Skip to main content

C8B Antibody

Novus Biologicals, part of Bio-Techne | Catalog # NBP2-15651

Novus Biologicals, part of Bio-Techne
Catalog #
Availability
Size / Price
Qty
Loading...
NBP2-15651

Key Product Details

Species Reactivity

Human

Applications

Immunohistochemistry, Immunohistochemistry-Paraffin, Western Blot

Label

Unconjugated

Antibody Source

Polyclonal Rabbit IgG

Concentration

Concentrations vary lot to lot. See vial label for concentration. If unlisted please contact technical services.

Product Specifications

Immunogen

Recombinant protein encompassing a sequence within the C-terminus region of human C8B. The exact sequence is proprietary.

Reactivity Notes

Rat (80%), Pig (84%), Rabbit (86%), Bovine (84%).

Localization

Secreted

Clonality

Polyclonal

Host

Rabbit

Isotype

IgG

Theoretical MW

67 kDa.
Disclaimer note: The observed molecular weight of the protein may vary from the listed predicted molecular weight due to post translational modifications, post translation cleavages, relative charges, and other experimental factors.

Description

Novus Biologicals Rabbit C8B Antibody (NBP2-15651) is a polyclonal antibody validated for use in IHC and WB. All Novus Biologicals antibodies are covered by our 100% guarantee.

Scientific Data Images for C8B Antibody

Western Blot: C8B Antibody [NBP2-15651]

Western Blot: C8B Antibody [NBP2-15651]

Western Blot: C8B Antibody [NBP2-15651] - Sample (30 ug of whole cell lysate) A: HepG2 7. 5% SDS PAGE gel, diluted at 1:5000.
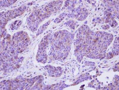
Immunohistochemistry-Paraffin: C8B Antibody [NBP2-15651]

Immunohistochemistry-Paraffin: C8B Antibody [NBP2-15651]

Immunohistochemistry-Paraffin: C8B Antibody [NBP2-15651] - Analysis of paraffin-embedded Breast ca, using antibody at 1:250 dilution.

Applications for C8B Antibody

Application
Recommended Usage

Immunohistochemistry

1:100-1:1000

Immunohistochemistry-Paraffin

1:100-1:1000

Western Blot

1:1000-1:10000

Formulation, Preparation, and Storage

Purification

Antigen Affinity-purified

Formulation

PBS, 1% BSA, 20% Glycerol

Preservative

0.01% Thimerosal

Concentration

Concentrations vary lot to lot. See vial label for concentration. If unlisted please contact technical services.

Shipping

The product is shipped with polar packs. Upon receipt, store it immediately at the temperature recommended below.

Stability & Storage

Aliquot and store at -20C or -80C. Avoid freeze-thaw cycles.

Background: C8B

C8 beta is one of the three subunits that comprise the component 8 (C8) of the complement system. C8 participates in the formation of Membrane Attack Complex that results in the lysis of cells. Patients with C8B deficiency are prone to bacteria infection. [provided by RefSeq]

Alternate Names

complement component 8 subunit beta, complement component 8, beta polypeptide, MGC163447

Gene Symbol

C8B

UniProt

Additional C8B Products

Product Documents for C8B Antibody

Certificate of Analysis

To download a Certificate of Analysis, please enter a lot number in the search box below.

Product Specific Notices for C8B Antibody

This product is for research use only and is not approved for use in humans or in clinical diagnosis. Primary Antibodies are guaranteed for 1 year from date of receipt.

Loading...
Loading...
Loading...
Loading...

⚠ WARNING: This product can expose you to chemicals including mercury, which is known to the State of California to cause reproductive toxicity with developmental effects.  For more information go to www.P65Warnings.ca.gov.