CASC4 Antibody - BSA Free
Novus Biologicals, part of Bio-Techne | Catalog # NBP2-30492
Key Product Details
Validated by
Independent Antibodies
Species Reactivity
Human
Applications
Immunocytochemistry/ Immunofluorescence, Immunohistochemistry, Immunohistochemistry-Paraffin
Label
Unconjugated
Antibody Source
Polyclonal Rabbit IgG
Format
BSA Free
Concentration
Concentrations vary lot to lot. See vial label for concentration. If unlisted please contact technical services.
Product Specifications
Immunogen
This antibody was developed against a recombinant protein corresponding to amino acids: NTYLVKRLEYESFQCGQQMKELRAQHEENIKKLADQFLEEQKQETQKIQSNDGKELDINNQVVPKNIPKVAENVADKNE
Reactivity Notes
Immunogen displays the following percentage of sequence identity for non-tested species: Mouse (82%), Rat (82%)
Clonality
Polyclonal
Host
Rabbit
Isotype
IgG
Description
Novus Biologicals Rabbit CASC4 Antibody - BSA Free (NBP2-30492) is a polyclonal antibody validated for use in IHC and ICC/IF. All Novus Biologicals antibodies are covered by our 100% guarantee.
Scientific Data Images for CASC4 Antibody - BSA Free
Immunocytochemistry/ Immunofluorescence: CASC4 Antibody [NBP2-30492]
Immunocytochemistry/Immunofluorescence: CASC4 Antibody [NBP2-30492] - Immunofluorescent staining of human cell line U-2 OS shows localization to the Golgi apparatus.Immunohistochemistry-Paraffin: CASC4 Antibody [NBP2-30492]
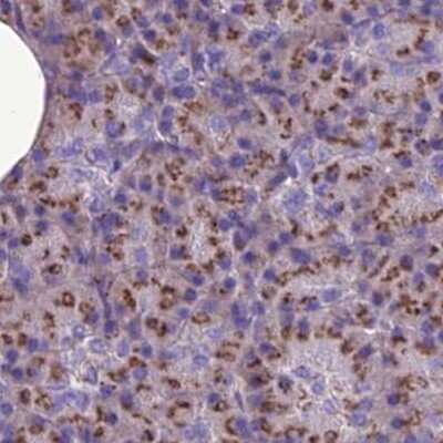
Immunohistochemistry-Paraffin: CASC4 Antibody [NBP2-30492] - Staining of human liver.Immunohistochemistry: CASC4 Antibody [NBP2-30492]
Immunohistochemistry: CASC4 Antibody [NBP2-30492] - Staining of human cerebral cortex shows strong cytoplasmic positivity with a granular pattern in neuronal cells.Applications for CASC4 Antibody - BSA Free
Application
Recommended Usage
Immunocytochemistry/ Immunofluorescence
0.25-2 ug/ml
Immunohistochemistry
1:200 - 1:500
Immunohistochemistry-Paraffin
1:200 - 1:500
Application Notes
For IHC-Paraffin, HIER pH 6 retrieval is recommended. Immunocytochemistry/Immunofluorescence Fixation Permeabilization: Use PFA/Triton X-100.
Formulation, Preparation, and Storage
Purification
Immunogen affinity purified
Formulation
PBS (pH 7.2) and 40% Glycerol
Format
BSA Free
Preservative
0.02% Sodium Azide
Concentration
Concentrations vary lot to lot. See vial label for concentration. If unlisted please contact technical services.
Shipping
The product is shipped with polar packs. Upon receipt, store it immediately at the temperature recommended below.
Stability & Storage
Store at 4C short term. Aliquot and store at -20C long term. Avoid freeze-thaw cycles.
Background: CASC4
Alternate Names
cancer susceptibility candidate 4, Cancer susceptibility candidate gene 4 protein, DKFZp459F1927, gene associated with HER-2/neu overexpression, H63, MGC74708, protein CASC4
Gene Symbol
CASC4
UniProt
Additional CASC4 Products
Product Documents for CASC4 Antibody - BSA Free
Product Specific Notices for CASC4 Antibody - BSA Free
This product is for research use only and is not approved for use in humans or in clinical diagnosis. Primary Antibodies are guaranteed for 1 year from date of receipt.
Loading...
Loading...
Loading...
Loading...