Butyrylcholinesterase/BCHE Antibody - BSA Free
Novus Biologicals, part of Bio-Techne | Catalog # NBP1-69541
Key Product Details
Species Reactivity
Human
Applications
Immunohistochemistry, Immunohistochemistry-Paraffin, Western Blot
Label
Unconjugated
Antibody Source
Polyclonal Rabbit IgG
Format
BSA Free
Concentration
1 mg/ml
Product Specifications
Immunogen
Synthetic peptides corresponding to BCHE(butyrylcholinesterase) The peptide sequence was selected from the N terminal of BCHE.
Peptide sequence SSLHVYDGKFLARVERVIVVSMNYRVGALGFLALPGNPEAPGNMGLFDQQ. The peptide sequence for this immunogen was taken from within the described region.
Clonality
Polyclonal
Host
Rabbit
Isotype
IgG
Theoretical MW
68 kDa.
Disclaimer note: The observed molecular weight of the protein may vary from the listed predicted molecular weight due to post translational modifications, post translation cleavages, relative charges, and other experimental factors.
Disclaimer note: The observed molecular weight of the protein may vary from the listed predicted molecular weight due to post translational modifications, post translation cleavages, relative charges, and other experimental factors.
Description
The addition of 50% glycerol is optional for those storing this antibody at -20C and not aliquoting smaller units. However, please note that glycerol may interrupt some downstream antibody applications and should be added with caution.
Scientific Data Images for Butyrylcholinesterase/BCHE Antibody - BSA Free
Western Blot: Butyrylcholinesterase/BCHE Antibody [NBP1-69541]
Western Blot: Butyrylcholinesterase/BCHE Antibody [NBP1-69541] - This Anti-BCHE antibody was used in Western Blot of HepG2 tissue lysate at a concentration of 1.25ug/ml.Immunohistochemistry-Paraffin: Butyrylcholinesterase/BCHE Antibody [NBP1-69541]
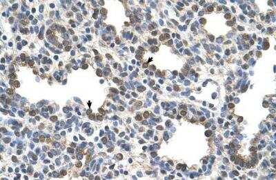
Immunohistochemistry-Paraffin: Butyrylcholinesterase/BCHE Antibody [NBP1-69541] - Human Lung.Applications for Butyrylcholinesterase/BCHE Antibody - BSA Free
Application
Recommended Usage
Immunohistochemistry
1:10-1:500
Immunohistochemistry-Paraffin
1:10-1:500
Western Blot
1.0 ug/ml
Formulation, Preparation, and Storage
Purification
Protein A purified
Formulation
PBS, 2% Sucrose
Format
BSA Free
Preservative
0.09% Sodium Azide
Concentration
1 mg/ml
Shipping
The product is shipped with polar packs. Upon receipt, store it immediately at the temperature recommended below.
Stability & Storage
Store at 4C short term. Aliquot and store at -20C long term. Avoid freeze-thaw cycles.
Background: Butyrylcholinesterase/BCHE
Alternate Names
Acylcholine acylhydrolase, BCHE, Butyrylcholine esterase, CHE1, Pseudocholinesterase
Gene Symbol
BCHE
UniProt
Additional Butyrylcholinesterase/BCHE Products
Product Documents for Butyrylcholinesterase/BCHE Antibody - BSA Free
Product Specific Notices for Butyrylcholinesterase/BCHE Antibody - BSA Free
This product is for research use only and is not approved for use in humans or in clinical diagnosis. Primary Antibodies are guaranteed for 1 year from date of receipt.
Loading...
Loading...
Loading...
Loading...