C2CD5 Antibody - BSA Free
Novus Biologicals, part of Bio-Techne | Catalog # NB100-74596
Conjugate
Catalog #
Key Product Details
Species Reactivity
Human, Mouse
Applications
Immunohistochemistry, Immunohistochemistry-Paraffin, Immunohistochemistry-Frozen, Western Blot, Immunoprecipitation
Label
Unconjugated
Antibody Source
Polyclonal Rabbit IgG
Format
BSA Free
Concentration
1.0 mg/ml
Product Specifications
Immunogen
The immunogen recognized by this antibody maps to a region between residue 375 and 425 of human KIAA0528 using the numbering given in entry NP_055617.1 (GeneID 9847).
Clonality
Polyclonal
Host
Rabbit
Isotype
IgG
Scientific Data Images for C2CD5 Antibody - BSA Free
Western Blot: C2CD5 Antibody [NB100-74596]
Western Blot: C2CD5 Antibody [NB100-74596] - Detection of Human KIAA0528 on HeLa whole cell lysate (5, 15, 50 microgram for WB; 1 mg for IP, 20% of IP loaded) using NB100-74596. KIAA0528 was also immunoprecipitated by another rabbit anti-KIAA0528 antibody and NB100-74595.Immunohistochemistry: C2CD5 Antibody [NB100-74596]
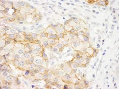
Immunohistochemistry: C2CD5 Antibody [NB100-74596] - Sample: FFPE section of human breast carcinoma. Antibody: Affinity purified rabbit anti-KIAA0528 used at a dilution of 1:1,000 (1ug/ml). Detection: DABImmunohistochemistry: C2CD5 Antibody [NB100-74596]
Immunohistochemistry: C2CD5 Antibody [NB100-74596] - Sample: FFPE section of mouse intestine. Antibody: Affinity purified rabbit anti-KIAA0528 used at a dilution of 1:400 (2.5ug/ml). Detection: DABApplications for C2CD5 Antibody - BSA Free
Application
Recommended Usage
Immunohistochemistry
1:10-1:500
Immunohistochemistry-Paraffin
1:10-1:500
Immunoprecipitation
2-5 ug/mg lysate
Western Blot
1:2000-1:10000
Formulation, Preparation, and Storage
Purification
Immunogen affinity purified
Formulation
Tris-Citrate/Phosphate (pH 7.0 - 8.0)
Format
BSA Free
Preservative
0.09% Sodium Azide
Concentration
1.0 mg/ml
Shipping
The product is shipped with polar packs. Upon receipt, store it immediately at the temperature recommended below.
Stability & Storage
Store at 4C. Do not freeze.
Background: C2CD5
Alternate Names
DKFZp779N2044, hypothetical protein LOC9847, KIAA0528
Entrez Gene IDs
9847 (Human)
Gene Symbol
C2CD5
UniProt
Additional C2CD5 Products
Product Documents for C2CD5 Antibody - BSA Free
Product Specific Notices for C2CD5 Antibody - BSA Free
This product is for research use only and is not approved for use in humans or in clinical diagnosis. Primary Antibodies are guaranteed for 1 year from date of receipt.
Loading...
Loading...
Loading...
Loading...