Skip to main content

Calcineurin B Antibody - BSA Free

Novus Biologicals, part of Bio-Techne | Catalog # NBP1-32720

Novus Biologicals, part of Bio-Techne
Catalog #
Availability
Size / Price
Qty
Loading...
NBP1-32720

Key Product Details

Species Reactivity

Validated:

Human, Mouse, Rat, Zebrafish

Cited:

Mouse

Predicted:

Bovine (100%), Xenopus (98%). Backed by our 100% Guarantee.

Applications

Validated:

Immunohistochemistry, Immunohistochemistry-Paraffin, Western Blot

Cited:

Western Blot

Label

Unconjugated

Antibody Source

Polyclonal Rabbit IgG

Format

BSA Free

Concentration

Concentrations vary lot to lot. See vial label for concentration. If unlisted please contact technical services.

Product Specifications

Immunogen

Full length human Calcineurin B Recombinant protein.

Reactivity Notes

Xenopus laevis (98%).

Clonality

Polyclonal

Host

Rabbit

Isotype

IgG

Theoretical MW

19 kDa.
Disclaimer note: The observed molecular weight of the protein may vary from the listed predicted molecular weight due to post translational modifications, post translation cleavages, relative charges, and other experimental factors.

Description

Novus Biologicals Rabbit Calcineurin B Antibody - BSA Free (NBP1-32720) is a polyclonal antibody validated for use in IHC and WB. Anti-Calcineurin B Antibody: Cited in 1 publication. All Novus Biologicals antibodies are covered by our 100% guarantee.

Scientific Data Images for Calcineurin B Antibody - BSA Free

Western Blot: Calcineurin B Antibody [NBP1-32720]

Western Blot: Calcineurin B Antibody [NBP1-32720]

Western Blot: Calcineurin B Antibody [NBP1-32720] - Rat tissue extract (50 ug) was separated by 15% SDS-PAGE, and the membrane was blotted with Calcineurin B antibody diluted at 1:100000.
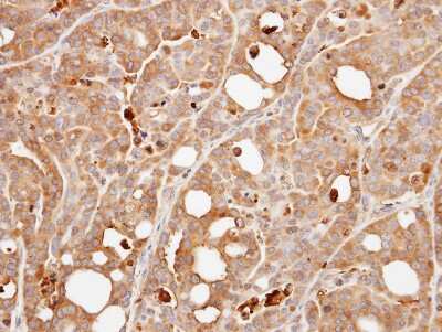
Immunohistochemistry-Paraffin: Calcineurin B Antibody [NBP1-32720]

Immunohistochemistry-Paraffin: Calcineurin B Antibody [NBP1-32720]

Immunohistochemistry-Paraffin: Calcineurin B Antibody [NBP1-32720] - Paraffin-embedded NCI-N87 xenograft, using antibody at 1:500 dilution.
Western Blot: Calcineurin B Antibody [NBP1-32720]

Western Blot: Calcineurin B Antibody [NBP1-32720]

Western Blot: Calcineurin B Antibody [NBP1-32720] - Mouse tissue extract (50 ug) was separated by 15% SDS-PAGE, and the membrane was blotted with Calcineurin B antibody diluted at 1:1000.

Applications for Calcineurin B Antibody - BSA Free

Application
Recommended Usage

Immunohistochemistry

1:100-1:1000

Immunohistochemistry-Paraffin

1:100-1:1000

Western Blot

1:500-1:100000

Formulation, Preparation, and Storage

Purification

Antigen Affinity-purified

Formulation

0.1M Tris, 0.1M Glycine, 10% Glycerol

Format

BSA Free

Preservative

0.01% Thimerosal

Concentration

Concentrations vary lot to lot. See vial label for concentration. If unlisted please contact technical services.

Shipping

The product is shipped with polar packs. Upon receipt, store it immediately at the temperature recommended below.

Stability & Storage

Aliquot and store at -20C or -80C. Avoid freeze-thaw cycles.

Background: Calcineurin B

Regulatory subunit of calcineurin, a calcium-dependent, calmodulin stimulated protein phosphatase. Confers calcium sensitivity

Alternate Names

CALNB1, Cnb1, MCIP1, PP2B beta 1, PPP3R1

Gene Symbol

PPP3R1

Additional Calcineurin B Products

Product Documents for Calcineurin B Antibody - BSA Free

Certificate of Analysis

To download a Certificate of Analysis, please enter a lot number in the search box below.

Product Specific Notices for Calcineurin B Antibody - BSA Free

This product is for research use only and is not approved for use in humans or in clinical diagnosis. Primary Antibodies are guaranteed for 1 year from date of receipt.

Loading...
Loading...
Loading...
Loading...

⚠ WARNING: This product can expose you to chemicals including mercury, which is known to the State of California to cause reproductive toxicity with developmental effects.  For more information go to www.P65Warnings.ca.gov.