Skip to main content

CALML3 Antibody - BSA Free

Novus Biologicals, part of Bio-Techne | Catalog # NBP2-33434

Novus Biologicals, part of Bio-Techne
Catalog #
Availability
Size / Price
Qty
Loading...
NBP2-33434
NBP2-33434-25ul

Key Product Details

Species Reactivity

Validated:

Human

Cited:

Human

Predicted:

Mouse (92%), Rat (96%). Backed by our 100% Guarantee.

Applications

Validated:

Immunohistochemistry, Immunohistochemistry-Paraffin, Western Blot

Cited:

IF/IHC

Label

Unconjugated

Antibody Source

Polyclonal Rabbit IgG

Format

BSA Free

Concentration

Concentrations vary lot to lot. See vial label for concentration. If unlisted please contact technical services.

Product Specifications

Immunogen

This antibody was developed against a recombinant protein corresponding to amino acids: AELRHVMTRLGEKLSDEEVDEMIRAA

Clonality

Polyclonal

Host

Rabbit

Isotype

IgG

Scientific Data Images for CALML3 Antibody - BSA Free

Western Blot: CALML3 Antibody [NBP2-33434]

Western Blot: CALML3 Antibody [NBP2-33434]

Western Blot: CALML3 Antibody [NBP2-33434] - Lane 1: Marker [kDa] 250, 130, 95, 72, 55, 36, 28, 17, 10. Lane 2: Human cell line RT-4. Lane 3: Human cell line U-251MG sp. Lane 4: Human plasma (IgG/HSA depleted). Lane 5: Human liver tissue. Lane 6: Human tonsil tissue
CALML3 Antibody

Immunohistochemistry-Paraffin: CALML3 Antibody [NBP2-33434] -

Immunohistochemistry-Paraffin: CALML3 Antibody [NBP2-33434] - Staining of human cerebral cortex shows weak cytoplasmic positivity in neurons.
CALML3 Antibody

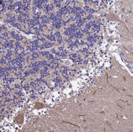
Immunohistochemistry-Paraffin: CALML3 Antibody [NBP2-33434] -

Immunohistochemistry-Paraffin: CALML3 Antibody [NBP2-33434] - Staining of human cerebellum shows weak cytoplasmic positivity in Purkinje cells.

Applications for CALML3 Antibody - BSA Free

Application
Recommended Usage

Immunohistochemistry

1:200 - 1:500

Immunohistochemistry-Paraffin

1:200 - 1:500

Western Blot

0.04-0.4 ug/ml
Application Notes
For IHC-Paraffin, HIER pH 6 retrieval is recommended.

Formulation, Preparation, and Storage

Purification

Affinity purified

Formulation

PBS (pH 7.2) and 40% Glycerol

Format

BSA Free

Preservative

0.02% Sodium Azide

Concentration

Concentrations vary lot to lot. See vial label for concentration. If unlisted please contact technical services.

Shipping

The product is shipped with polar packs. Upon receipt, store it immediately at the temperature recommended below.

Stability & Storage

Store at 4C short term. Aliquot and store at -20C long term. Avoid freeze-thaw cycles.

Background: CALML3

CALML3 may be similar to that of authentic calmodulin and may actually compete with calmodulin by binding, withdifferent affinities, to cellular substrates

Alternate Names

calmodulin-like 3, calmodulin-like protein 3, CaM-like protein, CLPCalmodulin-related protein NB-1

Gene Symbol

CALML3

UniProt

Additional CALML3 Products

Product Documents for CALML3 Antibody - BSA Free

Certificate of Analysis

To download a Certificate of Analysis, please enter a lot number in the search box below.

Product Specific Notices for CALML3 Antibody - BSA Free

This product is for research use only and is not approved for use in humans or in clinical diagnosis. Primary Antibodies are guaranteed for 1 year from date of receipt.

Loading...
Loading...
Loading...
Loading...