C3orf70 Antibody - BSA Free
Novus Biologicals, part of Bio-Techne | Catalog # NBP1-86223
Key Product Details
Species Reactivity
Validated:
Human
Predicted:
Mouse (98%), Rat (98%). Backed by our 100% Guarantee.
Applications
Immunohistochemistry, Immunohistochemistry-Paraffin, Immunocytochemistry/ Immunofluorescence
Label
Unconjugated
Antibody Source
Polyclonal Rabbit IgG
Format
BSA Free
Concentration
Concentrations vary lot to lot. See vial label for concentration. If unlisted please contact technical services.
Product Specifications
Immunogen
This antibody was developed against Recombinant Protein corresponding to amino acids: ARRPDFQPCDGLSICATHSHGKCFKLHWCCHLGWCHCKYMYQPMTPVEQLPSTEIPARPREPTNTIQISVSLTEHFLKFASVFQ
Clonality
Polyclonal
Host
Rabbit
Isotype
IgG
Scientific Data Images for C3orf70 Antibody - BSA Free
Immunocytochemistry/ Immunofluorescence: C3orf70 Antibody [NBP1-86223]
Immunocytochemistry/Immunofluorescence: C3orf70 Antibody [NBP1-86223] - Immunofluorescent staining of human cell line U-2 OS shows localization to cytosol. Antibody staining is shown in green.Immunohistochemistry-Paraffin: C3orf70 Antibody [NBP1-86223]
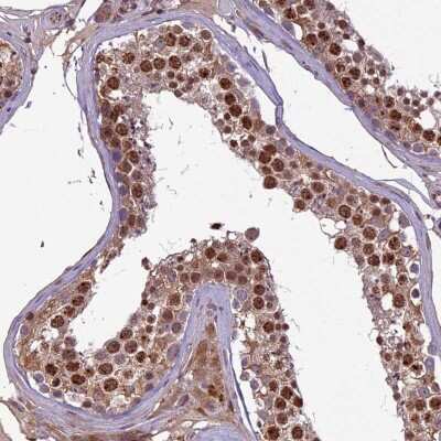
Immunohistochemistry-Paraffin: C3orf70 Antibody [NBP1-86223] - Staining of human testis shows strong nuclear positivity in cells in seminiferus.Applications for C3orf70 Antibody - BSA Free
Application
Recommended Usage
Immunocytochemistry/ Immunofluorescence
0.25-2 ug/ml
Immunohistochemistry
1:20 - 1:50
Immunohistochemistry-Paraffin
1:20 - 1:50
Application Notes
For IHC-Paraffin, HIER pH 6 retrieval is recommended. Immunocytochemistry/Immunofluorescence Fixation Permeabilization: Use PFA/Triton X-100.
Formulation, Preparation, and Storage
Purification
Affinity purified
Formulation
PBS (pH 7.2) and 40% Glycerol
Format
BSA Free
Preservative
0.02% Sodium Azide
Concentration
Concentrations vary lot to lot. See vial label for concentration. If unlisted please contact technical services.
Shipping
The product is shipped with polar packs. Upon receipt, store it immediately at the temperature recommended below.
Stability & Storage
Store at 4C short term. Aliquot and store at -20C long term. Avoid freeze-thaw cycles.
Background: C3orf70
Alternate Names
chromosome 3 open reading frame 70, hypothetical protein LOC285382
Gene Symbol
C3ORF70
Additional C3orf70 Products
Product Documents for C3orf70 Antibody - BSA Free
Product Specific Notices for C3orf70 Antibody - BSA Free
This product is for research use only and is not approved for use in humans or in clinical diagnosis. Primary Antibodies are guaranteed for 1 year from date of receipt.
Loading...
Loading...
Loading...
Loading...