Skip to main content

CAP2 Antibody - BSA Free

Novus Biologicals, part of Bio-Techne | Catalog # NBP2-30572

Novus Biologicals, part of Bio-Techne
Catalog #
Availability
Size / Price
Qty
Loading...
NBP2-30572
NBP2-30572-25ul

Key Product Details

Validated by

Orthogonal Validation, Independent Antibodies

Species Reactivity

Human

Applications

Immunohistochemistry, Immunohistochemistry-Paraffin, Western Blot, Immunocytochemistry/ Immunofluorescence

Label

Unconjugated

Antibody Source

Polyclonal Rabbit IgG

Format

BSA Free

Concentration

Concentrations vary lot to lot. See vial label for concentration. If unlisted please contact technical services.

Product Specifications

Immunogen

This antibody was developed against a recombinant protein corresponding to amino acids: PLFENEGKKEESSPSRSALFAQLNQGEAITKGLRHVTDDQKTYKNPSLRAQGGQTQSPTKSHTPSPT

Reactivity Notes

Immunogen displays the following percentage of sequence identity for non-tested species: Mouse (88%)

Clonality

Polyclonal

Host

Rabbit

Isotype

IgG

Description

Novus Biologicals Rabbit CAP2 Antibody - BSA Free (NBP2-30572) is a polyclonal antibody validated for use in IHC, WB and ICC/IF. All Novus Biologicals antibodies are covered by our 100% guarantee.

Scientific Data Images for CAP2 Antibody - BSA Free

Western Blot: CAP2 Antibody [NBP2-30572]

Western Blot: CAP2 Antibody [NBP2-30572]

Western Blot: CAP2 Antibody [NBP2-30572] - Lane 1: Marker [kDa] 250, 130, 95, 72, 55, 36, 28, 17, 10. Lane 2: Human cell line RT-4. Lane 3: Human cell line U-251MG sp
Immunocytochemistry/ Immunofluorescence: CAP2 Antibody [NBP2-30572]

Immunocytochemistry/ Immunofluorescence: CAP2 Antibody [NBP2-30572]

Immunocytochemistry/Immunofluorescence: CAP2 Antibody [NBP2-30572] - Staining of human cell line U-251 MG shows localization to plasma membrane and cytosol.
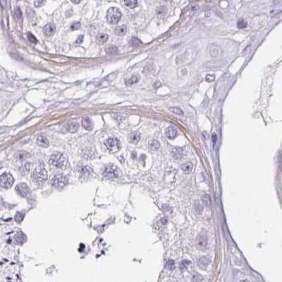
Immunohistochemistry-Paraffin: CAP2 Antibody [NBP2-30572]

Immunohistochemistry-Paraffin: CAP2 Antibody [NBP2-30572]

Immunohistochemistry-Paraffin: CAP2 Antibody [NBP2-30572] - Staining of human testis.

Applications for CAP2 Antibody - BSA Free

Application
Recommended Usage

Immunocytochemistry/ Immunofluorescence

0.25-2 ug/ml

Immunohistochemistry

1:5000 - 1:10000

Immunohistochemistry-Paraffin

1:5000 - 1:10000

Western Blot

0.04-0.4 ug/ml
Application Notes
For IHC-Paraffin, HIER pH 6 retrieval is recommended. Immunocytochemistry/Immunofluorescence Fixation Permeabilization: Use PFA/Triton X-100.

Formulation, Preparation, and Storage

Purification

Affinity purified

Formulation

PBS (pH 7.2) and 40% Glycerol

Format

BSA Free

Preservative

0.02% Sodium Azide

Concentration

Concentrations vary lot to lot. See vial label for concentration. If unlisted please contact technical services.

Shipping

The product is shipped with polar packs. Upon receipt, store it immediately at the temperature recommended below.

Stability & Storage

Store at 4C short term. Aliquot and store at -20C long term. Avoid freeze-thaw cycles.

Background: CAP2

The CAP2 gene was identified by its similarity to the gene for human adenylyl cyclase-associated protein. The function of the protein encoded by this gene is unknown. However, the protein appears to be able to interact with adenylyl cyclase-associated protein

Alternate Names

2810452G09Rik, adenylyl cyclase-associated protein 2, CAP 2, CAP, adenylate cyclase-associated protein, 2 (yeast), PI8, SERPINB8

Gene Symbol

CAP2

UniProt

Additional CAP2 Products

Product Documents for CAP2 Antibody - BSA Free

Certificate of Analysis

To download a Certificate of Analysis, please enter a lot number in the search box below.

Product Specific Notices for CAP2 Antibody - BSA Free

This product is for research use only and is not approved for use in humans or in clinical diagnosis. Primary Antibodies are guaranteed for 1 year from date of receipt.

Loading...
Loading...
Loading...
Loading...