Skip to main content

CABYR Antibody - BSA Free

Novus Biologicals, part of Bio-Techne | Catalog # NBP2-14430

Novus Biologicals, part of Bio-Techne
Catalog #
Availability
Size / Price
Qty
Loading...
NBP2-14430
NBP2-14430-25ul

Key Product Details

Validated by

Orthogonal Validation

Species Reactivity

Human

Applications

Immunohistochemistry, Immunohistochemistry-Paraffin, Western Blot, Immunocytochemistry/ Immunofluorescence

Label

Unconjugated

Antibody Source

Polyclonal Rabbit IgG

Format

BSA Free

Concentration

Concentrations vary lot to lot. See vial label for concentration. If unlisted please contact technical services.

Product Specifications

Immunogen

This antibody was developed against a recombinant protein corresponding to the amino acids: YNDVPVTEGVVYIEQLPEQIVIPFTDQVACLKENEQSKENEQSPRVSPKSVVEKTTSGMSKKSVESVKLAQLEENAKYSSVYMEAEATALLSD

Clonality

Polyclonal

Host

Rabbit

Isotype

IgG

Description

Novus Biologicals Rabbit CABYR Antibody - BSA Free (NBP2-14430) is a polyclonal antibody validated for use in IHC, WB and ICC/IF. All Novus Biologicals antibodies are covered by our 100% guarantee.

Scientific Data Images for CABYR Antibody - BSA Free

Western Blot: CABYR Antibody [NBP2-14430]

Western Blot: CABYR Antibody [NBP2-14430]

Western Blot: CABYR Antibody [NBP2-14430] - Lane 1: Marker [kDa] 250, 130, 95, 72, 55, 36, 28, 17, 10. Lane 2: Human cell line RT-4. Lane 3: Human cell line U-251MG sp
Immunocytochemistry/ Immunofluorescence: CABYR Antibody [NBP2-14430]

Immunocytochemistry/ Immunofluorescence: CABYR Antibody [NBP2-14430]

Immunocytochemistry/Immunofluorescence: CABYR Antibody [NBP2-14430] - Immunofluorescent staining of human cell line SiHa shows localization to nucleoplasm & cytosol.
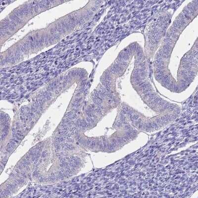
Immunohistochemistry-Paraffin: CABYR Antibody [NBP2-14430]

Immunohistochemistry-Paraffin: CABYR Antibody [NBP2-14430]

Immunohistochemistry-Paraffin: CABYR Antibody [NBP2-14430] - Staining in human testis and endometrium tissues using anti-CABYR antibody. Corresponding CABYR RNA-seq data are presented for the same tissues.

Applications for CABYR Antibody - BSA Free

Application
Recommended Usage

Immunocytochemistry/ Immunofluorescence

0.25-2 ug/ml

Immunohistochemistry

1:500 - 1:1000

Immunohistochemistry-Paraffin

1:500 - 1:1000

Western Blot

0.04-0.4 ug/ml
Application Notes
For IHC-Paraffin, HIER pH 6 retrieval is recommended. ICC/IF,Fixation Permeabilization: Use PFA/Triton X-100.

Formulation, Preparation, and Storage

Purification

Affinity purified

Formulation

PBS (pH 7.2) and 40% Glycerol

Format

BSA Free

Preservative

0.02% Sodium Azide

Concentration

Concentrations vary lot to lot. See vial label for concentration. If unlisted please contact technical services.

Shipping

The product is shipped with polar packs. Upon receipt, store it immediately at the temperature recommended below.

Stability & Storage

Store at 4C short term. Aliquot and store at -20C long term. Avoid freeze-thaw cycles.

Background: CABYR

To reach fertilization competence, spermatozoa undergo a series of morphological and molecular maturational processes, termed capacitation, involving protein tyrosine phosphorylation and increased intracellular calcium. The protein encoded by this gene localizes to the principal piece of the sperm flagellum in association with the fibrous sheath and exhibits calcium-binding when phosphorylated during capacitation. A pseudogene on chromosome 3 has been identified for this gene. Transcript variants of this gene encode multiple protein isoforms. An additional transcript and isoform has not been fully characterized. [provided by RefSeq]

Alternate Names

CABYRa, CABYRc, calcium binding tyrosine-(Y)-phosphorylation regulated, Calcium-binding protein 86, calcium-binding tyrosine-(Y)-phosphorylation regulated (fibrousheathin 2), Cancer/testis antigen 88, CBP86CABYRc/d, CT88MGC9117, fibrousheathin 2, Fibrousheathin II, fibrousheathin-2, FSP-2calcium binding tyrosine-(Y)-phosphorylation regulated (fibrousheathin 2), FSP2calcium-binding tyrosine phosphorylation-regulated protein, Testis-specific calcium-binding protein CBP86

Gene Symbol

CABYR

Additional CABYR Products

Product Documents for CABYR Antibody - BSA Free

Certificate of Analysis

To download a Certificate of Analysis, please enter a lot number in the search box below.

Product Specific Notices for CABYR Antibody - BSA Free

This product is for research use only and is not approved for use in humans or in clinical diagnosis. Primary Antibodies are guaranteed for 1 year from date of receipt.

Loading...
Loading...
Loading...
Loading...