CADPS Antibody - BSA Free
Novus Biologicals, part of Bio-Techne | Catalog # NBP1-77323
Conjugate
Catalog #
Key Product Details
Species Reactivity
Human, Mouse, Rat
Applications
Immunohistochemistry, Immunohistochemistry-Paraffin, Western Blot, ELISA, Immunocytochemistry/ Immunofluorescence
Label
Unconjugated
Antibody Source
Polyclonal Rabbit IgG
Format
BSA Free
Concentration
1 mg/ml
Product Specifications
Immunogen
Antibody was raised against a 20 amino acid synthetic peptide near the carboxy terminus of the human CAPS1. The immunogen is located within the last 50 amino acids of CAPS1. Amino Acid Squence: DSTLNSKTYETIRNRLTVEE
Specificity
Numerous isoforms of CAPS1 are known to exist; the lower molecular weight bands seen in the immunoblot image are likely to be these isoforms. This CAPS1 antibody is predicted to be specific to CAPS1 and not recognize CAPS2.
Clonality
Polyclonal
Host
Rabbit
Isotype
IgG
Scientific Data Images for CADPS Antibody - BSA Free
Western Blot: CADPS AntibodyBSA Free [NBP1-77323]
Western Blot: CADPS Antibody [NBP1-77323] - Rat brain tissue lysate with CADPS antibody at (A) 0.5 and (B) 1 ug/ml.Immunocytochemistry/ Immunofluorescence: CADPS Antibody - BSA Free [NBP1-77323] -
Immunocytochemistry/ Immunofluorescence: CADPS Antibody - BSA Free [NBP1-77323] - Immunofluorescence of CADPS in human brain tissue with CADPS antibody at 20 u/mL.Immunohistochemistry: CADPS Antibody - BSA Free [NBP1-77323] -
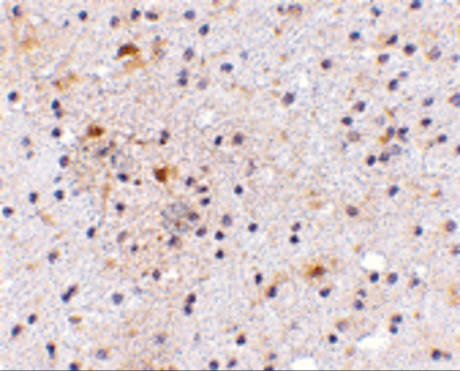
Immunohistochemistry: CADPS Antibody - BSA Free [NBP1-77323] - Immunohistochemistry of CADPS in human brain with CADPS antibody at 5 ug/mL.Applications for CADPS Antibody - BSA Free
Application
Recommended Usage
ELISA
1:100-1:2000
Immunocytochemistry/ Immunofluorescence
20 ug/ml
Immunohistochemistry
5 ug/ml
Immunohistochemistry-Paraffin
5 ug/ml
Western Blot
0.5-1 ug/ml
Formulation, Preparation, and Storage
Purification
Peptide affinity purified
Formulation
PBS
Format
BSA Free
Preservative
0.02% Sodium Azide
Concentration
1 mg/ml
Shipping
The product is shipped with polar packs. Upon receipt, store it immediately at the temperature recommended below.
Stability & Storage
Store at 4C short term. Aliquot and store at -20C long term. Avoid freeze-thaw cycles.
Background: CADPS
Alternate Names
Ca++-dependent secretion activator, CADPS1, Calcium-dependent activator protein for secretion 1, calcium-dependent secretion activator 1, CAPS-1, CAPS1Ca2+-dependent secretion activator, CAPSCa2+-dependent activator protein for secretion, KIAA1121Ca2+-regulated cytoskeletal protein
Gene Symbol
CADPS
UniProt
Additional CADPS Products
Product Documents for CADPS Antibody - BSA Free
Product Specific Notices for CADPS Antibody - BSA Free
This product is for research use only and is not approved for use in humans or in clinical diagnosis. Primary Antibodies are guaranteed for 1 year from date of receipt.
Loading...
Loading...
Loading...
Loading...