Skip to main content

BROX Antibody - BSA Free

Novus Biologicals, part of Bio-Techne | Catalog # NBP1-90706

Novus Biologicals, part of Bio-Techne
Catalog #
Availability
Size / Price
Qty
Loading...
NBP1-90706
NBP1-90706-25ul

Key Product Details

Species Reactivity

Validated:

Human

Predicted:

Rat (90%). Backed by our 100% Guarantee.

Applications

Immunohistochemistry, Immunohistochemistry-Paraffin, Western Blot, Immunocytochemistry/ Immunofluorescence

Label

Unconjugated

Antibody Source

Polyclonal Rabbit IgG

Format

BSA Free

Concentration

Concentrations vary lot to lot. See vial label for concentration. If unlisted please contact technical services.

Product Specifications

Immunogen

This antibody was developed against Recombinant Protein corresponding to amino acids: LGNLVKNTLEKCQRENGFIYFQKIPTEAPQLELKANYGLVEPIPFEFPPTSVQWTPETLAAFDLTKRPKDDSTKPKPEEEVKPVKEPDIKPQKDTGCYIS

Reactivity Notes

Immunogen displays the following percentage of sequence identity for non-tested species: Mouse (88%)

Clonality

Polyclonal

Host

Rabbit

Isotype

IgG

Scientific Data Images for BROX Antibody - BSA Free

Western Blot: BROX Antibody [NBP1-90706]

Western Blot: BROX Antibody [NBP1-90706]

Western Blot: BROX Antibody [NBP1-90706] - Analysis in human cell line CAPAN-2.
Immunocytochemistry/ Immunofluorescence: BROX Antibody [NBP1-90706]

Immunocytochemistry/ Immunofluorescence: BROX Antibody [NBP1-90706]

Immunocytochemistry/Immunofluorescence: BROX Antibody [NBP1-90706] - Immunofluorescent staining of human cell line U-2 OS shows localization to nucleoplasm, cytosol & the Golgi apparatus.
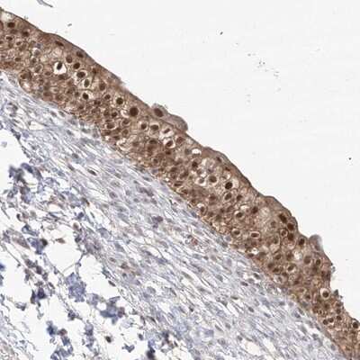
Immunohistochemistry-Paraffin: BROX Antibody [NBP1-90706]

Immunohistochemistry-Paraffin: BROX Antibody [NBP1-90706]

Immunohistochemistry-Paraffin: BROX Antibody [NBP1-90706] - Staining of human urinary bladder shows distinct nuclear and cytoplasmic positivity in urothelial cells.

Applications for BROX Antibody - BSA Free

Application
Recommended Usage

Immunocytochemistry/ Immunofluorescence

0.25-2 ug/ml

Immunohistochemistry

1:500 - 1:1000

Immunohistochemistry-Paraffin

1:500 - 1:1000

Western Blot

0.04-0.4 ug/ml
Application Notes
For IHC-Paraffin, HIER pH 6 retrieval is recommended. ICC/IF,Fixation Permeabilization: Use PFA/Triton X-100.

Formulation, Preparation, and Storage

Purification

Affinity purified

Formulation

PBS (pH 7.2) and 40% Glycerol

Format

BSA Free

Preservative

0.02% Sodium Azide

Concentration

Concentrations vary lot to lot. See vial label for concentration. If unlisted please contact technical services.

Shipping

The product is shipped with polar packs. Upon receipt, store it immediately at the temperature recommended below.

Stability & Storage

Store at 4C short term. Aliquot and store at -20C long term. Avoid freeze-thaw cycles.

Background: BROX

Alternate Names

BRO1 domain and CAAX motif containing, BRO1 domain- and CAAX motif-containing protein, BRO1 domain-containing protein BROX, Bro1-domain-containing protein, BROFTI, C1orf58, FLJ32421, MGC142195, MGC142197, RP11-452F19.1

Gene Symbol

BROX

Additional BROX Products

Product Documents for BROX Antibody - BSA Free

Certificate of Analysis

To download a Certificate of Analysis, please enter a lot number in the search box below.

Product Specific Notices for BROX Antibody - BSA Free

This product is for research use only and is not approved for use in humans or in clinical diagnosis. Primary Antibodies are guaranteed for 1 year from date of receipt.

Loading...
Loading...
Loading...
Loading...