Skip to main content

C10orf55 Antibody - BSA Free

Novus Biologicals, part of Bio-Techne | Catalog # NBP1-91710

Novus Biologicals, part of Bio-Techne
Catalog #
Availability
Size / Price
Qty
Loading...
NBP1-91710
NBP1-91710-25ul

Key Product Details

Species Reactivity

Human

Applications

Immunohistochemistry, Immunohistochemistry-Paraffin, Western Blot, Immunocytochemistry/ Immunofluorescence

Label

Unconjugated

Antibody Source

Polyclonal Rabbit IgG

Format

BSA Free

Concentration

Concentrations vary lot to lot. See vial label for concentration. If unlisted please contact technical services.

Product Specifications

Immunogen

This antibody was developed against Recombinant Protein corresponding to amino acids: PSPSRLTLFVSSSQMEDHGFPARRNGLTQASFIYQMPAGWGSPGGLFLPCQPVPTPVVLKPPLPPCPISWGESGPAVDGI

Clonality

Polyclonal

Host

Rabbit

Isotype

IgG

Scientific Data Images for C10orf55 Antibody - BSA Free

Immunocytochemistry/ Immunofluorescence: C10orf55 Antibody [NBP1-91710]

Immunocytochemistry/ Immunofluorescence: C10orf55 Antibody [NBP1-91710]

Immunocytochemistry/Immunofluorescence: C10orf55 Antibody [NBP1-91710] - Immunofluorescent staining of human cell line U-251 MG shows localization to nucleoplasm.
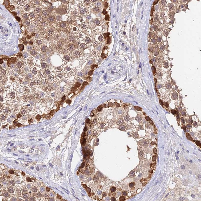
Immunohistochemistry-Paraffin: C10orf55 Antibody [NBP1-91710]

Immunohistochemistry-Paraffin: C10orf55 Antibody [NBP1-91710]

Immunohistochemistry-Paraffin: C10orf55 Antibody [NBP1-91710] - Staining of human testis shows moderate cytoplasmic and nuclear positivity in cells in seminiferus ducts .
C10orf55 Antibody - BSA Free Western Blot: C10orf55 Antibody - BSA Free [NBP1-91710]

Western Blot: C10orf55 Antibody - BSA Free [NBP1-91710]

Analysis in control (vector only transfected HEK293T lysate) and C10orf55 over-expression lysate (Co-expressed with a C-terminal myc-DDK tag (~3.1 kDa) in mammalian HEK293T cells).

Applications for C10orf55 Antibody - BSA Free

Application
Recommended Usage

Immunocytochemistry/ Immunofluorescence

0.25-2 ug/ml

Immunohistochemistry

1:20 - 1:50

Immunohistochemistry-Paraffin

1:20 - 1:50

Western Blot

0.04-0.4 ug/ml
Application Notes
For IHC-Paraffin, HIER pH 6 retrieval is recommended. ICC/IF Fixation Permeabilization: Use PFA/Triton X-100.

Formulation, Preparation, and Storage

Purification

Affinity purified

Formulation

PBS (pH 7.2) and 40% Glycerol

Format

BSA Free

Preservative

0.02% Sodium Azide

Concentration

Concentrations vary lot to lot. See vial label for concentration. If unlisted please contact technical services.

Shipping

The product is shipped with polar packs. Upon receipt, store it immediately at the temperature recommended below.

Stability & Storage

Store at 4C short term. Aliquot and store at -20C long term. Avoid freeze-thaw cycles.

Background: C10orf55

Alternate Names

bA417O11.3, chromosome 10 open reading frame 55, hypothetical protein LOC414236

Gene Symbol

C10ORF55

Additional C10orf55 Products

Product Documents for C10orf55 Antibody - BSA Free

Certificate of Analysis

To download a Certificate of Analysis, please enter a lot number in the search box below.

Product Specific Notices for C10orf55 Antibody - BSA Free

This product is for research use only and is not approved for use in humans or in clinical diagnosis. Primary Antibodies are guaranteed for 1 year from date of receipt.

Loading...
Loading...
Loading...
Loading...