Skip to main content

CABP1 Antibody - BSA Free

Novus Biologicals, part of Bio-Techne | Catalog # NBP3-35834

Novus Biologicals, part of Bio-Techne
Catalog #
Availability
Size / Price
Qty
Loading...
NBP3-35834-100ul
NBP3-35834-20ul

Key Product Details

Species Reactivity

Human, Mouse, Rat

Applications

Immunohistochemistry, Immunohistochemistry-Paraffin, Western Blot, ELISA

Label

Unconjugated

Antibody Source

Polyclonal Rabbit IgG

Format

BSA Free

Concentration

Please see the vial label for concentration. If unlisted please contact technical services.

Product Specifications

Immunogen

A synthetic peptide corresponding to a sequence within amino acids 1-100 of human CABP1 (NP_001028849.1).

Sequence:
MGGGDGAAFKRPGDGARLQRVLGLGSRREPRSLPAGGPAPRRTAPPPPGHASAGPAAMSSHIAKSESKTSLLKAAAAAASGGSRAPRHGPARDPGLPSRR

Clonality

Polyclonal

Host

Rabbit

Isotype

IgG

Theoretical MW

40 kDa.
Disclaimer note: The observed molecular weight of the protein may vary from the listed predicted molecular weight due to post translational modifications, post translation cleavages, relative charges, and other experimental factors.

Description

Novus Biologicals Rabbit CABP1 Antibody - BSA Free (NBP3-35834) is a polyclonal antibody validated for use in IHC, WB and ELISA. All Novus Biologicals antibodies are covered by our 100% guarantee.

Scientific Data Images for CABP1 Antibody - BSA Free

CABP1 Antibody

Western Blot: CABP1 Antibody [NBP3-35834] -

Western Blot: CABP1 Antibody [NBP3-35834] - Western blot analysis of various lysates using CABP1 Rabbit pAb at 1:1000 dilution.
Secondary antibody: HRP-conjugated Goat anti-Rabbit IgG (H+L) at 1:10000 dilution.
Lysates/proteins: 25ug per lane.
Blocking buffer: 3% nonfat dry milk in TBST.
Detection: ECL Basic Kit.
Exposure time: 180s.
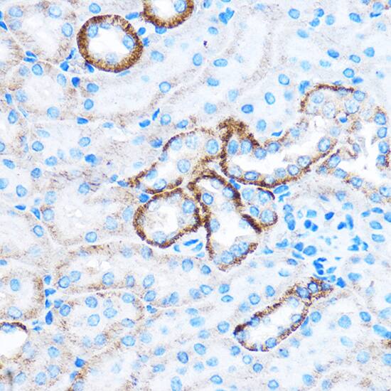
CABP1 Antibody

Immunohistochemistry: CABP1 Antibody [NBP3-35834] -

Immunohistochemistry: CABP1 Antibody [NBP3-35834] - Immunohistochemistry analysis of paraffin-embedded Mouse kidney using CABP1 Rabbit pAb at dilution of 1:50 (40x lens). Microwave antigen retrieval performed with 0.01M PBS Buffer (pH 7.2) prior to IHC staining.
CABP1 Antibody

Immunohistochemistry: CABP1 Antibody [NBP3-35834] -

Immunohistochemistry: CABP1 Antibody [NBP3-35834] - Immunohistochemistry analysis of paraffin-embedded Human colon using CABP1 Rabbit pAb at dilution of 1:50 (40x lens). Microwave antigen retrieval performed with 0.01M PBS Buffer (pH 7.2) prior to IHC staining.

Applications for CABP1 Antibody - BSA Free

Application
Recommended Usage

Immunohistochemistry-Paraffin

1:50 - 1:200

Western Blot

1:500 - 1:2000

Formulation, Preparation, and Storage

Purification

Affinity purified

Formulation

PBS (pH 7.3), 50% glycerol

Format

BSA Free

Preservative

0.01% Thimerosal

Concentration

Please see the vial label for concentration. If unlisted please contact technical services.

Shipping

The product is shipped with polar packs. Upon receipt, store it immediately at the temperature recommended below.

Stability & Storage

Store at -20C. Avoid freeze-thaw cycles.

Background: CABP1

CABP1 belongs to a subfamily of calcium binding proteins, which share similarity to calmodulin. Calcium binding proteins are an important component of calcium mediated cellular signal transduction. This protein is only detected in retina and brain. Study of the mouse homolog demonstrated that groups of cells expressing this protein are located in the center or inner border of the inner unclear layer of retina. Two alternatively spliced variants encoding different isoforms have been described.

Alternate Names

CaBP1, Calbrain, calcium binding protein 1, calcium binding protein 5, calcium-binding protein 1, Caldendrin, HCALB_BR

Gene Symbol

CABP1

Additional CABP1 Products

Product Documents for CABP1 Antibody - BSA Free

Certificate of Analysis

To download a Certificate of Analysis, please enter a lot number in the search box below.

Product Specific Notices for CABP1 Antibody - BSA Free

This product is for research use only and is not approved for use in humans or in clinical diagnosis. Primary Antibodies are guaranteed for 1 year from date of receipt.

Loading...
Loading...
Loading...
Loading...