CALHM1 Antibody - BSA Free
Novus Biologicals, part of Bio-Techne | Catalog # NBP1-77112
Conjugate
Catalog #
Key Product Details
Species Reactivity
Human, Mouse, Rat
Applications
Immunohistochemistry, Immunohistochemistry-Paraffin, Western Blot, ELISA, Immunocytochemistry/ Immunofluorescence
Label
Unconjugated
Antibody Source
Polyclonal Rabbit IgG
Format
BSA Free
Concentration
1 mg/ml
Product Specifications
Immunogen
Antibody was raised against a 17 amino acid synthetic peptide near the amino terminus of human CALHM1. The immunogen is located within amino acids 60 - 110 of CALHM1. Amino Acid Squence: AEEWKRPLGRRAKDPA
Clonality
Polyclonal
Host
Rabbit
Isotype
IgG
Scientific Data Images for CALHM1 Antibody - BSA Free
Western Blot: CALHM1 AntibodyBSA Free [NBP1-77112]
Western Blot: CALHM1 Antibody [NBP1-77112] - Rat liver tissue lysate at (A) 1 and (B) 2 ug/mL.Immunohistochemistry-Paraffin: CALHM1 Antibody - BSA Free [NBP1-77112]
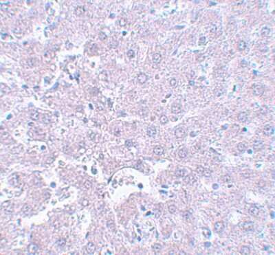
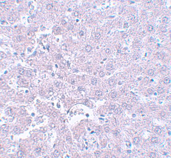
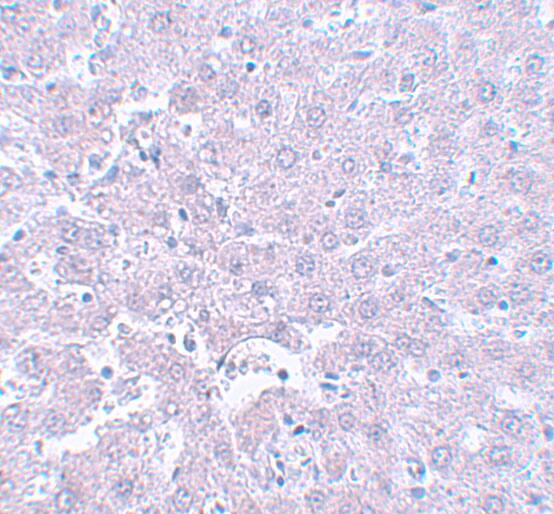
Immunohistochemistry-Paraffin: CALHM1 Antibody [NBP1-77112] - Rat liver tissue with CALHM1 antibody at 5 ug/mL.Immunocytochemistry/Immunofluorescence: CALHM1 Antibody [NBP1-77112] -
Immunocytochemistry/Immunofluorescence: CALHM1 Antibody [NBP1-77112] - Immunofluorescence of CALHM1 in Rat Liver cells with CALHM1 antibody at 20 ug/mL.Applications for CALHM1 Antibody - BSA Free
Application
Recommended Usage
ELISA
1:100-1:2000
Immunocytochemistry/ Immunofluorescence
20 ug/mL
Immunohistochemistry
5 ug/ml
Immunohistochemistry-Paraffin
5 ug/ml
Western Blot
1-2 ug/ml
Formulation, Preparation, and Storage
Purification
Peptide affinity purified
Formulation
PBS
Format
BSA Free
Preservative
0.02% Sodium Azide
Concentration
1 mg/ml
Shipping
The product is shipped with polar packs. Upon receipt, store it immediately at the temperature recommended below.
Stability & Storage
Store at 4C short term. Aliquot and store at -20C long term. Avoid freeze-thaw cycles.
Background: CALHM1
Alternate Names
calcium homeostasis modulator 1, FAM26Ccalcium homeostasis modulator protein 1, family with sequence similarity 26, member C, MGC39514, MGC39617, Protein FAM26C
Gene Symbol
CALHM1
UniProt
Additional CALHM1 Products
Product Documents for CALHM1 Antibody - BSA Free
Product Specific Notices for CALHM1 Antibody - BSA Free
This product is for research use only and is not approved for use in humans or in clinical diagnosis. Primary Antibodies are guaranteed for 1 year from date of receipt.
Loading...
Loading...
Loading...
Loading...