG

Format

BSA Free

Concentration

Concentrations vary lot to lot. See vial label for concentration. If unlisted please contact technical services.

Product Specifications

Immunogen

This antibody was developed against Recombinant Protein corresponding to amino acids: TIQVDHQQAEVFIVEQTVHAEEGIPMSCQYYLLSDGHLAKRIQVGSPGCCIITKMPILREEDEIEPRPVFEKKPLVWEEDMELYSKFLD

Reactivity Notes

Immunogen displays the following percentage of sequence identity for non-tested species: Mouse (80%), Rat (81%). Reactivity reported in scientific literature (PMID: 24475127)

Clonality

Polyclonal

Host

Rabbit

Isotype

IgG

Scientific Data Images for CATIP Antibody - BSA Free

Immunohistochemistry-Paraffin: CATIP Antibody [NBP1-91729]

Immunohistochemistry-Paraffin: CATIP Antibody [NBP1-91729]

Immunohistochemistry-Paraffin: C2orf62 Antibody [NBP1-91729] - Staining of human heart muscle shows distinct cytoplasmic positivity in myocytes.
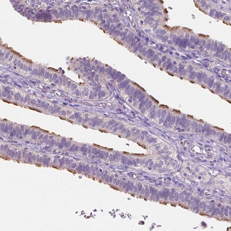
CATIP Antibody - BSA Free Immunohistochemistry: CATIP Antibody - BSA Free [NBP1-91729]

Immunohistochemistry: CATIP Antibody - BSA Free [NBP1-91729]

Staining of human fallopian tube shows cilia positivity in glandular cells.

Applications for CATIP Antibody - BSA Free

Application
Recommended Usage

Immunohistochemistry

1:500 - 1:1000

Immunohistochemistry-Paraffin

1:500 - 1:1000
Application Notes
For IHC-Paraffin, HIER pH 6 retrieval is recommended. Immunocytochemistry/Immunofluorescence Fixation Permeabilization: Use PFA/Triton X-100.

Formulation, Preparation, and Storage

Purification

Affinity purified

Formulation

PBS (pH 7.2) and 40% Glycerol

Format

BSA Free

Preservative

0.02% Sodium Azide

Concentration

Concentrations vary lot to lot. See vial label for concentration. If unlisted please contact technical services.

Shipping

The product is shipped with polar packs. Upon receipt, store it immediately at the temperature recommended below.

Stability & Storage

Store at 4C short term. Aliquot and store at -20C long term. Avoid freeze-thaw cycles.

Background: CATIP

Chromosome 2 is the second largest human chromosome. It makes up approximately 8% of the human genome and contains 237 million bases encoding over 1,400 genes. C2orf62 (chromosome 2 open reading frame 62), also known as MGC50811, is a 387 amino acid protein encoded by a gene that maps to human chromosome 2q35. The C2orf62 gene has been provisionally designated C2orf62 pending further characterization.

Alternate Names

C2orf62, chromosome 2 open reading frame 62, hypothetical protein LOC375307, MGC50811

Gene Symbol

CATIP

Additional CATIP Products

Product Documents for CATIP Antibody - BSA Free

Certificate of Analysis

To download a Certificate of Analysis, please enter a lot number in the search box below.

Product Specific Notices for CATIP Antibody - BSA Free

This product is for research use only and is not approved for use in humans or in clinical diagnosis. Primary Antibodies are guaranteed for 1 year from date of receipt.

Loading...
Loading...
Loading...
Loading...