CALML3 Antibody - BSA Free
Novus Biologicals, part of Bio-Techne | Catalog # NBP2-15667
Key Product Details
Species Reactivity
Human, Mouse
Applications
Immunohistochemistry, Immunohistochemistry-Paraffin, Western Blot, Immunocytochemistry/ Immunofluorescence
Label
Unconjugated
Antibody Source
Polyclonal Rabbit IgG
Format
BSA Free
Concentration
Concentrations vary lot to lot. See vial label for concentration. If unlisted please contact technical services.
Product Specifications
Immunogen
Recombinant protein encompassing a sequence within the center region of human CALML3. The exact sequence is proprietary.
Clonality
Polyclonal
Host
Rabbit
Isotype
IgG
Theoretical MW
17 kDa.
Disclaimer note: The observed molecular weight of the protein may vary from the listed predicted molecular weight due to post translational modifications, post translation cleavages, relative charges, and other experimental factors.
Disclaimer note: The observed molecular weight of the protein may vary from the listed predicted molecular weight due to post translational modifications, post translation cleavages, relative charges, and other experimental factors.
Description
Novus Biologicals Rabbit CALML3 Antibody - BSA Free (NBP2-15667) is a polyclonal antibody validated for use in IHC, WB and ICC/IF. All Novus Biologicals antibodies are covered by our 100% guarantee.
Scientific Data Images for CALML3 Antibody - BSA Free
Western Blot: CALML3 Antibody [NBP2-15667]
Western Blot: CALML3 Antibody [NBP2-15667] - Mouse tissue extract (50 ug) was separated by 15% SDS-PAGE, and the membrane was blotted with CALML3 Antibody diluted at 1:1000.Immunocytochemistry/ Immunofluorescence: CALML3 Antibody [NBP2-15667]
Immunocytochemistry/Immunofluorescence: CALML3 Antibody [NBP2-15667] - Analysis of methanol-fixed A431, using antibody at 1:200 dilution.Immunohistochemistry-Paraffin: CALML3 Antibody [NBP2-15667]
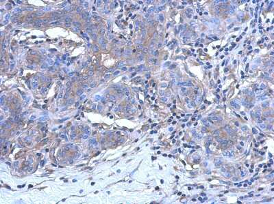
Immunohistochemistry-Paraffin: CALML3 Antibody [NBP2-15667] - Immunohistochemical analysis of paraffin-embedded breast ca, using antibody at 1:500 dilution.Applications for CALML3 Antibody - BSA Free
Application
Recommended Usage
Immunocytochemistry/ Immunofluorescence
1:100-1:1000
Immunohistochemistry
1:100-1:1000
Immunohistochemistry-Paraffin
1:100-1:1000
Western Blot
1:500-1:3000
Formulation, Preparation, and Storage
Purification
Antigen Affinity-purified
Formulation
0.1M Tris, 0.1M Glycine, 20% Glycerol
Format
BSA Free
Preservative
0.01% Thimerosal
Concentration
Concentrations vary lot to lot. See vial label for concentration. If unlisted please contact technical services.
Shipping
The product is shipped with polar packs. Upon receipt, store it immediately at the temperature recommended below.
Stability & Storage
Aliquot and store at -20C or -80C. Avoid freeze-thaw cycles.
Background: CALML3
Alternate Names
calmodulin-like 3, calmodulin-like protein 3, CaM-like protein, CLPCalmodulin-related protein NB-1
Gene Symbol
CALML3
UniProt
Additional CALML3 Products
Product Documents for CALML3 Antibody - BSA Free
Product Specific Notices for CALML3 Antibody - BSA Free
This product is for research use only and is not approved for use in humans or in clinical diagnosis. Primary Antibodies are guaranteed for 1 year from date of receipt.
Loading...
Loading...
Loading...
Loading...
⚠ WARNING: This product can expose you to chemicals including mercury, which is known to the State of California to cause reproductive toxicity with developmental effects. For more information go to www.P65Warnings.ca.gov.