Skip to main content

CAPSL Antibody - BSA Free

Novus Biologicals, part of Bio-Techne | Catalog # NBP2-32387

Novus Biologicals, part of Bio-Techne
Catalog #
Availability
Size / Price
Qty
Loading...
NBP2-32387-25ul
NBP2-32387

Key Product Details

Validated by

Orthogonal Validation, Independent Antibodies

Species Reactivity

Validated:

Human

Predicted:

Mouse (96%), Rat (96%). Backed by our 100% Guarantee.

Applications

Immunohistochemistry, Immunohistochemistry-Paraffin, Immunocytochemistry/ Immunofluorescence

Label

Unconjugated

Antibody Source

Polyclonal Rabbit IgG

Format

BSA Free

Concentration

Concentrations vary lot to lot. See vial label for concentration. If unlisted please contact technical services.

Product Specifications

Immunogen

This antibody was developed against a recombinant protein corresponding to amino acids: PMSRARKEVIMQAFRKLDKTGDGVITIEDLREVYNAKHHPKYQNGEWSEEQ

Clonality

Polyclonal

Host

Rabbit

Isotype

IgG

Description

Novus Biologicals Rabbit CAPSL Antibody - BSA Free (NBP2-32387) is a polyclonal antibody validated for use in IHC and ICC/IF. All Novus Biologicals antibodies are covered by our 100% guarantee.

Scientific Data Images for CAPSL Antibody - BSA Free

Immunocytochemistry/ Immunofluorescence: CAPSL Antibody [NBP2-32387]

Immunocytochemistry/ Immunofluorescence: CAPSL Antibody [NBP2-32387]

Immunocytochemistry/Immunofluorescence: CAPSL Antibody [NBP2-32387] - Staining of human cell line U-2 OS shows localization to nucleus and microtubules.
Immunohistochemistry-Paraffin: CAPSL Antibody [NBP2-32387]

Immunohistochemistry-Paraffin: CAPSL Antibody [NBP2-32387]

Immunohistochemistry-Paraffin: CAPSL Antibody [NBP2-32387] - Staining of human liver.
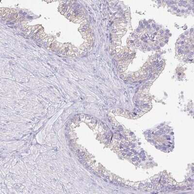
Immunohistochemistry-Paraffin: CAPSL Antibody [NBP2-32387]

Immunohistochemistry-Paraffin: CAPSL Antibody [NBP2-32387]

Immunohistochemistry-Paraffin: CAPSL Antibody [NBP2-32387] - Staining of human fallopian tube shows distinct positivity in cytoplasm and cilia in subsets of glandular cells.

Applications for CAPSL Antibody - BSA Free

Application
Recommended Usage

Immunocytochemistry/ Immunofluorescence

0.25-2 ug/ml

Immunohistochemistry

1:200 - 1:500

Immunohistochemistry-Paraffin

1:200 - 1:500
Application Notes
IHC-Paraffin, HIER pH 6 retrieval is recommended. ICC/IF, Fixation Permeabilization: Use PFA/Triton X-100.

Formulation, Preparation, and Storage

Purification

Affinity purified

Formulation

PBS (pH 7.2) and 40% Glycerol

Format

BSA Free

Preservative

0.02% Sodium Azide

Concentration

Concentrations vary lot to lot. See vial label for concentration. If unlisted please contact technical services.

Shipping

The product is shipped with polar packs. Upon receipt, store it immediately at the temperature recommended below.

Stability & Storage

Store at 4C short term. Aliquot and store at -20C long term. Avoid freeze-thaw cycles.

Background: CAPSL

Alternate Names

calcyphosine-like, calcyphosin-like protein, MGC26610

Gene Symbol

CAPSL

Additional CAPSL Products

Product Documents for CAPSL Antibody - BSA Free

Certificate of Analysis

To download a Certificate of Analysis, please enter a lot number in the search box below.

Product Specific Notices for CAPSL Antibody - BSA Free

This product is for research use only and is not approved for use in humans or in clinical diagnosis. Primary Antibodies are guaranteed for 1 year from date of receipt.

Loading...
Loading...
Loading...
Loading...