Skip to main content

CASZ1 Antibody - BSA Free

Novus Biologicals, part of Bio-Techne | Catalog # NBP1-86617

Novus Biologicals, part of Bio-Techne
Catalog #
Availability
Size / Price
Qty
Loading...
NBP1-86617
NBP1-86617-25ul

Key Product Details

Species Reactivity

Validated:

Human

Cited:

Human

Applications

Validated:

Immunohistochemistry, Immunohistochemistry-Paraffin, Immunocytochemistry/ Immunofluorescence

Cited:

IF/IHC

Label

Unconjugated

Antibody Source

Polyclonal Rabbit IgG

Format

BSA Free

Concentration

Concentrations vary lot to lot. See vial label for concentration. If unlisted please contact technical services.

Product Specifications

Immunogen

This antibody was developed against Recombinant Protein corresponding to amino acids: STMTEFLGMFGYDDQNTRDELARKISFEKLHAGSTPEAATSSMLPTSEDTLSKRARFSKYEEYIRKLKAGEQLSWPAPSTKTEERVGKE

Reactivity Notes

Immunogen displays the following percentage of sequence identity for non-tested species: Mouse (87%), Rat (88%)

Clonality

Polyclonal

Host

Rabbit

Isotype

IgG

Scientific Data Images for CASZ1 Antibody - BSA Free

Immunocytochemistry/ Immunofluorescence: CASZ1 Antibody [NBP1-86617]

Immunocytochemistry/ Immunofluorescence: CASZ1 Antibody [NBP1-86617]

Immunocytochemistry/Immunofluorescence: CASZ1 Antibody [NBP1-86617] - Staining of human cell line U-2 OS shows localization to nucleoplasm & vesicles. Antibody staining is shown in green.
CASZ1 Antibody - BSA Free Immunohistochemistry-Paraffin: CASZ1 Antibody - BSA Free [NBP1-86617]

Immunohistochemistry-Paraffin: CASZ1 Antibody - BSA Free [NBP1-86617]

Staining of human testis shows moderate cytoplasmic positivity in cells in seminiferous ducts.
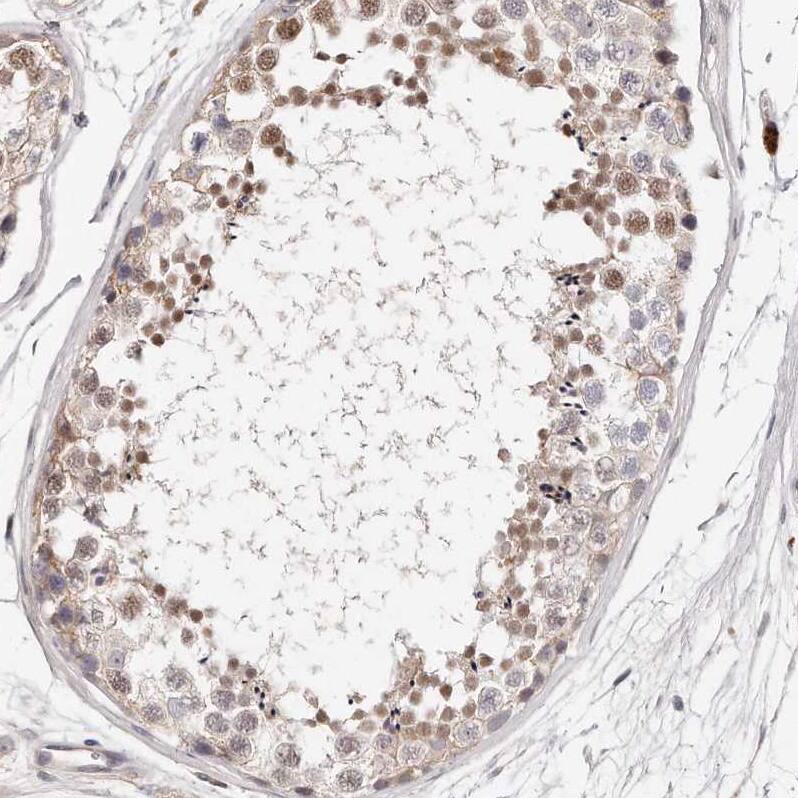
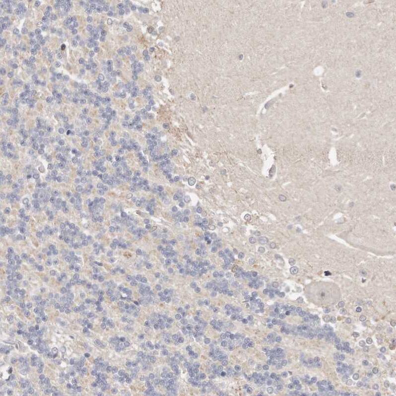
CASZ1 Antibody - BSA Free Immunohistochemistry-Paraffin: CASZ1 Antibody - BSA Free [NBP1-86617]

Immunohistochemistry-Paraffin: CASZ1 Antibody - BSA Free [NBP1-86617]

Staining of human cerebellum shows negative cytoplasmic positivity in Purkinje cells as expected.

Applications for CASZ1 Antibody - BSA Free

Application
Recommended Usage

Immunocytochemistry/ Immunofluorescence

0.25-2 ug/ml

Immunohistochemistry

1:50 - 1:200

Immunohistochemistry-Paraffin

1:50 - 1:200
Application Notes
For IHC-Paraffin, HIER pH 6 retrieval is recommended. ICC/IF Fixation Permeabilization: Use PFA/Triton X-100.

Formulation, Preparation, and Storage

Purification

Affinity purified

Formulation

PBS (pH 7.2) and 40% Glycerol

Format

BSA Free

Preservative

0.02% Sodium Azide

Concentration

Concentrations vary lot to lot. See vial label for concentration. If unlisted please contact technical services.

Shipping

The product is shipped with polar packs. Upon receipt, store it immediately at the temperature recommended below.

Stability & Storage

Store at 4C short term. Aliquot and store at -20C long term. Avoid freeze-thaw cycles.

Background: CASZ1

Probable transcription factor

Alternate Names

castor, castor homolog 1, zinc finger, castor homolog 1, zinc finger (Drosophila), castor zinc finger 1, Castor-related protein, CST, dJ734G22.1, FLJ20321, Putative survival-related protein, SRG, SRGcst, survival related, survival-related, Zinc finger protein 693, zinc finger protein castor homolog 1, ZNF693, ZNF693FLJ12223

Gene Symbol

CASZ1

Additional CASZ1 Products

Product Documents for CASZ1 Antibody - BSA Free

Certificate of Analysis

To download a Certificate of Analysis, please enter a lot number in the search box below.

Product Specific Notices for CASZ1 Antibody - BSA Free

This product is for research use only and is not approved for use in humans or in clinical diagnosis. Primary Antibodies are guaranteed for 1 year from date of receipt.

Loading...
Loading...
Loading...
Loading...