Skip to main content

C1orf112 Antibody - BSA Free

Novus Biologicals, part of Bio-Techne | Catalog # NBP1-83836

Novus Biologicals, part of Bio-Techne
Catalog #
Availability
Size / Price
Qty
Loading...
NBP1-83836-25ul
NBP1-83836

Key Product Details

Species Reactivity

Human

Applications

Immunohistochemistry, Immunohistochemistry-Paraffin

Label

Unconjugated

Antibody Source

Polyclonal Rabbit IgG

Format

BSA Free

Concentration

Concentrations vary lot to lot. See vial label for concentration. If unlisted please contact technical services.

Product Specifications

Immunogen

This antibody was developed against Recombinant Protein corresponding to amino acids: SCMFALLLADRSWLLEQHTLEAFTQFAEGTNHEEIVPQCLSSEETKNKVVSFLEKTGFVDETEAAKVERVKQEKGIFWEPF

Clonality

Polyclonal

Host

Rabbit

Isotype

IgG

Description

Novus Biologicals Rabbit C1orf112 Antibody - BSA Free (NBP1-83836) is a polyclonal antibody validated for use in IHC. All Novus Biologicals antibodies are covered by our 100% guarantee.

Scientific Data Images for C1orf112 Antibody - BSA Free

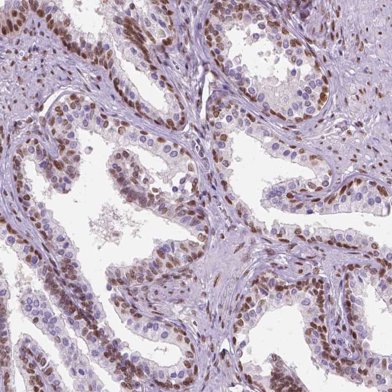
C1orf112 Antibody - BSA Free Immunohistochemistry-Paraffin: C1orf112 Antibody - BSA Free [NBP1-83836]

Immunohistochemistry-Paraffin: C1orf112 Antibody - BSA Free [NBP1-83836]

Staining of human prostate shows strong nuclear positivity in glandular cells.
C1orf112 Antibody - BSA Free Immunohistochemistry-Paraffin: C1orf112 Antibody - BSA Free [NBP1-83836]

Immunohistochemistry-Paraffin: C1orf112 Antibody - BSA Free [NBP1-83836]

Staining of human kidney shows strong nuclear positivity in cells in tubules.
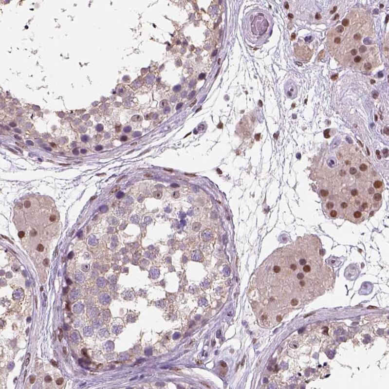
C1orf112 Antibody - BSA Free Immunohistochemistry-Paraffin: C1orf112 Antibody - BSA Free [NBP1-83836]

Immunohistochemistry-Paraffin: C1orf112 Antibody - BSA Free [NBP1-83836]

Staining of human testis shows strong nuclear positivity in Leydig cells.

Applications for C1orf112 Antibody - BSA Free

Application
Recommended Usage

Immunohistochemistry

1:500 - 1:1000

Immunohistochemistry-Paraffin

1:500 - 1:1000
Application Notes
For IHC-Paraffin, HIER pH 6 retrieval is recommended.

Formulation, Preparation, and Storage

Purification

Affinity purified

Formulation

PBS (pH 7.2) and 40% Glycerol

Format

BSA Free

Preservative

0.02% Sodium Azide

Concentration

Concentrations vary lot to lot. See vial label for concentration. If unlisted please contact technical services.

Shipping

The product is shipped with polar packs. Upon receipt, store it immediately at the temperature recommended below.

Stability & Storage

Store at 4C short term. Aliquot and store at -20C long term. Avoid freeze-thaw cycles.

Background: C1orf112

Alternate Names

chromosome 1 open reading frame 112, FLJ10706, FLJ13470, hypothetical protein LOC55732, MGC130018, MGC130019, RP1-97P20.1

Gene Symbol

C1ORF112

Additional C1orf112 Products

Product Documents for C1orf112 Antibody - BSA Free

Certificate of Analysis

To download a Certificate of Analysis, please enter a lot number in the search box below.

Product Specific Notices for C1orf112 Antibody - BSA Free

This product is for research use only and is not approved for use in humans or in clinical diagnosis. Primary Antibodies are guaranteed for 1 year from date of receipt.

Loading...
Loading...
Loading...
Loading...